Originally published in Compendium, an AEGIS Publications Property. All rights reserved.
Direct Restorative Treatment of Dental Erosion Caused by Gastroesophageal Reflux Disease Associated with Bruxism: A Case Report by Cristina de Mattos Pimenta Vidal, DDS; Anderson Catelan, DDS; André Luiz Fraga Briso, DDS, MS, PhD; and Paulo Henrique dos Santos, DDS, MS, PhD. Originally published in Compendium of Continuing Education in Dentistry 32(7), September 2011. Copyright © 2012 to AEGIS Communications. All rights reserved.
Despre autori:
Cristina de Mattos Pimenta Vidal, DDS
Postgraduate student
Anderson Catelan, DDS
Postgraduate student
André Luiz Fraga Briso DDS, MS, PhD
Associate Professor, Department of Restorative Dentistry, Araçatuba School of Dentistry–UNESP, São Paulo, Brazil
Paulo Henrique dos Santos DDS, MS, PhD
Assistant Professor, Department of Dental Materials and Prosthodontics, Araçatuba School of Dentistry–UNESP, São Paulo, Brazil
Boala de reflux gastro-esofagian (gastroesophageal reflux disease, GERD) este o afecţiune gastro-intestinală în care acizii gastrici sunt regurgitaţi cronic în esofag şi în cavitatea orală. Expunerea continuă a dinţilor la aceşti acizi poate cauza uzură dentară severă. Medicii dentişti sunt adesea primii furnizori de îngrijire medicală care orientează diagnosticul GERD datorită identificării efectului de eroziune dentară ce poate reprezenta primul semn de afecţiune.
Acest articol prezintă un raport de caz al unui bărbat în vârstă de 27 ani, fumător, cu uzură dentară şi sensibilitate dentinară cauzată de GERD în asociere cu bruxismul. După diagnostic s-a stabilit un plan de tratament multidisciplinar. Abordarea terapeutică iniţială a constat într-o monitorizare, cu consiliere a dietei şi în privinţa obiceiului fumatului, alături de managementul medicamentos al tulburărilor gastrice. Sunt descrise managementul GERD şi tratamentul stomatologic aplicat pentru dentiţia erodată, incluzând diagnosticul, planul de tratament şi terapia restauratoare.
Pierderea ţesutului dentar dur în lipsa acţiunii bacteriene este o stare multifactorială şi, în funcţie de proces şi cauza uzurii, poate fi numită atriţie, eroziune sau abrazie. Atriţia este definită ca uzura dentară fiziologică, determinată de contactul direct dintre dinţi1, abrazia este uzura cauzată de un proces mecanic/de frecare2, iar eroziunea reprezintă dizolvarea dintelui provocată de un proces chimic.3 În mod frecvent, uzura cauzată de un proces mecanic este legată de abuzul de pastă de dinţi şi de bruxism2, în timp ce procesul chimic implică acizii care ajung în cavitatea bucală şi au origine extrinsecă sau intrinsecă. Materialul acid extrinsec include anumite medicamente, cafeaua, sucurile acide de fructe, băuturile carbogazoase şi alcoolice. Expunerea la acizi intrinseci apare ca un rezultat al bulimiei şi anorexiei nervoase, vărsăturilor, herniei hiatale şi al refluxului gastroesofagian.4
Boala de reflux gastro-esofagian (GERD) este o afecţiune gastrointestinală cauzată de relaxarea sfincterului dintre stomac şi esofag, permiţând deplasarea inversă a fluidelor către esofag, inclusiv a sucurilor gastrice. Lichidul poate ajunge în porţiunea cervicală a esofagului, în faringe sau în cavitatea orală.5 Factorii de risc pentru GERD sunt obezitatea, hernia hiatală şi sarcina. Cele mai frecvente simptome sunt vărsăturile, arsurile hiatale sau disconfortul provocat de arsurile retrosternale, regurgitarea orală a conţinutului gastric amar, laringita, astmul, tusea, angina şi eroziunea dentară.5,6 Cu toate acestea, nu toţi pacienţii prezintă aceste simptome sistemice; eroziunea dentară poate reprezenta primul semn. Când o substanţă cu pH-ul sub 5,5 (care reprezintă pH-ul critic al smalţului) ajunge în cavitatea bucală, poate dizolva cristalele de hidroxiapatită din smalţ.7 Sucurile gastrice au un pH extrem de acid, care indică potenţialul lor eroziv şi capacitatea de a produce eroziunea severă a suprafeţelor dentare.
