Originally published in Compendium, an AEGIS Publications Property. All rights reserved.
Delayed Implant Procedure Using Deproteinized Bovine Bone Mineral: A Report of 109 Consecutive Cases by Wayne A. Aldredge, DMD; and Richard Nejat, DDS. Originally published in Compendium of Continuing Education in Dentistry 32(4), May 2011. Copyright © 2012 to AEGIS Communications. All rights reserved.
Despre autori:
Wayne A. Aldredge, DMD
Clinical Assistant Professor, Department of Periodontics and Implantology, Stony Brook University, Long Island, New York; Private Practice, Nutley and Holmdel, New Jersey
Richard Nejat, DDS
Clinical Assistant Professor, New York University, Dept. of Periodontics and Implant Dentistry; Private Practice, New York Cityand Nutley, New Jersey
[hr] [fb-like]
Procedura de implantare postextracţională tardivă utilizând os mineral bovin deproteinizat: un raport privind 109 cazuri consecutive
OBIECTIVE. Scopul acestui raport a constat în analiza ratei de succes a implantelor endoosoase inserate în osul mineral bovin deproteinizat (deproteinized bovine bone mineral, DBBM) aplicat la maxilar şi în alveole postextracţionale mandibulare, grefate în decursul unei perioade de 48 luni.
METODE. Pe parcursul unei perioade de 48 luni, s-au prezentat 69 pacienţi consecutivi, cu 109 dinţi nerestaurabili. Dinţii au fost extraşi, regiunile au fost grefate cu DBBM, iar alveolele postextracţionale au fost lăsate să se vindece pentru o perioadă medie de 6 luni. După vindecare, în locurile grefate s-au inserat implante dentare. Osteointegrarea a fost evaluată radiologic şi clinic prin lipsa mobilităţii.
REZULTATE. Implantele au fost inserate în toate cele 109 situs-uri augmentate, fără niciun eşec al grefelor. În momentul descoperirii, niciun implant nu era mobil. Actualmente toate cele 109 implante sunt încărcate şi în funcţiune de o perioadă cuprinsă între 6- 65 luni, cu o medie de 2 ani, având o rată cumulată de succes de 100 %. Nivelurile ţesutului moale marginal au rămas stabile.
CONCLUZII. Abordarea cu implante întârziate prin utilizarea DBBM este o modalitate terapeutică predictibilă, oferind stabilitatea pe termen lung a implantelor şi rezultate estetice predictibile.
_______
Inserarea ideală a implantelor endoosoase este critică pentru asigurarea esteticii adecvate, în scopul facilitării igienei orale şi pentru a oferi funcţia adecvată. Menţinerea pe termen lung a nivelurilor ţesuturilor moi şi dure din jurul implantelor endoosoase depinde de poziţia vestibulo-linguală, mezio-distală şi apico-coronară corespunzătoare a implantului.1,2 Pe termen lung contururile ţesutului moale marginal şi menţinerea papilelor interdentare din jurul implantelor sunt dependente de grosimea şi nivelul osului subiacent, precum şi de cantitatea suficientă de ţesut conjunctiv gingival.1,2 În cadrul unui studiu cu 2.667 implante, Spray şi colab. au constatat faptul că atunci când la momentul inserţiei, vestibular de implant era prezentă o grosime osoasă de 1,8mm, nivelurile osoase verticale erau stabile.3 Ca regulă generală, grosimea ideală a platei osoase bucale (vestibulare) trebuie să fie de cel puţin 2mm.1,2
Resorbţia postextracţională a crestei este bine documentată în literatură. Studiile clinice umane şi experimentale şi recenziile din literatură au încercat să cuantifice şi să explice procesul de resorbţie a crestei după extracţia dentară.4-8 Pierderea osoasă postextracţională este adesea raportată ca fiind nepredictibilă.6,8 În general, după îndepărtarea dintelui, pierderea de os este mai mare pe versantul vestibular decât pe cel oral.6 Schropp şi colab. au raportat că resorbţia orizontală a crestei după extracţia dentară însumează o medie de aproximativ 50%, corespunzând unei valori de 6,1mm (variind între 2,7-12,2mm), pentru toate regiunile alveolei, după 12 luni.5 Autorii au afirmat în plus că două treimi din pierderea osoasă orizontală survin în primele 3 luni de la extracţia dintelui. Nevins şi colab. au demonstrat că la un biotip subţire alveolele negrefate pierd mai mult de 20% din peretele vestibular în 71% din cazuri şi peste 5mm din înălţimea verticală.6
