Originally published in Compendium, an AEGIS Publications Property. All rights reserved.
Gummy Smile and Short Tooth Syndrome – Part 2: Periodontal Surgical Approaches in Interdisciplinary Treatment by Simone Verardi, DDS, MSD; Marjan Ghassemian, BDS, DDS; Andrea Bazzucchi, DDS, MSD; and Antonello F. Pavone, DDS. Originally published in Compendium of Continuing Education in Dentistry 37(4) April 2016. © 2016 AEGIS Publications, LLC. All rights reserved. Reprinted with permission of the publishers.
Despre autori:
Simone Verardi, DDS, MSD
Affiliate Assistant Professor, Department of Periodontics, University of Washington School of Dentistry, Seattle, Washington; President, Schluger-Ammons Study Club, Seattle, Washington; Private Practice, Seattle, Washington
Marjan Ghassemian, BDS, DDS
Unit of Oral Surgery and Implant-Prosthetic Rehabilitation, Catholic University of the Sacred Heart, Rome, Italy
Andrea Bazzucchi, DDS, MSD
Private Practice, Rome, Italy
Antonello F. Pavone, DDS
Co-director, Dental Esthetic Center at LaClinic-Montreux-Switzerland; Co-owner and Scientific Director, Solo Sorrisi dental clinics and iSmile Coaching
Zâmbetul gingival şi sindromul dinţilor scurţi: abordări parodontale chirurgicale în tratamentul interdisciplinar
Una dintre cele mai frecvente cauze ale zâmbetului gingival este erupţia alterată, adică marginile gingivale localizate în poziţie mai coronară faţă de normal. Aceste cazuri se pot trata cu succes printr-o abordare chirurgicală parodontală. Se pot folosi mai multe tehnici, în funcţie de diferitele variaţii anatomice. Intervenţia trebuie planificată cu atenţie, astfel încât să se evite discrepanţele dintre ţesuturile moi şi dinţi.
Examenul clinic şi evaluarea radiologică vor permite determinarea poziţiei marginii gingivale, a crestei osoase, a joncţiunii smalţ-cement şi obţinerea astfel a unui diagnostic corect al subtipului de erupţie alterată. Clinicianul va trebui să aibă în vedere aceşti factori cu scopul de a dobândi un rezultat satisfăcător, îndeosebi în cazurile multidisciplinare.
Studii mai vechi şi recente sugerează că liniile surâsului înalte (fig. 1) sunt prezente la o parte considerabilă a populaţiei adulte,1 afectând probabil până la 29% dintre pacienţi.2 Atunci când această condiţie se limitează la nivelul dinţilor şi/sau al structurilor parodontale, este important de identificat dacă disproporţia dintre roz/alb se datorează uzurii incizale sau unei erupţii alterate. Coslet şi colab3 au clasificat erupţia alterată pasivă (APE) în patru subclase. Mai recent, s-au descris două tipuri de erupţie alterată: activă (AAE) şi pasivă (APE).4
APE este determinată de eşecul erupţiei dentare pasive, ducând la o acoperire gingivală excesivă a coroanei anatomice a dintelui, în timp ce distanţa de la creasta osoasă la joncţiunea smalţ-cement (CEJ) rămâne normală. În cazul AAE, există un eşec primar al fazei de erupţie dentară activă, care duce la incapacitatea dintelui de a emerge suficient din osul alveolar, lăsând astfel CEJ extrem de aproape de creasta osoasă. Această situaţie, în schimb, ar împiedica migrarea apicală a gingiei în timpul fazei de erupţie pasivă.4
Analiza clinică a marginilor incizale, localizarea CEJ şi utilizarea radiografiilor se pot folosi la diagnosticarea cauzelor intraorale ale disproporţiei. Totuşi, prezenţa uzurii dentare nu exclude neapărat prezenţa simultană a AAE sau a APE.
