Originally published in Compendium, an AEGIS Publications Property. All rights reserved.
An Esthetic Concern Leads the Way to Improved Oral Health by Salvatore Guarnieri, DDS. Originally published in Compendium of Continuing Education in Dentistry 34(8) Sept 2013. Copyright © 2013 to AEGIS Communications. All rights reserved.
Despre autor:
Salvatore Guarnieri, DDS
Private Practice, Pittsford, New York
Recunoaştere:
Suresh Goel, DDS, Pittsford, New York,
for surgical support.
Adina Chambers, Adina’s Dental Lab, Inc., Seneca Falls, New York,
for laboratory support
Preocuparea pentru estetică conduce la creşterea calităţii sănătăţii orale
Evaluarea sistematică a riscului este esenţială pentru elaborarea unui plan de tratament care să îndeplinească atât cerinţele fizionomice ale pacientului, cât şi să diminueze riscul de apariţie a unor patologii viitoare. Pentru a putea lua cele mai adecvate decizii terapeutice, medicii clinicieni trebuie să ia în considerare necesităţile pacientului în totalitatea lor. În cazul de faţă, motivaţia primordială a pacientului pentru tratament este una de natură estetică, acesta nefiind conştient de necesitatea unei terapii complementare care constă în amendarea disfuncţiei ocluzale, extracţia dinţilor irecuperabili şi înlocuirea lor printr-o punte cu sprijin pe implante, precum şi aplicarea prin metoda indirectă a altor restaurări ceramice. Colaborarea interdisciplinară strânsă dintre medicul clinician, medicul chirurg şi laboratorul de tehnică dentară este crucială pentru obţinerea unui rezultat terapeutic de succes.
În cazul prezentat încontinuare, s-a efectuat o evaluare sistematică a riscului ce a inclus o anamneză minuţioasă medicală şi stomatologică, cât şi un diagnostic detaliat al tuturor problemelor prezente. Aceste date au înlesnit o înţelegere a doleanţelor pacientului în acelaşi timp cu evaluarea necesităţilor terapeutice, putându-se elabora astfel un plan de tratament care să satisfacă nevoile estetice ale pacientului şi să diminueze riscul de apariţie a unei patologii dentare viitoare.
Prezentare de caz
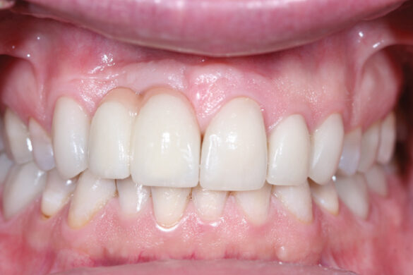
Pacientul, în vârstă de 43 ani, s-a prezentat la cabinetul dentar cu dorinţa de a trata doi dinţi frontali de culoare închisă şi cu anomalii de poziţie, care, după spusele pacientului, îi afectează calitatea vieţii şi îi submină încrederea în sine (fig. 1). Pacientul acuză durere în regiunea apicală a incisivilor lateral şi central din hemiarcada superioară dreaptă. De asemenea, raportează durere la masticaţie, atât pe partea dreaptă, cât şi pe cea stângă, precum şi ocazional la ingestia băuturilor şi alimentelor fierbinţi şi reci.
Antecedentele medicale şi stomatologice
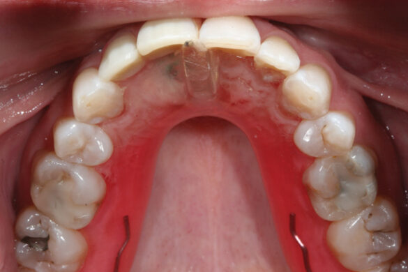
Antecedentele medicale nu relevă elemente importante de diagnostic. 1.2. şi 1.1. au fost trataţi endodontic, cu câţiva ani înainte, în urma unei leziuni produse prin accident sportiv. Pacientul relatează că terapia de canal a eşuat şi a fost necesară o intervenţie chirurgicală pentru tratarea unei infecţii. Acesta a primit profilaxie de rutină la intervale de 6 luni. La consultaţia iniţială, s-a observat că 1.2. este în linguoversie, iar 1.1. este coborât spre incizal comparativ cu 2.1. şi 2.2., precum şi faptul că prezintă o culoare mai închisă decât restul dentiţiei (fig. 2). Pacientul susţine că modificarea poziţiei dintelui a survenit pe parcursul anului trecut.