Incidenţa osteointegrării implantelor inserate imediat este crescută şi se consideră predictibilă.8 Totuşi, studiile umane şi experimentale recente au demonstrat în mod decisiv că inserarea unui implant într-o alveolă postextracţională proaspătă nu previne pierderea osoasă.9-11 Resorbţia osoasă orizontală instalată după inserţia unui implant într-o alveolă postextracţională proaspătă s-a dovedit a fi similară cu cea observată în cazul alveolelor postextracţionale fără inserţie de implante. Botticelli şi colab. au demonstrat faptul că atunci când se inserau implante în alveole postextracţionale proaspete, resorbţia orizontală (de la exteriorul peretelui vestibular către suprafaţa implantului) a atins 56% (1,9mm) pe versantul vestibular şi 30% (0,8mm) pe cel lingual.9 În cadrul studiilor experimentale, lipsa marginală prezentă la momentul inserţiei imediate a implantului s-a rezolvat la reintervenţia chirurgicală.9,10 Totuşi, era evidentă o oarecare pierdere osoasă verticală. Pierderea osoasă verticală sau osul insuficient vestibular de suprafaţa implantului duce de multe ori la rezultate estetice compromise, incluzând o poziţie coborâtă a gingiei marginale, triunghiuri interdentare întunecate sau neregularităţi vestibulare de ţesut moale care pot necesita chirurgie corectoare suplimentară.
S-au prezentat variate ghiduri chirurgicale şi factori de decizie legaţi de fenotipul pacientului (biotip); prezenţa sau absenţa şi tipul defectului; poziţionarea implantului; lăţimea biologică; reacţia aşteptată la extracţie; şi tipul terapiei chirurgicale planificate.1,6,8,12,13 Mai multe publicaţii au concluzionat că grefarea alveolară a diferitelor forme, cât şi abordarea chirurgicală selectată poate minimiza pierderea osoasă post-extracţională.4,6 Iasella şi colab. au comparat locaţiile extracţionale negrefate cu alveolele grefate cu alogrefe osoase liofilizate.4 Locurile grefate au pierdut 1,2mm din creasta orizontală, comparativ cu 2,7mm de pierdere a lăţimii crestei orizontale în locaţiile extracţionale negrefate. În plus, locaţiile grefate au dobândit 1,3mm de înălţime osoasă, în timp ce locaţiile negrefate au pierdut 0,9mm din înălţime. În cadrul unui alt studiu, Nevins şi colab. au examinat locaţiile postextracţionale grefate în comparaţie cu cele negrefate, limitate la dinţii frontali maxilari cu pereţi vestibulari subţiri şi rădăcini proeminente, utilizând lambouri cu grosime despicată şi închiderea completă a ţesuturilor moi.6 În acest studiu, locaţiile grefate au pierdut “mai puţin de 20% din peretele vestibular la 15 din 19 locaţii testate (79%).” În contextul acestor studii cu inserarea tardivă a implantelor, plasarea unui implant dentar într-o poziţie ideală cu suficient os înconjurător poate fi predictibilă.
Prezenta serie de cazuri consecutive este o analiză retrospectivă pe termen lung a inserţiei tardive a implantelor şi încărcarea funcţională după grefarea alveolei postextracţionale cu mineral osos bovin deproteinizat (DBBM).
Material şi metodă
În acest studiu, 69 pacienţi au fost trataţi în condiţiile unui cabinet privat de medicină dentară, de către doi medici specialişti parodontologi. Toţi pacienţii s-au prezentat cu dinţi nerestaurabili, secundar unor cauze multiple, cum ar fi fracturi radiculare, proceduri endodontice eşuate, carii avansate, implicare parodontală severă sau cominaţia celor mai de sus.