Odată cu stabilirea unui diagnostic precis, obiectivul tratamentului interdisciplinar este de a obţine coincidenţa ideală dintre coroana anatomică şi cea clinică, dobândirea proporţiei corecte între lăţimea/înălţimea coroanei şi poziţionarea tridimensională ideală a marginii incizale în cadrul „stadiului de zâmbire.”5
În tratamentul pacienţilor cu zâmbet gingival (Gummy Smile, GS) şi sindromul dinţilor scurţi (Short Tooth Syndrome, STS), clinicianul poate adopta două abordări diferite care se pot defini ca biologice şi restauratoare. În cadrul abordării biologice, obiectivul cheie este reprezentat de restabilirea distanţei fiziologice dintre CEJ şi marginea gingivală şi, deci, dintre CEJ şi creasta osoasă. De aceea, acest tip de tratament este indicat în cazul pacienţilor cu hiperplazie gingivală,6 ca de altfel în cazul AAE sau APE.
Scopul terapeutic al abordării restauratoare este acela de a îmbunătăţi estetica zâmbetului doar prin obţinerea unei linii armonioase a zenitului gingival şi prin restaurarea proporţiilor corecte ale coroanelor clinice cu ajutorul coroanelor şi punţilor. Când se aplică această abordare terapeutică, este verosimilă necesitatea acceptării mai multor compromisuri, pentru că restaurările finale recreează marginile restauratoare, mimând CEJ în locaţii care pot diferi de poziţiile anatomice originale. Această abordare este preponderent indicată în cazul protezelor fixe.
Indicaţii şi tehnici chirurgicale
Abordarea biologică în cazul gingiei supradimensionate
Prezenţa unei pseudopungi poate confirma prezenţa hiperplaziei gingivale.7 Sondarea parodontală a osului sub anestezie locală permite măsurarea lăţimii biologice. Scopul acestei metode chirurgicale presupune reducerea cantităţii de gingie şi plasarea marginilor gingivale cât mai aproape de CEJ.8 Tehnicile cel mai frecvent utilizate sunt gingivectomiile cu bizou extern9 sau lambou poziţionat apical cu bizou intern.10
Abordarea biologică în erupţia modificată
Sondarea sub anestezie locală va permite clinicianului să facă diferenţa între o erupţie alterată activă şi pasivă, deoarece aceste două situaţii pot coexista în aceeaşi regiune. Ghidul chirurgical nu este absolut necesar, deoarece gradul de festonare gingivală este dictat de poziţia CEJ; aceasta poate fi determinată prin extrapolarea dimensiunii clinice şi radiologice.
Se utilizează o incizie paramarginală dacă este prezentă o bandă lată de gingie pentru ca după festonare să rămână cel puţin 2mm din ea; dacă este prezentă o bandă gingivală mai îngustă, se va folosi o incizie intrasulculară. Papila se va inciza la bază şi se lasă pe loc. Se decolează un lambou cu grosime totală în cazul existenţei unei cantităţi abundente de gingie; în caz contrar se preferă un lambou mixt: în aria coronară un lambou cu grosime totală, iar în porţiunile interdentare şi apicale lambou cu grosime parţială. După elevarea lamboului, se realizează osteoplastia şi ostectomia. Aceasta din urmă se face doar în cazurile cu AAE. Această fază se poate executa cu freze chirurgicale montate la instrumentar rotativ sau cu piese de mână chirurgicale piezoelectrice, ce permit o intervenţie rezectivă mai exactă şi mai puţin traumatică.11
În cursul procedurii, ghidul chirurgical se repoziţionează în cavitatea orală pentru a aprecia dacă există o distanţă constantă şi adecvată între marginile osoase şi conturul planificat. După repoziţionarea lambourilor, se practică o sutură interdentară 5.0 sau 6.0. În cazurile în care se utilizează lamboul mixt, acesta se menţine pe poziţie prin suturare la periostul subiacent.