În cavitatea orală, saliva are un rol important în protejarea dinţilor împotriva dizolvării, mulţumită capacităţii sale de diluare şi tamponare. Unele studii au indicat o capacitate mai redusă de tamponare a salivei la pacienţii cu GERD, comparativ cu persoanele normale.8 Totuşi, eroziunea dentară poate fi un fenomen multifactorial în care capacitatea protectoare de tamponare a salivei este învinsă fie prin secreţia salivară redusă, fie printr-o cantitate mai mare de lichid gastric regurgitat.6
Deşi în cazul leziunilor necarioase stabilirea cu precizie a diagnosticului este dificilă, distribuţia şi aspectul clinic al leziunilor poate ajuta la identificarea cauzei. De exemplu, eroziunea dentară pe suprafeţele orale ale dinţilor maxilari frontali este corelată cu bulimia sau vărsăturile, în timp ce leziunile dentare la nivelul dinţilor laterali cu includerea suprafeţelor orale şi ocluzale pot sugera GERD.4
Consecinţele la nivelul cavităţii bucale a pierderii structurii dentare sunt: sensibilitatea la stimulii termici, tactili sau dulci; durere în cursul masticaţiei; pierderea dimensiunii verticale; şi dureri la nivelul articulaţiei temporomandibulare în cazurile severe, care apar când GERD se asociază cu alţi factori, precum atriţia, bruxismul şi consumul de alimente şi băuturi acide.9,10 Bruxismul este scrâşnirea habituală a dinţilor (dinte cu dinte în afara perioadelor de alimentaţie), reprezentând cauza majoră a abraziei.2 Asocierea cu GERD poate distruge sever dentiţia. Leziunile dentare erozive se pot prezenta în stadii diferite, de la pierderea luciului de suprafaţă evidenţiată la nivelul smalţului curat şi uscat (stadii precoce) până la arii galbene tipice pe suprafaţa dinţilor, cauzate de expunerea dentinei subiacente prin smalţul de acoperire subţiat.3
Tratamentul acestor leziuni depinde de severitatea uzurii dentare şi poate varia de la aplicarea restaurărilor din compozit în ariile de coroziune şi până la reabilitarea orală totală cu materiale indirecte în cazurile de dentiţie devastată.11 Aceasta trebuie efectuată după ce terapia medicală elimină cauza refluxului acid.5 Scopul acestui studiu constă în prezentarea şi discutarea unui raport de caz cu uzură dentară cauzată de GERD în asociere cu bruxism.
Prezentare de caz
Un bărbat în vârstă de 27 ani, fumător, s-a prezentat la departamentul de stomatologie restauratoare din cadrul Araçatuba Dental School—UNESP din São Paulo, Brazilia, reclamând aspectul şi sensibilitatea dinţilor săi. Pacientul mărturisea că prezintă adesea arsuri retrosternale şi că a observat leziunile orale cu aproximativ 5 ani în urmă. La acel moment a dorit tratament stomatologic şi a fost informat cu privire la uzura dentară. S-a recomandat utilizarea unei gutiere ocluzale.
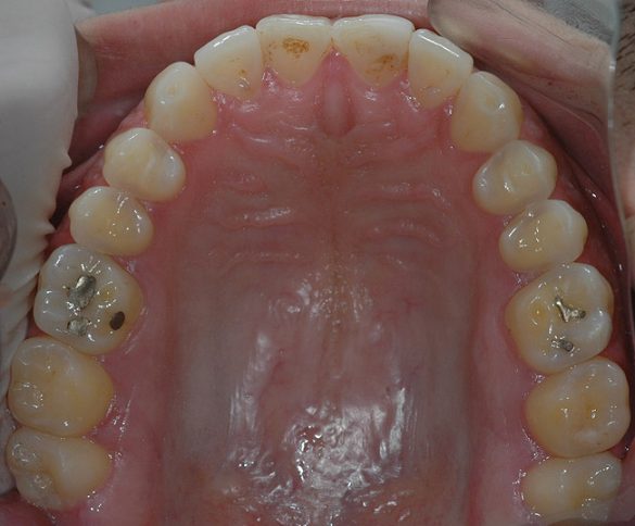
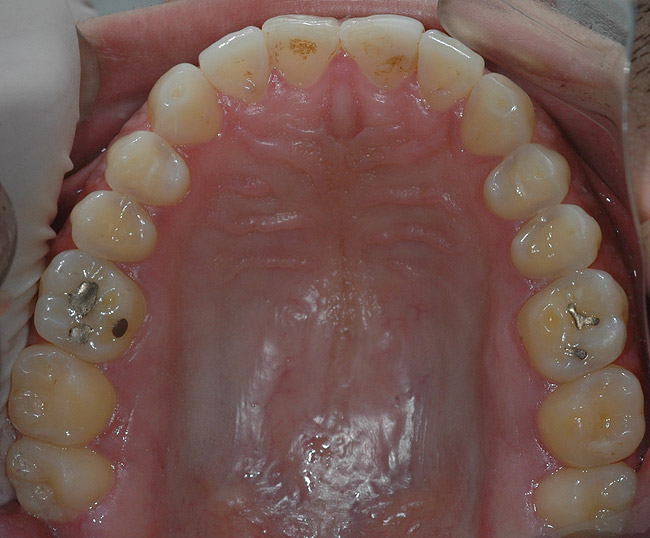
În cursul examinării clinice s-a notat o igienă orală satisfăcătoare. Pacientul prezenta coroziunea suprafeţelor ocluzale şi orale la dinţi maxilari şi mandibulari posteriori (fig. 1). Avea, de asemenea, arii expuse de ţesut dentinar (fig. 3) şi restaurări din amalgam compromise în lipsa sprijinului adecvat.