Cu excepţia infecţiei severe, toate alveolele postextracţionale au fost grefate imediat cu DBBM. Dacă era prezentă infecţia severă (in cayul de faţă, un pacient, doi dinţi), dinţii erau extraşi, regiunea era debridată meticulos şi se aplica DBBM după vindecarea adecvată a ţesutului moale. În majoritatea cazurilor extracţia dentară era executată fără reflecţia lamboului. După vindecare, se inserau implante fie cu tehnica lamboului cu grosime totală sau fără lambou/perforare.
Protocolul chirurgical
Medicaţia prescrisă pacienţilor preoperator a cuprins următoarea schemă: ibuprofen 800mg la câte 8 ore, începând din seara dinaintea intervenţiei chirurgicale; amoxicilină 500mg, 2 g cu 1 oră înainte de chirurgie; amoxicilină 500mg, la câte 8 ore postchirurgical; şi clătiri cu clorhexidină zilnic de două ori, începând din seara dinaintea intervenţiei chirurgicale. După anestezia locală corespunzătoare, dinţii au fost extraşi atraumatic pentru a conserva ţesuturile dure şi moi. Adesea dinţii molari erau secţionaţi şi trataţi ca dinţi monoradiculari. Nu s-au elevat lambouri, exceptând cazurile rare care necesitau acces lărgit, cum ar fi îndepărtarea unor resturi radiculare poziţionate profund. Ţesutul granulomatos a fost îndepărtat meticulos şi regiunile au fost irigate cu soluţie salină sterilă. Într-un vas de sticlă steril s-a aplicat DBBM cortical (Bio-Oss®) cu dimensiunea particulelor de 0,25-1mm şi s-a hidratat cu soluţie salină sterilă, potrivit instrucţiunilor producătorului.
După debridare, dehiscenţele sau defectele prin fenestraţie s-au tratat din partea laterală a locului de extracţie, utilizând o membrană de colagen resorbabilă, pentru a susţine materialul de grefare şi pentru a preveni proliferarea spre interior a ţesutului moale. DBBM a fost apoi aplicat în alveola postextracţională până la nivelul crestei alveolare. S-a utilizat un burete hemostatic de colagen pentru a forma un acoperiş coronar deasupra alveolei. Pentru a securiza buretele de colagen, s-au folosit suturi neresorbabile cromice 4-0. Ocazional, s-a utilizat o membrană de colagen resorbabilă ca şi acoperire coronară în locul buretelui hemostatic. După grefarea alveolei postextracţionale, toate cazurile au fost restaurate provizoriu, cel mai frecvent cu o proteză parţială temporară. Cazurile selectate au fost prevăzute cu o restaurare provizorie cimentată sau un dispozitiv Essix™.
Alveolele postextracţionale au fost lăsate să se vindece pentru o perioadă medie de 6 luni. După vindecare, s-au inserat în total 109 implante. Nu s-au înregistrat eşecuri de grefare şi implantele au fost aplicate în toate cele 109 locaţii grefate. Un total de 58 de implante au fost introduse cu reflecţia lamboului, iar 51 cu tehnica fără lambou/prin perforare. S-au folosit implante endoosoase într-o singură etapă şi în două etape, reprezentând diferite forme de implante. Diametrele implantelor au variat de la 3,3mm până la 5mm, cu lungimea implantelor variind între 10-15mm, în funcţie de consideraţiile restauratoare şi localizările în cadrul alveolelor. Toate implantele inserate aveau design cu suprafaţă rugoasă. Din cele 109 implante inserate, 67 au fost aplicate la maxilar şi 42 la mandibulă. Un total de 33 de implante au fost inserate la fumători (11 pacienţi) şi 76 de implante la nefumători (58 pacienţi).
