Originally published in Compendium, an AEGIS Publications Property. All rights reserved.
Conservative Full-Mouth Reconstruction of a Worn Dentition Utilizing Digital Impression Technology and Modern Ceramic Materials by John F. Weston, DDS. Originally published in Compendium of Continuing Education in Dentistry 32(7), September 2011. Copyright © 2012 to AEGIS Communications. All rights reserved.
Despre autor:
John F. Weston, DDS
Accredited Fellow, American Academy of Cosmetic Dentistry; Director, Scripps Center for Dental Care, La Jolla, California
Recunoaștere:
Lucrările ceramice au fost realizate de Todd Cochran of Horizon Dental Studio, San Diego, California.
Restaurarea conservatoare a unui caz de uzură dentară generalizată
Buna comunicare şi planificarea avansată au reprezentat două elemente cheie în acest caz pentru a oferi pacientului un rezultat estetic îmbunătăţit predictibil şi clinic acceptabil, cu conservarea structurii dentare. Demonstrând integrarea cu succes a diferiţilor specialişti din domeniul medicinei dentare, cazul a utilizat noua tehnologie ce a inclus scanarea optică la scaun şi modelarea stereolitică. S-au atins astfel obiectivele legate de îmbunătăţirea zâmbetului pacientului şi cele de funcţionalitate.
Privite în totalitate, cazurile de reabilitare orală totală pot fi adesea descurajatoare. Mulţi pacienţi care necesită acest nivel de îngrijire restauratoare prezintă în mod frecvent aspecte intricante, ce constituie motivul principal al eşecului în primul rând. Adesea aspectele parodontale, funcţionale, genetice şi psihologice pot complica o situaţie deja provocatoare. Cu toate acestea, când se organizează strategic în subspecialităţile logice componente şi urmează stomatologia bazată pe dovezi, clinicienii cu experienţă modestă pot obţine succes remarcabil.
Acest caz demonstrează modul în care beneficiile comunicării adecvate şi ale planificării avansate au oferit acestui pacient un rezultat predictibil şi clinic acceptabil cu estetică îmbunătăţită şi prezervarea structurii dentare.
Prezentare de caz
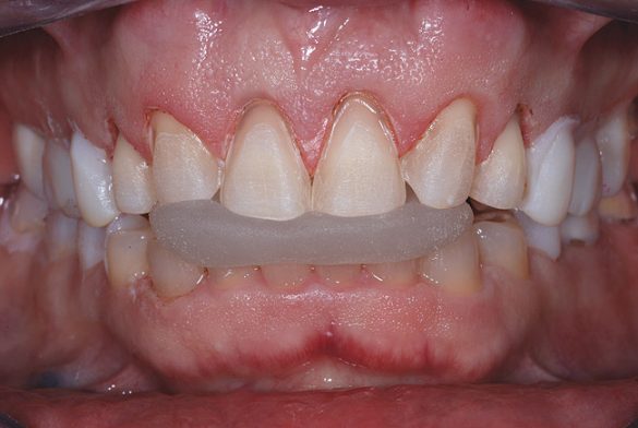
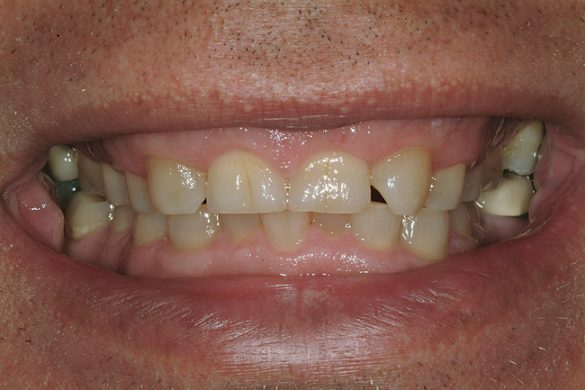
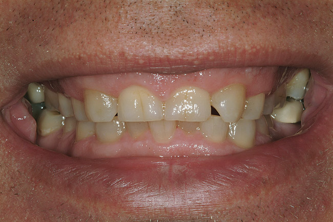
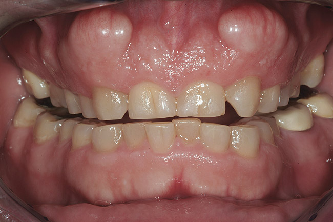
Un bărbat în vârstă de 48 ani, clinic sănătos, s-a prezentat pentru consultaţie, reclamând în principal zâmbetul său dezagreabil. Era îngrijorat cu privire la pierderea progresivă a structurii dentare pe care a constatat-o în decursul ultimilor ani şi cu privire la colorarea generalizată şi afişarea inadecvată a dinţilor şi gingiilor sale. Imaginile retractate preoperatorii relevau o formă de arcadă îngustă cu înghesuire minoră, uzură severă şi eroziune, alături de formarea unor torusuri voluminoase în regiunile maxilare vestibulare1 (fig. 1).