Date de diagnostic, evaluarea riscului şi pronostic
PARODONTAL. Examenul clinic relevă parodontită cronică incipientă, clasa a II-a după clasificarea Academiei Americane de Parodontologie, parodontometria indicând valori normale. Nu s-a decelat radiologic resorbţie osoasă mai mare de 2mm.
Risc: Scăzut
Pronostic: Bun
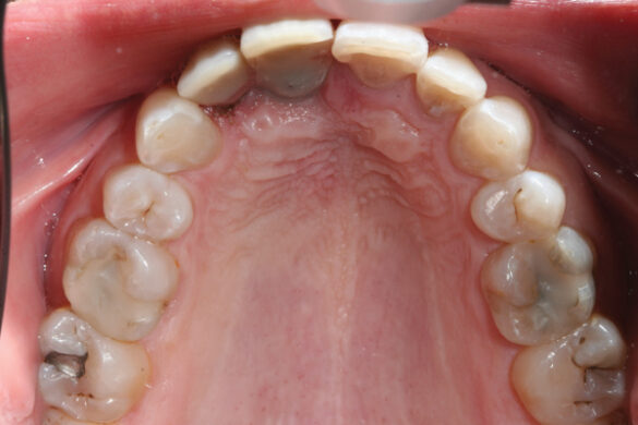
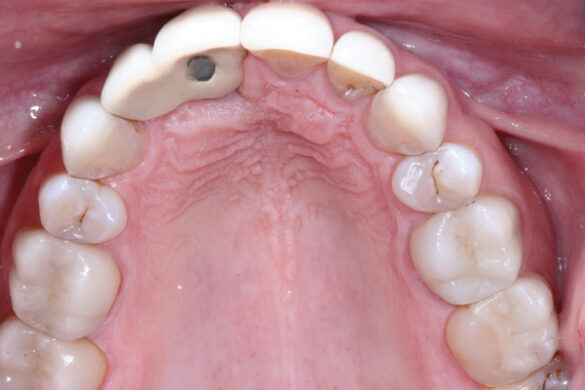
BIOMECANIC. Molarii 1.6. şi 2.6. prezintă procese carioase, iar la nivelul lui 1.6., 2.6., 4.6. şi 4.7. există obturaţii defectuoase. 1.6., 1.2., 1.1., 2.6., 3.7., 4.6. şi 4.7. sunt compromişi d.p.d.v. structural din cauza dimensiunilor mari ale obturaţiilor existente. La nivelul lui 1.2. şi 1.1. s-a evidenţiat radiologic patologie periapicală (fig. 3). În timp ce pacientul este preocupat de estetica zâmbetului său, acesta nu este conştient de faptul că riscul biomecanic crescut reprezintă cea mai mare piedică în calea obţinerii unui rezultat terapeutic de succes predictibil. Dacă se urmăreşte ca reabilitarea orală să aibă loc într-un mod predictibil, cu un pronostic pozitiv, atunci este necesar un tratament care să diminueze acest risc.
Risc: Mediu
Pronostic: Slab; 1.2. şi 1.1. sunt irecuperabili.
FUNCŢIONAL. Pacientul poate obţine cu uşurinţă o amplitudine a deschiderii gurii de 52mm, fără deviaţii ale mandibulei sau zgomote articulare. Testele de încărcare şi imobilizare articulară sunt normale, fără acuzarea durerii musculare sau articulare. Un proces moderat de atriţie, produs de forţe normale, se decelează la nivelul lui 1.6., 1.7., 2.6., 2.7. şi de la 3.3. la 4.3. În antecedente nu sunt raportate patologii neurologice sau bruxism nocturn. Pacientul relatează o oarecare dificultate la masticaţia unor alimente dure. Tiparele de abraziune consemnate şi dificultatea la masticaţie manifestată prin oboseală musculară sunt semne ale unei utilizări ineficiente a muşchilor masticatori. Aceste simtome indică probabil o disfuncţie ocluzală. După ce pacientul a purtat un deprogramator Kois pentru o perioadă de trei săptămâni, mandibula s-a deplasat spre posterior, confirmându-se astfel diagnosticul iniţial de disfuncţie ocluzală.