Rezultate
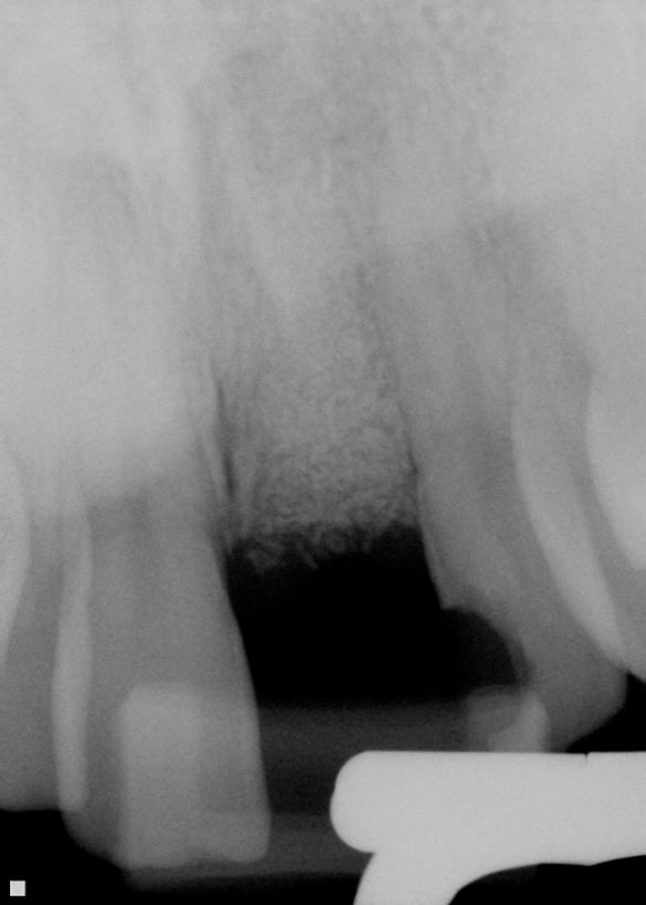
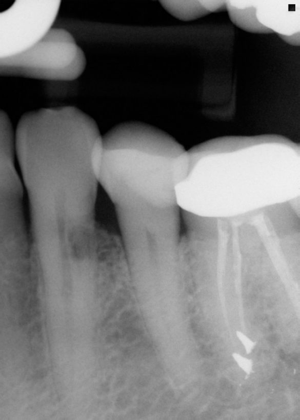
Din cele 109 implante inserate la cei 69 pacienţi în cursul unei perioade de 4 ani, nu s-a înregistrat niciun eşec implantologic după inserţia dispozitivelor fixe şi restaurarea protetică ulterioară. La descoperirea implantelor, nu erau semne de mobilitate a acestora, şi toate implantele inserate au fost restaurate. În momentul prelucrării datelor, toate implantele au rămas complet încărcate şi în funcţiune, rezultând o rată de supravieţuire de 100% (tabelul 1). Ca şi grup, implantele erau funcţionale şi încărcate de o perioadă medie de 2 ani, variind între 6-65 luni. Indiferent de tipul implantului, localizarea în alveolă, statusul de fumător, 100% din implante sunt în funcţiune şi actualmente (tabelul 1 şi fig. 1-9).
Discuţii
Obiectivul primar al grefării alveolelor postextracţionale constă în prezervarea anatomiei crestei alveolare pentru a facilita inserarea implantelor în poziţii tridimensionale ideale cu scopul de a obţine restaurări sprijinite pe implante, cu funcţionalitate şi estetică superioare. Prezervarea crestei include considerente pentru dimensiunile osoase verticale şi orizontale deopotrivă. S-au studiat numeroase materiale pentru grefarea alveolelor postextracţionale, atât înainte de inserţia implantelor dentare, cât şi înainte de prezervarea crestei sub baza restaurării fixe tradiţionale.12 DBBM se foloseşte în procedurile chirurgicale din 1989 şi utilizarea sa este bine documentată în literatură. Ratele de succes ale implantelor în sinusurile grefate cu DBBM sunt similare cu cele grefate cu os autogen.14-17 Totuşi, sunt disponibile puţine studii în literatură care să evalueze folosirea DBBM în alveolele postextracţionale comparativ cu alte indicaţii, îndeosebi în ceea ce priveşte ratele de succes pe termen lung ale implantelor.