Fiind un consultant de succes de software pentru calculatoare care se întâlneşte săptămânal cu clienţii săi, era totodată conştient de faptul că într-o piaţă competitoare un zâmbet atractiv poate oferi beneficii. Un sondaj efectuat de Academia Americană de Stomatologie Cosmetică (American Academy of Cosmetic Dentistry, AACD) a dezvăluit faptul că o persoană cu un zâmbet agreabil este mult mai atrăgătoare în numeroase privinţe şi poate oferi un avantaj în contextul întâlnirilor de afacerilor.2 Pacientul s-a consultat premergător cu un protetician care i-a recomandat o abordare tradiţională, constând în acoperire totală cu coroane metalo-ceramice pentru a deschide ocluzia şi a îmbunătăţi estetica.
Întrucât sunt disponibile numeroase tehnici şi oportunităţi pentru reconstrucţia zâmbetului, pacientul a fost reticent cu privire la îndepărtarea unei cantităţi de structură dentară mai mare decât era necesar. O abordare mai conservatoare, cu utilizarea restaurărilor ceramice cimentate a fost mai agreată de către pacient, mai ales pentru că se poate prezerva structură dentară valoroasă şi poate reprezenta o soluţie de lungă durată.3 Curând a devenit evidentă necesitatea unui tratament interdisciplinar pentru îmbunătăţirea zâmbetului. Oportunitatea de a avea toate specialităţile disponibile într-un singur cabinet a permis iniţierea unui consult rapid şi a unui proces de colaborare cu ortodontul, parodontologul şi chirurgul oral.4
Discuţiile cu pacientul au inclus îmbunătăţirea raportului dintre “alb şi roz” prin creşterea înălţimii gingivale în dreptul dinţilor frontali. Aceasta urma să îmbunătăţească raporturile dintre înălţime-lăţime şi să ofere o afişare mai ideală a dinţilor. S-a dezbătut, de asemenea, reducerea volumului torusurilor vestibulare maxilare, întrucât dimensiunile semnificative ale acestora puteau reprezenta o problemă în cursul oricărei reconturări tisulare planificate. S-a convenit că aceste evaluări şi etape terapeutice ar trebui finalizate înainte de orice terapie restauratoare, ca parte integrantă a procesului de obţinere a obiectivelor globale ale cazului.
Etapa terapeutică pre-restauratoare
S-a discutat tratamentul ortodontic şi s-a efectuat evaluarea de către medicul ortodont. Un acord mutual privind planul de tratament a inclus deschiderea lăţimii arcului pentru a lărgi zâmbetul, umplând astfel coridorul vestibular şi reducând ocluzia inversă posterioară. Se prevedea totodată nivelarea generală şi alinierea ambelor arcade dentare. Acest plan a permis o abordare chirurgicală şi restauratoare mai conservatoare, prin plasarea dinţilor într-o locaţie mai favorabilă, reducând astfel cantitatea de structură dentară dură şi moale ce trebuie îndepărtată.