Tehnica chirurgicală în abordarea restauratoare estetică
Această abordare este indicată în cazurile care necesită chirurgie pentru alungire coronară anterioară, unde CEJ nu mai poate reprezenta un punct de referinţă. La pacienţii cu uzură anterioară cauzată de bruxism sau parafuncţie, erupţia compensatorie ulterioară poate duce de fapt la poziţii CEJ neregulate şi la o linie a zenitului gingival neregulată în locul unei linii parabolice sau în formă de „W”12 sau când pacienţii refuză tratamentul ortodontic.
Întrucât CEJ nu se poate folosi ca reper, ghidul chirurgical care se fabrică în conformitate cu instrucţiunile estetice, are un rol important în cursul intervenţiei chirurgicale. Incizia trebuie să fie intrasulculară sau paramarginală, în funcţie de cantitatea de ţesut keratinizat prezent. În cazurile în care se aplică incizia paramarginală, este important să se lase cel puţin 2mm de gingie.13
Elevarea lamboului urmează aceleaşi instrucţiuni ca şi în cadrul abordării anterioare, lăsând o distanţă de aproximativ 3mm între marginea osului şi ghidul chirurgical. Osul trebuie să aibă o formă fiziologică ideală, iar lambourile se repoziţionează cu suturi verticale în saltea.
ABORDAREA BIOLOGICĂ (CAZUL 1)
În primul caz prezentat (fig. 2-10), principalul factor contributiv al GS era AAE. În urma unui examen clinic şi radiologic detaliat, abordarea terapeutică a ţintit rezolvarea cauzei intraorale pentru atingerea obiectivelor estetice.
S-a utilizat sistemul Invisalign® (fig. 2) pentru a rezolva discrepanţa Bolton, prin lărgirea arcadei superioare şi inferioare. Aceasta conduce la diasteme incisive superioare, care ar evidenţia iniţial microdonţia incisivilor laterali, dar care ulterior s-ar putea restaura cu faţete din porţelan.
S-a obţinut un wax-up de laborator ca şi bază a mock-up-ului, care s-a realizat pentru a stabili şi a studia estetica finală a zâmbetului pacientului. După efectuarea modificărilor pe mock-up în consultaţie cu pacientul, s-a fabricat un ghid chirurgical care să indice inciziile chirurgicale ce urmau a fi efectuate de parodontolog în cursul intervenţiei chirurgicale.
După anestezie, s-a practicat o incizie festonată la nivelul ţesutului gingival (fig. 3). În regiunea interproximală, s-a utilizat o incizie de prezervare a papilei (fig. 4). Osteoplastia şi ostectomia s-au realizat cu scopul de a poziţiona creasta osoasă la aproximativ 2-3mm de CEJ (fig. 5). Ţesutul gingival a fost repoziţionat să coincidă cu incizia labială iniţială şi cu papila interdentară. S-au folosit suturi întrerupte (fig. 6), care s-au îndepărtat după 7 zile.
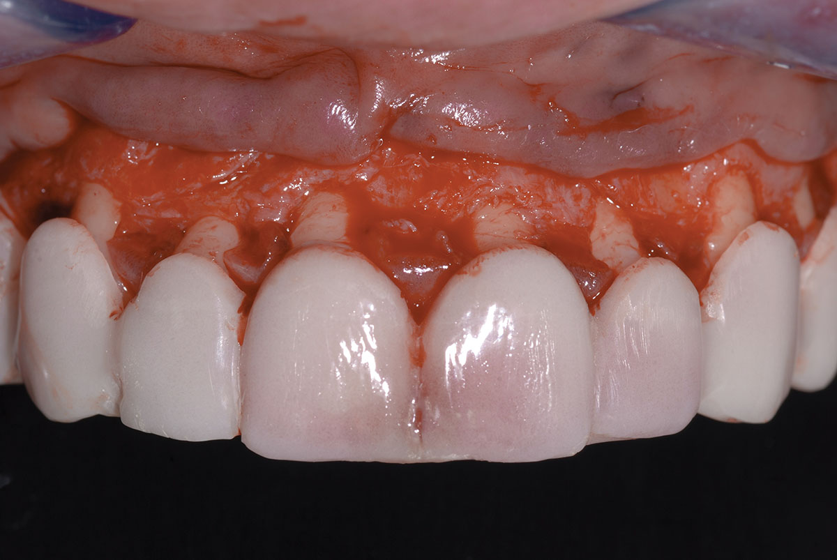
După vindecare (fig. 7), s-au înlăturat restaurările anterioare (fig. 8) şi s-au modificat preparaţiile existente; lateralii şi caninii au fost preparaţi pentru faţete în poziţia biologică ideală. Dentina pigmentată (din cauza utilizării tetraciclinei) s-a expus odată cu ablaţia restaurărilor anterioare, iar noile preparaţii au fost finalizate.