Pe baza examinării clinice şi luând în considerare aspectul leziunilor, pacientul a fost îndrumat către medicul gastroenterolog pentru a verifica eventualele tulburări sistemice ce ar fi putut avea legătură cu uzura dentară. Examinarea endoscopică a indicat o hernie hiatală cu esofagită erozivă şi duodenită erozivă bulbară. Gastroenterologul a prescris Pantoprazol de sodiu 40 mg/zi şi a recomandat reducerea greutăţii corporale; evitarea alimentelor şi a lichidelor înainte de culcare; evitarea alimentelor grase şi condimentate; abstinenţa de la fumat, consum de alcool şi de cafea.
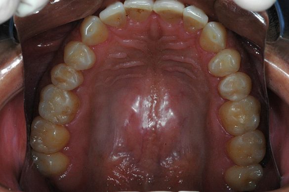
După tratamentul cauzelor GERD, s-au înregistrat amprente din alginat iar modelele din gips rezultate au fost montate pe un articulator semiajustabil. Ariile ce urmau a fi restaurate au fost modelate din ceară, pentru analiza diagnostică a relaţiei ocluzale dorite. Apoi s-a creat o lingură semirigidă din acetat pentru a servi ca şablon în timpul procedurii restauratoare. Potrivit analizei modelelor montate în articulator, înălţimea minimă pentru restabilirea dimensiunii verticale de ocluzie era de 1,5mm (fig. 4).
Aria posterioară a lingurii din acetat a fost secţionată în regiunea caninului şi a primului premolar şi piesele au fost utilizate pentru a restaura dinţii posteriori. S-au selectat culorile A2 pentru dentină şi A2E pentru smalţ. Cavităţile preparate pentru leziunile de coroziune au fost limitate prin îndepărtarea restaurărilor preexistente. S-a optat pentru izolarea absolută cu digă a câmpului de lucru, intercalând dinţii pentru a evita contactul compozitului cu suprafeţele aproximale. După profilaxia cu pulbere, suprafeţele de smalţ au fost gravate cu acid fosforic 37% timp de 30 secunde (fig. 5). După clătirea cu sprayul de apă/aer pentru 30 secunde, s-a aplicat un adeziv autogravant pe smalţ şi pe dentină şi s-a polimerizat cu lampa cu halogen la 500mW/cm2 timp de 20 secunde (fig. 6).
Răşina de compozit a fost inserată iniţial în regiunea restaurării de amalgam şi fotopolimerizată cu un dispozitiv halogenic timp de 20 secunde (fig. 7). Apoi s-a distribuit o porţie mai mare de compozit pe toate suprafeţele ocluzale. Şablonul a fost apoi completat cu compozitul răşinic şi s-a poziţionat la nivelul segmentului de restaurat. Fotoactivarea s-a efectuat 40 secunde (fig. 8). După polimerizare, excesul de compozit a fost înlăturat cu o freză diamantată şi discuri abrazive.
Toţi dinţii posteriori au fost reabilitaţi cu restaurări directe pe bază de răşină şi la nivelul hemiarcadei controlaterale, într-un mod similar celui descris anterior, restabilind astfel dimensiunea verticală (fig. 10, 11). S-a efectuat ajustarea ocluzală şi proximală, pentru a obţine contururi adecvate.
S-a restabilit ghidajul anterior prin înălţarea cu aproximativ 2mm a muchiei incizale la dinţii mandibulari frontali (de la canin la canin). S-a efectuat restaurarea caninului 2.3. impusă de forma necorespunzătoare a acestuia. S-au folosit aceleaşi culori şi materiale şi pentru restaurarea dinţilor frontali (fig. 12). S-a creat o nouă gutieră ocluzală pentru a ajuta la asigurarea unei bune longevităţi clinice. Pacientul a beneficiat de instructaj de igienă orală.