După finalizarea tratamentului ortodontic s-au îmbunătăţit simetria, lăţimea arcului, alinierea şi funcţia, urmând planificarea zâmbetului şi faza chirurgicală.5 Examinarea clinică după tratamentul ortodontic a evidenţiat o ocluzie long centric cu suprafeţe ocluzale plane, făcând dificilă obţinerea unei înregistrări reproductibile a ocluziei. Utilizarea unui arc facial de transfer şi înregistrarea relaţiei centrice pentru a monta anatomic modelele preoperatorii a constituit un important pas de bază. Acesta s-a realizat utilizând un deprogramator anterior simplu, care permite raportarea anatomiei şi ajută astfel la obţinerea unei înregistrări repetabile şi clare a ocluziei.6
O fotografie iniţială a zâmbetului a evidenţiat afişarea în exces a gingiei, iar măsurătorile au dezvăluit o lungime a incisivilor centrali de 8,5mm (faţă de ideal 11,5mm).7,8
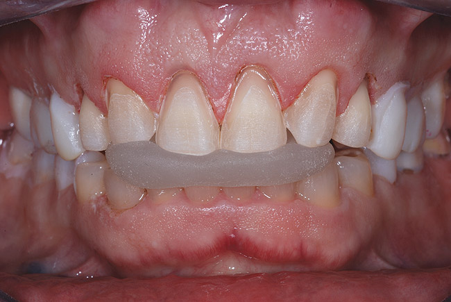
Următorul pas logic era determinarea poziţiei muchiei incizale ideale a incisivilor centrali cu buzele în repaus, prin efectuarea unui mock-up intraoral din compozit. Compozitul fluid reprezintă o bună opţiune pentru adăugarea provizorie la muchiile incizale şi/sau la acoperirea ţesutului pentru testarea diferitelor schimbări, vizualizarea rezultatelor proiectate şi pentru a obţine acceptul pacientului. Prin adăugarea compozitului la ariile gingivale şi incizale ale dinţilor 1.1. şi 2.1., s-a stabilit o nouă formă incizală pe care pacientul a aprobat-o. S-a verificat fonetica şi afişarea corespunzătoare a unei lungimi de 2-3mm, cu buzele în repaus9 (fig. 2).
Cu acest nou contur şi noua poziţie dentară stabilită, s-a efectuat o amprentă polivinilică şi s-a trimis tehnicianului, pentru a finaliza wax-up-ul de laborator, cu scopul de a include o linie estetică îmbunătăţită a surâsului şi o schemă ocluzală, pe baza poziţiei muchiei incizale „determinată clinic” (fig. 3). S-au realizat ghidaje de preparare fabricate în laborator din silicon de condensare şi ghidaje provizorii, ca parte integrantă a procesului de lucru.10,11
Odată ce designul alinierii şi al zâmbetului era finalizat, se putea iniţia etapa chirurgicală. Prin salvarea pieselor de mock-up din compozit, care indică înălţimea gingivală aprobată, parodontologul era capabil să plaseze aceste secţiuni deasupra dinţilor şi să determine cantitatea de ţesut care urma să fie îndepărtat. Piesele mock-up serveau, de asemenea, ca şi ghidaj chirurgical pentru plasarea marginii osoase, prin măsurarea unei distanţe de 2,5-3mm de la linia gingivală propusă. Drept urmare, parodontologul a stabilit că pentru a evita invadarea lăţimii biologie şi pentru a obţine încă înălţimea incizală/gingivală dorită, osul alveolar trebuia reconturat la nivelul celor 8 dinţi frontali.12-15
Simultan, reducerea uşoară a torusurilor urma să se efectueze în timp ce pacientul se afla sub sedare. S-a convenit că torusurile bilaterale existente ofereau, de fapt, un anume suport pentru buza superioară, astfel că numai regiunile cele mai apropiate secţiunii apicale a dintelui trebuiau reduse. Faza chirurgicală a fost finalizată după ortodonţie, urmată de o perioadă de vindecare de 6 săptămâni.
Etapa terapeutică restauratoare
În etapa de planificare timpurie, tehnicianul dentar a fost consultat în privinţa opţiunilor de materiale. S-a decis că ceramica de sticlă ranforsată, precum disilicatul de litiu, ar fi o bună alternativă ca material de restaurare, datorită proprietăţilor sale de rezistenţă. Ea ar satisface cerinţele ocluzale şi estetice pentru dinţii frontali şi ar permite utilizarea unor restaurări adezive cu preparare minimă. Coroanele ceramice pe bază de zirconiu ar fi fost satisfăcătoare pentru dinţii posteriori, întrucât mulţi dinţi erau deja acoperiţi cu coroane totale.