S-a realizat “reconstrucţie de mascare” (fig. 9), potrivit conceptelor de etanşare imediată a dentinei.14 S-a utilizat un ciment compozit uşor opac pentru fixarea faţetelor, cu scopul de a spori efectul de mascare (fig. 10).
ABORDAREA RESTAURATOARE (CAZUL 2)
Pacienta care s-a prezentat în acest caz (fig. 11-20) avea un istoric de bulimie nervoasă. Aceasta începuse tratamentul cu un alt medic stomatolog, fiind însă nemulţumită de rezultatele estetice (fig. 11).
Cele două coroane de la nivelul incisivilor centrali superiori au fost înlocuite cu restaurări provizorii noi, iar pentru canini s-a utilizat compozit. Apoi s-a iniţiat tratamentul ortodontic fix. Intenţia era de a deplasa lingual şi de a intruda dinţii frontali, respectiv de a reduce torsiunea lor (fig. 12).
Wax-up-ul realizat în laborator s-a utilizat pentru fabricarea mock-up-ului (fig. 13), care ţintea crearea unei forme şi a unor proporţii ideale ale restaurărilor finale şi reproducerea zenitelor gingivale.
S-a folosit un ghid chirurgical pentru procedura de alungire coronară anterioară. Se intenţiona echilibrarea rapoartelor lăţime/lungime ale dinţilor şi dobândirea unei lăţimi biologice în cazul celor doi incisivi centrali (fig. 14). S-a conservat ţesutul gingival prin practicarea unei incizii intrasulculare (fig. 15). S-a elevat lamboul, menţinându-se intact periostul osului interdentar (fig. 16). S-a impus utilizarea ghidului chirurgical în timpul rezecţiei osoase (fig. 17), deoarece nu existau puncte de referinţă. Ostectomia s-a efectuat astfel încât, de la creasta osoasă la marginea ghidului chirurgical, să rămână 3mm (fig. 18). Lamboul a fost repoziţionat şi s-au utilizat suturi periostale întrerupte pentru stabilizarea sa (fig. 19).
Coroanele provizorii s-au înlocuit cu coroane unidentare, iar în cazul lateralilor şi caninilor s-a optat pentru faţete din porţelan (fig. 20). În cazul restaurărilor finale, s-au utilizat preparaţiile cu muchii de cuţit pentru că ele se situau pe suprafaţa radiculară a dinţilor, iar acest aspect ar fi afectat adeziunea restaurărilor.15
Discuţii
În cazurile pacienţilor care prezintă zâmbet gingival, iar problema se poate trata sau compensa prin intermediul tratamentului parodontal de rutină, este important ca mai întâi să se stabilească diagnosticul unei erupţii alterate active sau pasive.3,4,16 Obiectivul intervenţiei chirurgicale constă în restaurarea dimensiunii coroanei anatomice în raport cu ţesuturile gingivale şi osoase, prin expunerea porţiunii de suprafaţă de smalţ acoperită de gingie. Aceasta este ceea ce autorii definesc „abordarea biologică.” Diferenţierea dintre erupţia alterată activă şi pasivă este necesară pentru că, în prima situaţie, chirurgia implică osteoplastie şi ostectomie deopotrivă, în timp ce, în a doua situaţie, gingivectomia poate fi suficientă.17 Realizarea doar a gingivectomiei în ariile cu AAE ar duce la eşecul tratamentului cauzat de restabilirea lăţimii biologice în aceeaşi poziţie.17
Unii autori sugerează utilizarea punctelor de referinţă biologice şi protetice pentru a contura incizia chirurgicală şi, de asemenea, pentru a ghida cantitatea de ostectomie cu ajutorul ghidului chirurgical.18 Totuşi, adesea se remarcă uzura asimetrică a marginilor incizale, erupţia compensatorie asimetrică şi asincronă ulterioară precum şi posibilitatea frecventă a erupţiei alterate. Expunerea chirurgicală a poziţiei CEJ este importantă. Tratamentul ortodontic aliniază dinţii în poziţiile lor ideale şi, în cele din urmă, se finalizează faza restauratoare.