Nevins şi colab. au raportat că probabilitatea conservării anatomiei alveolei şi a inserării ulterioare a implantelor dentare în condiţii optime îndeosebi la pacienţii cu biotip subţire provocator era de departe mai crescută când se utilizau xenogrefe (DBBM).6 În examinarea datelor histologice şi histomorfometrice după grefarea alveolei postextracţionale cu DBBM, Artzi şi colab. au raportat un grad variat de formare a osului vital de la treimea apicală spre cea coronară a alveolei, cu valori între 15-63%, cu o medie de 46%.18 Carmagnola şi colab. au raportat o formare de os de 14%, aproximativ 40% din particulele de grefare reziduale fiind în contact cu osul nou format.19 Norton şi colab. au relatat o formare osoasă de 26%, cu aproximativ 34% din particulele de grefare în contact cu osul nou format.20 Carmagnola şi colab. şi Norton şi colab. deopotrivă au inserat implante în locaţiile respective, cu o rată de supravieţuire iniţială de 97% (Norton şi colab.).
Numeroase rapoarte histologice au demonstrat prezenţa particulelor de xenogrefe reziduale în diferite momente cuprinse între 6 luni şi 9 ani după grefarea iniţială.21-25 Semnificaţia clinică a acestui fenomen lent sau neresorbtiv este un subiect important al discuţiei în relaţie cu osteointegrarea şi supravieţuirea pe termen lung a implantului.23,24 Valentini şi colab. au demonstrat că augmentarea sinusală cu Bio-Oss conduce la cantităţi similare de os vital, ca şi cele observate în cazul crestei alveolare native adiacente.22 În acel studiu, evaluarea histologică a demonstrat prezenţa particulelor de grefare DBBM în contact strâns cu osul nou format, acesta din urmă maturizându-se în timp.
Întrucât osul vital neoformat nu era diferit faţă de locaţiile adiacente negrefate, prezenţa particulelor de grefare restante au generat un spaţiu medular redus şi o densitate minerală osoasă crescută, în comparaţie cu osul nativ înconjurător, cu procentul spongios mai ridicat. De menţionat că rezultatele histologice indică faptul că doar osul nou format şi nu particule reziduale de grefă sunt în contact cu suprafaţa implantului şi contactul dintre os şi implant este similar cu cel observat în osul nativ negrefat.21,23,25
Prezentul studiu a stabilit că nu a eşuat niciun implant inserat în cele 109 alveole postextracţionale consecutive grefate cu DBBM în cursul unei perioade de încărcare cuprinsă între 6-65 luni, cu o rată de supravieţuire de 100%. În contextul acestei serii de cazuri, rata lentă de resorbţie a DBBM nu pare să aibă impact negativ asupra osteointegrării implantului. Rezultatele histologice care sugerează că implantele nu tind să aibă contact cu particulele reziduale de grefare pot explica, cel puţin parţial, rata crescută a succesului implantologic în prezenta serie de cazuri. În plus, Hallman şi colab. au sugerat că creşterea densităţii globale a regiunii augmentate, rezultată din combinarea particulelor DBBM reziduale cu osul, previne microdeplasarea din perioada osteointegrării.21
În cadrul unei analize histologice, Esposito şi colab. au demonstrat incapsularea fibroasă a implantelor, asociată cu microdeplasarea din cursul etapelor critice ale osteointegrării.26 Densitatea minerală osoasă globală este definită ca şi compoziţia nou formată de os plus particulele mineralizate reziduale de grefă. Boyne a descris-o ca o accentuare a densităţii osoase şi a făcut observaţii similare cu cele ale lui Hallman în privinţa osteointegrării implantelor, adăugând că mineralele osoase crescute obţinute ajută la menţinerea osului chiar şi sub protezele convenţionale.27 În cadrul unui studiu histologic cu durata de 9 luni privind grefarea alveolei postextracţionale, Artzi şi colab. au constatat o formare de os vital în medie de 46%, cu aproximativ 31% rămânând sub formă de particule DBBM, generând o densitate minerală osoasă de 77%.18
Definiţia succesului implantar este critică îndeosebi cu privire la zona estetică. În plus faţă de osteointegrarea implantului, au fost dezbătute recent criterii suplimentare ca şi linii de orientare pentru viitor.28 Abilitatea de a conserva volumul tridimensional al alveolei este vitală pentru poziţionarea optimă a implantului. Pe baza rezultatelor acestei serii de cazuri, pentru menţinerea nivelurilor de ţesut dur şi moale, s-a atins obiectivul prezervării volumului dimensional. Întrucât ratele de succes ale implantelor nu sunt influenţate negativ de un material de grefare cu resorbţie lentă, cum ar fi DBBM, un biomaterial cu resorbţie lentă poate fi extrem de dorit din considerente estetice.