Este important ca pacientului să i se permită vizualizarea rezultatului intenţionat, nu doar pe modele, ci şi în cavitatea orală. În ghidajele provizorii ale wax-up-ului s-a aplicat un material provizoriu şi ulterior ansamblul s-a poziţionat în cavitatea bucală a pacientului. Odată îndepărtate ghidajele, zâmbetul cu „mock-up-ul instant” se poate utiliza pentru vizualizarea planului intenţionat. Clinicianul poate verifica orice asimetrie, designul ocluzal, fonetica şi poate obţine aprobarea pacientului înainte de orice modificări dentare permanente.16
În opinia autorului, utilizarea unei liste perfecţionate de verificare a fiecărei etape de lucru ne poate asigura de faptul că toate informaţiile clinice sunt adunate la timp şi într-o manieră lipsită de stres. Deţinerea listei de verificare permite clinicianului şi personalului dentar auxiliar să se concentreze asupra îngrijirii pacientului în loc să încerce să îşi amintească în ce ordine trebuie colectată fiecare piesă a informaţiei. Exemple pentru valoarea unei liste de verificare includ fotografiile de referinţă pentru nuanţele dentinare şi înregistrarea muşcăturii interocluzale. Ambele etape trebuie efectuate înainte de lucrările provizorii. Omise, ele se pot obţine cu dificultate fără înlăturarea restaurărilor provizorii.
Prepararea segmentelor frontale
Cu mock-up-ul fixat pe dinţii laterali, în scopul de a menţine dimensiunea verticală şi relaţia interocluzală, s-au efectuat preparările dinţilor frontali superiori şi inferiori cu utilizarea pieselor de mână electrice şi a instrumentarului diamantat. Raportarea constantă la ghidajele de reducţie permite o reducere dentară de mare precizie.10,11 Incisivii inferiori au constituit o situaţie cu preparare minimă, cu abordarea suplimentară numai a contururilor faciale şi a celor incizale. Înregistrarea unei ocluzii frontale s-a obţinut cu ajutorul unui material acrilic rigid fotopolimerizabil (fig. 4).
Cu această referinţă verticală poziţionată, materialul provizoriu posterior poate fi îndepărtat, se pot prepara dinţii posteriori şi se pot efectua înregistrările ocluzale posterioare tradiţionale, cu şablonul menţinut pe loc. În acest caz s-a planificat restaurarea iniţială a premolarilor şi a secţiunii anterioare. O ocluzie deschisă restantă în regiunea posterioară poate ajuta la menţinerea unei poziţii ocluzale anatomice prin eliminarea interferenţelor posterioare.9 Structura dentară subiacentă este întotdeauna un factor ce trebuie luat în considerare pentru ca nuanţa finală să fie predictibilă. Înainte de aplicarea restaurărilor provizorii finale s-a efectuat o fotografie cu dentina umedă.
Amprentele
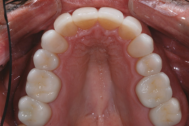
După finisarea preparaţiilor, retracţia s-a obţinut utilizând o pastă de retracţie gingivală. Materialul solid disponibil în seringă este simplu de folosit şi delicat faţă de ţesutul gingival. După aplicarea unui strat subţire de pulbere de contrast, s-a utilizat un aparat de scanare orală pentru a captura cu precizie extremă amprentele digitale ale preparaţiilor, cu o rezoluţie crescută, alături de înregistrările ocluzale.17 Acest sistem este unic datorită utilizării tehnologiei de capturare video tridimensională şi permite utilizatorului să verifice dacă toate componentele critice ale amprentei sunt obţinute prin simpla monitorizare a ecranului în cursul capturării. Se pot, de asemenea, revizui marginile individuale ale preparaţiei pentru deplinătate şi detalii (fig. 5).