De aceea, atunci când se efectuează chirurgia printr-o abordare biologică, punctul de referinţă corect nu este determinat de ghidul chirurgical, ci de CEJ. Ghidul chirurgical se poate utiliza ca incizia de la nivelul ţesutului moale să transfere informaţia extrasă din examenul clinic şi radiologic şi nu dintr-un stent ghidat estetic sau protetic.
În mod tradiţional, parametrii verticali luaţi în calcul la tratamentul ortodontic – în relaţie cu linia buzei – au fost reprezentaţi de: planul ocluzal posterior, marginile gingivale, lungimile coronare şi planul incizal.19 Dinţii au fost aliniaţi în raport cu marginea lor incizală, atitudine permisă doar în lipsa uzurii incizale. Poziţia marginii gingivale a fost, de asemenea, luată în considerare20; discrepanţele verticale au fost corectate fără a lua în calcul dacă era prezentă erupţia alterată. Acesta este motivul pentru care autorii propun necesitatea de a dezvălui locaţia corectă a CEJ în cazul abordării terapeutice biologice.
Menţinerea preparaţiilor în limitele ariilor lipsite de retentivităţi, care în schimb apar atunci când preparaţiile se fac apical de CEJ,21 minimizează îndepărtarea inutilă de structură dentară. Avantajele abordării biologice includ plasarea restaurărilor finale pe suprafaţa smalţului, îmbunătăţind longevitatea marginii restaurării,22 profilul şi conturul ideal al restaurării, precum şi sănătatea parodontală pe termen lung.
Abordarea restauratoare include cazuri cu coroane în antecedente la care nu se mai poate localiza CEJ, există dinţi malpoziţionaţi şi cu pierdere de ataşament parodontal. În aceste situaţii, obiectivul chirurgical este acela de alungire a coroanei prin folosirea parametrilor estetici şi chirurgicali cum ar fi: raportul coroană-rădăcină, starea parodontală şi poziţia marginii incizale.23 Cu această abordare unde restaurările cu coroane totale sunt deja prezente cu margini situate apical faţă de CEJ, profilurile de emergenţă sunt adesea supraconturate pentru a facilita contururi gingivale biologic acceptabile, deşi aceasta poate conduce la un compromis estetic.23
Concluzii
Se descriu două abordări diferite pentru tratamentul pacienţilor cu zâmbet gingival şi sindromul dinţilor scurţi: biologică şi restauratoare. Indiferent de abordarea terapeutică planificată, diagnosticul eronat al unei erupţii alterate din cauza absenţei unui protocol diagnostic valid şi reproductibil poate genera eşecuri estetice şi parodontale, traduse clinic prin dinţi disproporţionaţi şi alungirea nenaturală a marginilor gingivale ce periclitează aspectul final al zâmbetului şi întreaga fizionomie, cauzând ghidaje frontale alungite.24 Mai mult, marginile restauratoare plasate prea coronar faţă de CEJ pot genera în timp un risc de rezoluţie şi compensare ulterioară şi progresivă a erupţiei alterate şi, în cele din urmă, un eşec estetic.




