Cornellini şi colab.29 au dovedit că poziţionarea marginală favorabilă a gingiei din jurul implantelor inserate imediat cu augmentare prin xenogrefe şi membrane resorbabile a fost semnificativ mai mare decât în locaţiile unde s-a utilizat numai membrană. Ei au demonstrat aceste diferenţe în zonele vestibulare, orale şi proximale adiacente elementelor fixe ale implantelor grefate cu xenogrefe. În cadrul unui alt studiu, Hallman şi colab.21 au documentat că xenogrefele menţin efectiv aria sinusului elevat pentru perioade lungi, conducând la o grefă stabilă din punct de vedere dimensional. Boyne a formulat concluzii similare la pacienţii edentaţi pe o perioadă de peste 9 ani.27
Stabilitatea dimensională rezultată dintr-un material de grefare cu resorbţie lentă, îndeosebi în zona estetică, poate fi ideală pentru menţinerea volumului alveolar şi a contururilor adecvate ale ţesutului moale de acoperire. Stabilitatea dimensională rezultată cu un material de grefare cu resorbţie lentă, îndeosebi în zona estetică, poate fi ideală pentru menţinerea volumului alveolar şi a contururilor adecvate a ţesuturilor moi protectoare.
Concluzii
În seria de cazuri prezentate, nu s-a observat niciun eşec în cursul perioadei de încărcare a implantelor de 6-65 luni. Reabilitarea prin inserarea postextracţională tardivă a implantelor şi utilizarea DBBM s-a dovedit a fi o procedură predictibilă pentru succesul implantelor. Sunt necesare studii suplimentare pentru a evalua posibilele modificări dimensionale post-extracţionale sau post-implantare/-restaurare şi în rândul altor materiale de grefare.
Tabelul 1. Distribuţia duratelor de încărcare funcţională a implantelor în intervalul de 65 luni.
| 0-12 luni | 13-24 luni | 25-36 luni | 37-48 luni | 49-65 luni | Total | |
| Număr | 12 | 43 | 39 | 9 | 6 | 109 |
| Eşecuri | 0 | 0 | 0 | 0 | 0 | 0 |
| Rata succes % | 100 | 100 | 100 | 100 | 100 | 100 |









Referinţe bibliografice:
- Buser D, Martin W, Belser UC. Optimizing esthetics for implant restorations in the anterior maxilla: anatomic and surgical considerations. Int J Oral Maxillofac Implants. 2004; 19(suppl):43-61.
- Grunder U, Gracis S, Capelli M. Influence of the 3-D bone-to-implant relationship on esthetics. Int J Periodontics Restorative Dent. 2005;25(2):113-119.
- Spray JR, Black CG, Morris HF, Ochi S. The influence of bone thickness on facial marginal bone response: stage 1 placement through stage 2 uncovering. Ann Periodontol. 2000;5(1):119-128.
- Iasella JM, Greenwell H, Miller RL, et al. Ridge preservation with freeze-dried bone allograft and a collagen membrane compared to extraction alone for implant site development: a clinical and histologic study in humans. J Periodontol. 2003;74(7):990-999.
- Schropp L, Wenzel A, Kostopoulos L, Karring T. Bone healing and soft tissue contour changes following single-tooth extraction: a clinical and radiographic 12-month prospective study. Int J Periodontics Restorative Dent. 2003;23(4):313-323.
- Nevins M, Camelo M, De Paoli S, et al. A study of the fate of the buccal wall of extraction sockets of teeth with prominent roots. Int J Periodontics Restorative Dent. 2006;26(1):19-29.
- Araújo MG, Lindhe J. Dimensional ridge alterations following tooth extraction. An experimental study in the dog. J Clin Periodontol. 2005;32(2):212-218.
- Fugazzotto PA. Treatment options following single-rooted tooth removal: a literature review and proposed hierarchy of treatment selection. J Periodontol. 2005;76(5):821-831.
- Botticelli D, Berglundh T, Lindhe J. Hard-tissue alterations following immediate implant placement in extraction sites. J Clin Periodontol. 2004;31(10):820-828.