Este necesară doar o retracţie minimă, deoarece toate marcajele marginale, gravajul şi secţionările se efectuează virtual. În pus, procesul de prescriere este complet automat, iar informaţiile se introduc simplu pe un monitor de tip touchscreen. Fişierul se trimite apoi prin email pentru procesarea modelului.
Restaurările provizorii
După clătirea cavităţii orale cu clorhexidină, s-au dezinfectat şi preparaţiile. Restaurările provizorii s-au realizat pe baza formei testate cu materiale şi utilizând matricele pentru wax-up, scurtate şi cimentate temporar. S-au efectuat fotografii şi înregistrări ocluzale ale provizoriilor ca referinţe şi pacientul a fost monitorizat timp de câteva săptămâni cu scopul de a asigura menţinerea esteticii şi a funcţiei acceptabile (fig. 6).
Etapele de laborator
În decurs de câteva zile, după verificarea marginilor şi marcarea lor de către ceramistul din laborator, se primesc modelele răşinice stereolitografice (SLA) montate, articulate şi cu pinuri, fiind pregătite pentru montare şi fabricarea restaurărilor selectate. O etapă importantă pentru ceramist o reprezintă confirmarea faptului că montarea este exactă şi referinţele orizontale sunt corecte. Modelele trebuie montate cu aceeaşi orientare ca în fotografia pacientului în care acesta poartă “muşcătura în băţ” sau restaurări provizorii. Aceasta reduce şansa creării unei linii mediane înclinate.
În cursul procesului de fabricare a restaurărilor, ceramistul va face frecvent comparaţii ale porţelanului cu un model al provizoriilor şi cu fotografiile dinţilor naturali. Prin fabricarea unei matrice a poziţiei muchiei incizale a restaurărilor temporare se poate confirma că design-ul porţelanului respectă restaurările provizorii aprobate de pacient, pe care le-a creat medicul.
În acest caz planul a inclus reducerea overjetului alături de îngustarea coridorului vestibular. Porţelanul utilizat era un material presat, iar muchiile incizale au fost scurtate şi stratificate în câteva etape pentru a obţine nuanţa, luminozitatea, intensitatea, saturaţia, valoarea şi caracteristica incizală. La finalizarea pieselor ceramice tehnicianul a gravat suprafeţele interne cu acid hidrofluoric 5% timp de 20 sec şi apoi le-a curăţat cu ultrasunete şi le-a returnat gata pregătite pentru lipirea cu adeziv.18
Inserţia
În ziua inserării, restaurările provizorii au fost îndepărtate cu grijă prin efectuarea unor incizii interproximale; modelul de preparaţie s-a folosit ca ghidaj pentru a evita ariile critice ale structurii dentare. Apoi preparaţiile au fost curăţate şi dezinfectate cu clorhexidină şi pastă abrazivă. S-a alocat o atenţie deosebită sănătăţii tisulare şi s-au menţinut sub control toate ariile hemoragice. S-a efectuat o probă la uscat pentru a confirma adaptarea marginală şi proximală.
În scopul de a obţine cea mai crescută putere adezivă cu ceramicile presate, s-a realizat o adeziune tipică porţelan-smalţ cu gravaj total utilizând un sistem cu două flacoane de generaţia a patra. Este importantă menţinerea unei suprafeţe dentinare umede; acest sistem foloseşte apa ca vehicul pentru primerul dentinar, permiţând o forţă adezivă excelentă.19
S-a folosit o tehnică de inserţie rapidă la aplicarea pe fiecare arcadă în parte, începând cu dinţii centrali şi avansând către lateral. Această tehnică l-a asigurat pe practician de faptul că toate faţetele au fost poziţionate corespunzător şi stabilizate la restaurările adiacente. S-a îndepărtat cimentul iniţial şi faţetele au fost menţinute timp de 1 sec utilizând o ansă cu diametrul de 3mm, plasată jumătate pe ţesut, jumătate pe margine.