Dispensarizarea se impune pentru verificarea menţinerii parametrilor ocluzali şi pentru a certifica faptul că restaurările se menţin funcţional. După o monitorizare de 12 luni, s-a evaluat funcţia corectă a sistemului stomatognatic şi s-a efectuat o nouă finisare/lustruire. Pacientul a fost întrebat despre sensibilitate şi tulburările gastrice, el raportând faptul că durerile au dispărut aproape în totalitate; în schimb, nu a renunţat la fumat.
Discuţii
Întrucât pierderea suprafeţei dentare este o stare multifactorială, planul de tratament dentar trebuie să includă terapia medicală în scopul prevenirii leziunilor ulterioare, implicând practicieni din alte sfere medicale pentru stabilirea diagnosticului definitiv. În cazul de faţă, aspectul clinic al leziunilor a sugerat diagnosticul: suprafaţa ocluzală a dinţilor posteriori prezenta arii decupate sau depresiuni, cu aspect în formă de lingură, cauzat de eroziune.1,12
Când diagnosticul de GERD este confirmat, tratamentul trebuie să fie minim invaziv şi planificarea trebuie să aibă în vedere ameninţarea pentru integritatea structurală a dintelui; hipersensibilitatea dentinară; pierderea structurii dentare, a dimensiunii verticale, şi/sau a funcţiei; afectarea estetică; şi posibila expunere a pulpei.13
Severitatea leziunilor dentare poate varia, iar tratamentul depinde de circumstanţele individuale. Tratamentele restauratoare iniţiale trebuie să fie conservatoare, îndeosebi la pacienţii mai tineri şi pot include răşinile adezive pentru a restaura aspectul, funcţia şi utilizarea compozitelor, dacă uzura se află în arii cu stres redus.14 Cu toate acestea, când uzura este mai extinsă, cu pierderea dimensiunii verticale, poate fi necesară o reconstrucţie ocluzală cu răşini adezive sau coroane.
În prezentarea de faţă, deşi pacientul a utilizat o gutieră nocturnă pentru evitarea uzurii cauzate de bruxism, dinţii cu restaurări din amalgam prezentau o suprafaţă curată şi lipsită de pete colorate, sugerând un proces activ de eroziune.1 Se pot lua în considerare tratamentele conservatoare pentru sensibilitatea dentinară; adesea devine necesară înlocuirea structurii dentare pierdute. În cazul de faţă, factorul care a stabilit necesitatea tratamentului a fost reprezentat de pierderea structurii dentare, asociată cu hipersensibilitate.
Materialul selectat trebuie să conserve dintele natural ori de câte ori este posibil.12 În cazul prezentat, luând în considerare severitatea pierderii în ariile restricţionate cu prezenţa structurii dentare adecvate pentru adeziune, răşina compozită a reprezentat o opţiune pentru restaurarea uzurii dentare. Avantajele utilizării răşinii compozite constau în costurile mai reduse faţă de tratamentele indirecte, facilitatea utilizării de către practicienii dentari, longevitatea chiar şi în regiunile posterioare15 şi, la nevoie, posibilitatea reparaţiilor. În plus, unele studii au demonstrat că restaurările din compozite răşinice ating rate de longevitate şi de succes comparabile cu ale altor materiale, când se folosesc corect.16 Cercetarea a demonstrat, de asemenea, că în condiţii acide toate materialele dentare restauratoare au dovedit degradare în timp şi materialele compozite au prezentat o durabilitate mai crescută.17
Opţiunea unui sistem adeziv autogravant se bazează pe absenţa etapelor de clătire şi uscare pentru menţinerea umidităţii ideale a dentinei. Sistemul adeziv folosit este clasificat ca adeziv uşor autogravant, care poate demineraliza dentina, menţinând hidroxiapatita reziduală. Acesta este considerat un avantaj pentru o mai bună adeziune şi durabilitate a restaurării.18 Totuşi, s-a propus ca demineralizarea suplimentară să fie efectuată numai pe smalţ la utilizarea acestui tip de sistem adeziv, datorită ratei sale de demineralizare mai slabe, comparativ cu acidul fosforic pentru acest substrat.18 La analiza ocluziei şi a modelelor, s-a observat lipsa spaţiului, care a fost cauzată probabil de o erupţie secundară a dinţilor pentru a compensa uzura.1,19
Tratamentul era imposibil fără restabilirea dimensiunii verticale. Din acest motiv, înălţimea a fost menţinută cât mai minim posibilă pentru a restaura forma şi funcţia dintelui. Având în vedere că sistemul masticator este capabil să se acomodeze cu succes la modificările de adaptare minime sau moderate în dimensiunea verticală a ocluziei,19 tratamentul s-a efectuat fără a utiliza o gutieră ocluzală pentru o anumită perioadă de timp. După tratament, pacientul nu a relatat durere sau disconfort.