- Araújo MG, Wennström JL, Lindhe J. Modeling of the buccal and lingual bone walls of fresh extraction sites following implant installation. Clin Oral Implants Res. 2006;17(6):606-614.
- Araújo MG, Sukekava F, Wennström JL, Lindhe J. Tissue modeling following implant placement in fresh extraction sockets. Clin Oral Implants Res. 2006;17(6):615-624.
- McAllister BS, Haghighat K. Bone augmentation techniques. J Periodontol. 2007;78(3):377-396.
- Sclar AG. Strategies for management of single-tooth extraction sites in aesthetic implant therapy. J Oral Maxillofac Surg. 2004;62(9 suppl 2):90-105.
- Wallace SS, Froum SJ. Effect of maxillary sinus augmentation on the survival of endosseous dental implants. A systematic review. Ann Periodontal. 2003;8(1):328-343.
- Del Fabbro M, Testori T, Francetti L, Weinstein R. Systematic review of survival rates for implants placed in the grafted maxillary sinus. Int J Periodontics Restorative Dent. 2004;24(6):565-577.
- Esposito M, Grusovin MG, Coulthard P, Worthington HV. The efficacy of various bone augmentation procedures for dental implants: a Cochrane systematic review of randomized controlled clinical trials. Int J Oral Maxillofac Implants. 2006;21(5):696-710.
- Sclar AG. Ridge preservation for optimum esthetics and function: the Bio-Col technique. Compend Contin Educ Dent. 1999;6(1):1-11.
- Artzi Z, Tal H, Dayan D. Porous bovine bone mineral in healing of human extraction sockets. Part 1: histomorphometric evaluations at 9 months. J Periodontol. 2000;71(6):1015-1023.
- Carmagnola D, Adriaens P, Berglundh T. Healing of human extraction sockets filled with Bio-Oss. Clin Oral Implants Res. 2003;14(2):137-143.
- Norton MR, Odell EW, Thompson ID, Cook RJ. Efficacy of bovine bone mineral for alveolar augmentation: a human histologic study. Clin Oral Implants Res. 2003;14(6):775-783.
- Hallman M, Sennerby L, Lundgren S. A clinical and histologic evaluation of implant integration in the posterior maxilla after sinus floor augmentation with autogenous bone, bovine hydroxyapatite, or a 20:80 mixture. Int J Oral Maxillofac Implants. 2002;17(5):635-643.
- Valentini P, Abensur D, Wenz B, et al. Sinus grafting with porous bone mineral (Bio-Oss) for implant placement: a 5-year study on 15 patients. Int J Periodontics Restorative Dent. 2000;20(3):245-253.
- Scarano A, Pecora G, Piattelli M, Piattelli A. Osseintegration in a sinus augmented with bovine porous bone mineral: histological results in an implant retrieved 4 years after insertion. A case report. J Periodontol. 2004;75(8):1161-1166.
- Traini T, Valentini P, Iezzi G, Piattelli A. A histologic and histomorphometric evaluation of anorganic bovine bone retrieved 9 years after a sinus augmentation procedure. J Periodontol. 2007;78(5):955-961.
- Iezzi G, Scarano A, Mangano C, et al. Histologic results from a human implant retrieved due to fracture 5 years after insertion in a sinus augmented with anorganic bovine bone. J Periodontol. 2008;79(1):192-198.
- Esposito M, Thomsen P, Ericson LE, Lekholm U. Histopathologic observations on early oral implant failures. Int J Oral Maxillofac Implants. 1999;14(6):798-810.
- Boyne PJ. Osseous Reconstruction of the Maxilla and the Mandible: Surgical Techniques Using Titanium Mesh and Bone Mineral. Hanover Park, IL: Quintessence Publishing Co; 1997.
- Belser U, Buser D, Higginbottom F. Consensus statements and recommended clinical procedures regarding esthetics in implant dentistry. Int J Oral Maxillfac Implants. 2004;(19 suppl):73-74.
- Cornelini R, Cangini F, Martuscelli G, Wennström J. Deproteinized bovine bone and biodegradable barrier membranes to support healing following immediate placement of transmucosal implants: a short-term controlled clinical trial. Int J Periodontics Restorative Dent. 2004;24(6):555-563.