Cimentul interproximal restant nepolimerizat a fost curăţat utilizând o perie din păr de cămilă, urmată de o polimerizare timp de 40 sec cu o barieră împotriva oxigenului sub formă de gel de glicerină. Curăţarea delicată şi eliminarea cimentului la margini s-a realizat cu o lamă; pe marginile vestibulare nu s-a folosit nicio freză. Marginile linguale au fost finisate cu o bandă roşie fină diamantată şi lustruite după verificarea ocluziei, utilizând vârfuri cauciucate, benzi galbene medii şi benzi albe fine. S-a folosit aţa interdentară pentru a verifica ariile interproximale netede şi s-a alocat o atenţie suplimentară la folosirea benzii galbene diamantate, înguste şi perforate. S-a verificat ocluzia pentru asigurarea prezenţei contactelor multiple între cuspizii funcţionali la toţi dinţii restauraţi.
Etapa restauratoare posterioară
După inserarea restaurărilor anterioare, s-au restaurat molarii posteriori. S-au ales coroane totale, datorită cantităţii de structură dentară absentă şi eşecului coroanelor preexistente. Scanarea înregistrării ocluzale s-a simplificat prin prepararea concomitentă a tuturor dinţilor posteriori şi apoi cu solicitarea pacientului să muşte în relaţie centrică. Aceasta era posibilă pentru că după prima fază s-a obţinut o restaurare în raport cu noua poziţie anatomică şi nu era diferenţă între muşcătura poziţională anatomică şi ocluzia poziţională dobândită.
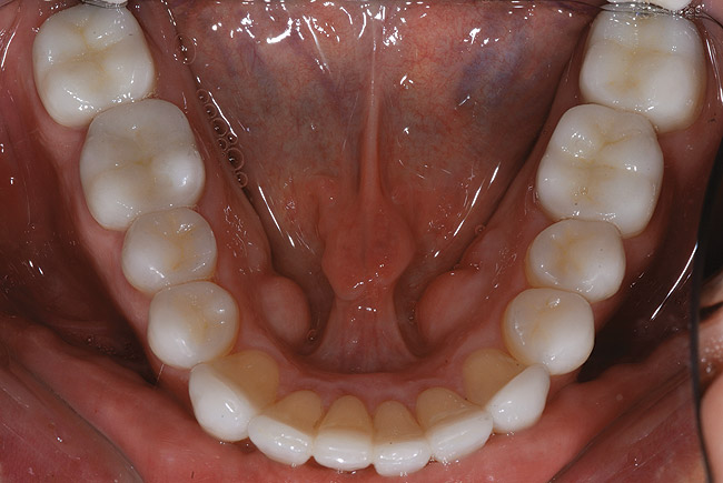
Spre deosebire de amprentele tradiţionale din polivinil-siloxan (PVS) în care toţi dinţii restauraţi trebuie retractaţi şi izolaţi în acelaşi timp, aparatul de scanare orală permite capturarea, la nevoie, a secţiunilor. După finalizarea amprentării digitale, în câteva zile modelele SLA răşinoase se recepţionează de laborator, se aplică pinuri, se secţionează şi sunt pregătite de montare şi fabricarea restaurărilor restante (fig. 7).
Molarii au fost prevăzuţi cu restaurări provizorii utilizând aceeaşi tehnică descrisă anterior. La returnare, coroanele finale au fost probate pentru verificarea contactelor proximale; adaptarea a fost minimă pentru că modelele răşinice SLA sunt extrem de exacte şi durabile.
Coroanele au fost cimentate cu un ciment adeziv autogravant. S-au realizat uşoare ajustări ocluzale pentru a reverifica stopurile centrice simultane pe toţi dinţii. Protecţia ocluzală a fost oferită prin fabricarea unei gutiere ocluzale maxilare în plan drept, cu acoperire totală, pe care pacientul a fost instruit să o poarte în fiecare noapte şi cu ocazia fiecărui somn diurn.
Rezultate
Fotografiile finale ale acestui caz au pus în evidenţă genul de rezultate care se pot obţine urmând sistemele şi tehnicile dovedite (fig. 8-11). S-au realizat obiectivele de îmbunătăţire a raportului “alb-roz” alături de cele legate de zâmbetul pacientului. Perceperea în mod clar a obiectivelor acestui caz şi capacitatea de a comunica cu acurateţe cu pacientul şi ceramistul reprezintă o parte din cheia succesului.