Referinţe bibliografice:
-
Tjan AH, Miller GD, The JG. Some esthetic factors in a smile. J Prosthet Dent. 1984;51(1):24-28.
-
Kokich VO Jr, Kiyak HA, Shapiro PA. Comparing the perception of dentists and lay people to altered dental esthetics. J Esthet Dent. 1999;11(6):311-324.
-
Coslet JG, Vanarsdall R, Weisgold A. Diagnosis and classification of delayed passive eruption of the dentogingival junction in the adult. Alpha Omegan. 1977;70(3):24-28.
-
Chu SJ, Karabin S, Mistry S. Short tooth syndrome: diagnosis, etiology, and treatment management. J Calif Dent Assoc. 2004;32(2):143-152.
-
Janzen EK. A balanced smile—a most important treatment objective. Am J Orthod. 1977;72(4):359-372.
-
Brunet L, Miranda J, Roset P, et al. Prevalence and risk of gingival enlargement in patients treated with anticonvulsant drugs. Eur J Clin Invest. 2001;31(9):781-788.
-
Glossary of Periodontal Terms. 4th ed. Chicago, IL: American Academy of Periodontology; 2001.
-
Cook DR, Mealey BL, Verrett RG, et al. Relationship between clinical periodontal biotype and labial plate thickness: an in vivo study. Int J Periodontics Restorative Dent. 2011;31(4):345-354.
-
Orban B. Indications, technique and post-operative management of gingivectomy in the treatment of the periodontal pocket. J Periodontol. 1941;12:89.
-
Ramfjord S. Gingivectomy—Its place in periodontal treatment. J Periodontol. 1952;23:30.
-
Vercellotti T, Pollack AS. A new bone surgery device: sinus grafting and periodontal surgery. Compend Contin Educ Dent. 2006;27(5):319-325.
-
Townsend CL. Resective surgery: an esthetic application. Quintessence Int. 1993:24(8):535-542.
-
Lang NP, Löe H. The relationship between the width of keratinized gingiva and gingival health. J Periodontol. 1972;43(10):623-627.
-
Magne P. Immediate dentin sealing: a fundamental procedure for indirect bonded restorations. J Esthet Restor Dent. 2005;17(3):144-155.
-
Loi I, Di Felice A. Biologically oriented preparation technique (BOPT): a new approach for prosthetic restoration of periodontically healthy teeth. Eur J Esthet Dent. 2013;8(1):10-23.
-
Alpiste-Illueca F. Altered passive eruption (APE): a little-known clinical situation. Med Oral Patol Oral Cir Bucal. 2011;16(1):e100-e104.
-
Brägger U, Lauchenauer D, Lang NP. Surgical lengthening of the clinical crown. J Clin Periodontol. 1992;19(1):58-63.
-
Scutella F, Landi L, Stellino G, Morgano SM. Surgical template for crown lengthening: a clinical report. J Prosthet Dent. 1999;82(3):253-256.
-
Kokich V. Esthetics and anterior tooth position: an orthodontic perspective. Part II: Vertical position. J Esthet Dent. 1993;5(4):174-178.
-
Bellamy LJ, Kokich VG, Weissman JA. Using orthodontic intrusion of abraded incisors to facilitate restoration: the technique’s effects on alveolar bone level and root length. J Am Dent Assoc. 2008;139(6):725-733.
-
Magne P, Magne M, Belser U. The esthetic width in fixed prosthodontics. J Prosthodont. 1999;8(2):106-118.
-
Layton D, Walton T. An up to 16-year prospective study of 304 porcelain veneers. Int J Prosthodont. 2007;20(4):389-396.
-
Kois JC. The restorative-periodontal interface: biological parameters. Periodontol 2000. 1996;11:29-38.
-
Ekfeldt A, Karlsson S. Changes of masticatory movement characteristics after prosthodontic rehabilitation of individuals with extensive tooth wear. Int J Prosthodont. 1996;9(6):539-546. smile cases.