După procedura de restaurare ocluzală şi în urma ajustărilor, a fost necesară restabilirea unui ghidaj lateral şi anterior pentru a obţine o ocluzie stabilă şi o funcţie confortabilă pentru sistemul stomatognat.20 Fabricarea unei gutiere noi ajută la garantarea durabilităţii tratamentului realizat şi previne uzura ulterioară indusă în principal de bruxism.
Concluzii
Având în vedere distrugerea dentiţiei cauzată de o afecţiune sistemică precum GERD şi faptul că uneori pacientul poate să nu prezinte alte simptome, medicul dentist trebuie să fie capabil să identifice leziunile orale, ca semn al unei posibile boli sistemice şi să realizeze tratamentul dentar corect.









Referinţe bibliografice:
- Bartlett DW. The role of erosion in tooth wear: aetiology, prevention and management. Int Dent J. 2005;55(4 suppl 1):277-284.
- Abrahamsen TC. The worn dentition–pathognomonic patterns of abrasion and erosion. Int Dent J. 2005;55(4 suppl 1):268-276.
- Pindborg JJ. Chemical and physical injuries. Pathology of the Dental Hard Tissues. 1st ed. Philadelphia, PA: WB Saunders Co.; 1970:312-325.
- Bartlett DW, Evans DF, Anggiansah A, et al. A study of the association between gastro-oesophageal reflux and palatal dental erosion. Br Dent J. 1996;181(4):125-131.
- Van Roekel NB. Gastroesophageal reflux disease, tooth erosion, and prosthodontic rehabilitation: a clinical report. J Prosthodont. 2003;12(4):255-259.
- Farrokhi F, Vaezi MF. Extra-esophageal manifestations of gastroesophageal reflux. Oral Dis. 2007;13(4):349-359.
- Gudmundsson K, Kristleifsson G, Theodors A, et al. Tooth erosion, gastroesophageal reflux, and salivary buffer capacity. Oral Surg Oral Med Oral Pathol Oral Radiol Endod. 1995;79(2):185-189.
- Moazzez R, Bartlett D, Anggiansah A. Dental erosion, gastro-oesophageal reflux disease and saliva: how are they related? J Dent. 2004;32(6):489-494.
- Lazarchik DA, Filler SJ. Effects of gastroesophageal reflux on the oral cavity. Am J Med. 1997;103(5A):107S-113S.
- Machado NAG, Fonseca RB, Branco CA, et al. Dental wear caused by association between bruxism and gastroesophageal reflux disease: a rehabilitation report. J Appl Oral Sci. 2007;15(4):327-333.
- Gandara BK, Truelove EL. Diagnosis and management of dental erosion. J Contemp Dent Pract. 1999;1(1):16-23.
- Aziz K, Ziebert AJ, Cobb D. Restoring erosion associated with gastroesophageal reflux using direct resins: case report. Oper Dent. 2005;30(3):395-401.
- Lambrechts P, Van Meerbeek B, Perdigão J, et al. Restorative therapy for erosive lesions. Eur J Oral Sci. 1996;104:229-240.
- Yip HK, Smales RJ, Kaidonis JA. Management of tooth tissue loss from erosion. Quintessence Int. 2002;33(7):516-520.
- el-Mowafy OM, Lewis DW, Benmergui C, et al. Meta-analysis on long-term clinical performance of posterior composite restorations. J Dent. 1994;22(1):33-43.
- Ritter AV. Direct resin-based composites: current recommendations for optimal clinical results. Compend Contin Educ Dent. 2005;26(7):481-527.
- Jaeggi T, Grüninger A, Lussi A. Restorative therapy of erosion. Monogr Oral Sci. 2006;20:200-214.
- Van Landuyt KL, Kanumilli P, De Munck J, Peumans Met al. Bond strength of a mild self-etch adhesive with and without prior acid-etching. J Dent. 2006;34(1):77-85.
- Rivera-Morales WC, Mohl ND. Relationship of occlusal vertical dimension to the health of masticatory system. J Prosthet Dent. 1991;65(4):547-553.
- McIntyre F. Restoring esthetics and anterior guidance in worn anterior teeth. A conservative multidisciplinary approach. J Am Dent Assoc. 2000;131(9):1279-1283.