Utilizarea camerelor digitale şi a tehnologiei de amprentare digitală permite durate de livrare mai scurte şi eficientizate, cu îmbunătăţirea abilităţii de comunicare. Acest caz este un exemplu al modului în care planificarea şi comunicarea adecvată produce rezultate sporite, rezultate clinice excelente şi o estetică funcţională îmbunătăţită.20 La momentul publicării, pacientul se afla la şedinţa de evaluare după un an, fără nicio problemă raportată sau diagnosticată.











Referinţe bibliografice:
- Mehl CJ, Harder S, Kern M, Wolfart S. Patients’ and dentists’ perception of dental appearance. Clin Oral Investig. 2011;15(2):193-199.
- American Academy of Cosmetic Dentistry. Can a new smile make you appear more successful and intelligent? Madison, WI: AACD; 2010. http://www.aacd.com/index.php?module=cms&page=75. Accessed June 26, 2011.
- Calamia JR, Calamia CS. Porcelain laminate veneers: reasons for 25 years of success. Dent Clin North Am. 2007;51(2):399-417.
- Chiche GJ. Proportion, display, and length for successful esthetic planning. In: Cohen M, ed. Interdisciplinary Treatment Planning: Principles, Design, Implementation. Hanover Park, IL: Quintessence Publishing; 2008:2-31.
- Kokich VO, Kokich VG, Kiyak HA. Perceptions of dental professionals and laypersons to altered dental esthetics: asymmetric and symmetric situations. Am J Orthod Dentofacial Orthop. 2006;130(2):141-151.
- Dawson PE. Evaluation, Diagnosis, and Treatment of Occlusal Problems. St. Louis, MO: Mosby Elsevier; 1989:47-52.
- Dontiza A. Creating the perfect smile: prosthetic considerations and procedures for optimal dentofacial esthetics. J Calif Dent Assoc. 2008;36(5):335-342.
- American Academy of Cosmetic Dentistry. A Guide to Accreditation Criteria. Madison, WI: AACD; 2001.
- Chiche GJ, Pinault A. Esthetics of Anterior Fixed Prosthodontics. Hanover Park, IL: Quintessence Publishing; 1994.
- Rosenthal L. Preparation guidelines for less-invasive cosmetic restorations. Gen Dent. 2007;55(7):624-630.
- Strupp WC Jr. Achieving predictability in anterior crown and bridge with the use of indexes. Crown and Bridge Update. 1997;9:65-71.
- Silberberg N, Goldstein M, Smidt A. Excessive gingival display—etiology, diagnosis, and treatment modalities. Quintessence Int. 2009;40(10):809-818.
- Kois JC. Altering gingival levels: the restorative connection, part 1: biologic variables. Journal of Esthetic and Restorative Dentistry. 1994;6(1):3-7.
- Lowe RA. Cosmetic recontouring of gingival tissues and alveolar bone. Pract Proced Aesthet Dent. 2006;18(5):315-316.
- Tarnow DP, Magner AW, Fletcher P. The effect of the distance from the contact point to the crest of bone on the presence or absence of the interproximal dental papilla. J Periodontol. 1992;63(12):995-996.
- Simon H, Magne P. Clinically based diagnostic wax-up for optimal esthetics: the diagnostic mock-up. J Calif Dent Assoc. 2008;36(5):355-362.
- Farah JW, Brown L. Comparison of the fit of crowns based on digital impressions with 3M ESPE Lava Chairside Oral Scanner C.O.S. vs. traditional impressions. The Dental Advisor Research Report. No 22. June 2009.
- Magne P, Belser U. Bonded Porcelain Restorations in the Anterior Dentition: A Biomimetic Approach. Hanover Park, IL: Quintessence Publishing; 2002:342-346.
- Kanca J III. Improving bond strength through acid etching of dentin and bonding to wet dentin surfaces. J Am Dent Assoc. 1992;123(9):35-43.
- Ohyama H, Nagai S, Tokutomi H, Ferguson M. Recreating an esthetic smile: a multidisciplinary approach. Int J Periodontics Restorative Dent. 2007;27(1):61-69.