Risc: Moderat
Pronostic: Slab
DENTOFACIAL. Dinamica scăzută a buzei superioare diminuează riscul estetic (fig. 4); totuşi, nivelul marginilor incizale ale lui 1.2. şi 1.1. trebuie modificat şi va fi poziţionat la aproximativ 1-2mm apical pentru a fi aliniat cu dinţii frontali vecini (fig. 5); 2.3. prezintă asimetrie gingivală. Acest fapt nu este îngrijorător în cazul de faţă, datorită lipsei de vizibilitate în surâs a gingiei fixe, prin urmare pacientul a ales ca această asimetrie să nu fie corectată. Preocuparea principală a acestuia este reprezentată de culoarea şi poziţia dinţilor.
Risc: Moderat
Pronostic: Slab
Obiectivul terapeutic
Din punctul de vedere al pacientului, obiectivul terapeutic principal este reprezentat de îmbunătăţirea aspectului estetic prin modificarea culorii, nuanţei şi poziţiei dinţilor frontali maxilari, reobţinând zâmbetul avut înainte de leziunea produsă la accidentul sportiv. Problemele biomecanice vor fi amendate prin eradicarea infecţiilor periapicale localizate la nivelul lui 1.2. şi 1.1., înlocuirea obturaţiilor defectuoase şi tratatea proceselor carioase. În plus, instituirea unui program de dispensarizare este critică pentru succesul pe termen lung al tratamentului. Ultimul obiectiv de tratament îl reprezintă reducerea riscului funcţional prin corectarea disfuncţiei ocluzale.
Planul de tratament
Ca urmare a unei discuţii ample cu pacientul privind riscul şi pronosticul tuturor categoriilor menţionate mai sus, s-a decis tratarea disfuncţiei ocluzale şi extracţia dinţilor irecuperabili 1.2. şi 1.1., ce urmează a fi înlocuiţi printr-o restaurare protetică cu sprijin pe implante. Odată ce pacientul a realizat îmbunătăţirile estetice posibile, a aprobat aplicarea coroanelor ceramice la nivelul celorlalţi dinţi frontali superiori. Colaborarea interdisciplinară strânsă cu medicul chirurg şi laboratorul dentar a fost crucială pentru obţinerea unui rezultat de succes.
Etapele de tratament
Etapa I:
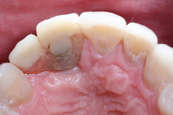
1.2. şi 1.1. au fost extraşi şi s-a utilizat o grefă de os corespunzător incisivului central pentru conservarea dimensiunii alveolei, necesară pentru inserarea unui implant în scop protetic. S-a inserat o proteză parţială mobilizabilă tranzitorie, pentru durata primei faze de tratament. În timpul intervenţiei chirurgicale, s-a detectat o fractură radiculară verticală la nivelul lui 1.1. Incisivul lateral a fost extras din cauza pronosticului slab determinat de procedurile endodontice multiple, infecţia apicală semnificativă şi prezenţa resorbţiei apicale. După o perioadă de vindecare de 3 luni, a fost inserat un implant corespunzător incisivului central şi s-a acordat o durată de 4 luni pentru osteointegrarea acestuia.
Pe durata procesului de osteointegrare, s-a confecţionat o a doua proteză mobilizabilă tranzitorie modificată astfel încât să fie utilizată drept deprogramator Kois (fig. 6, 7). După deprogramare, s-a efectuat o montare în vederea analizei funcţionale şi o echilibrare ocluzală în laborator. Informaţiile rezultate în urma analizei funcţionale au fost transferate în cavitatea orală şi s-a efectuat la nivelul întregii dentiţii o echilibrare ocluzală prin şlefuire selectivă cu scopul de a elimina disfuncţia ocluzală. Au fost stabilite la nivelul dinţilor posteriori contacte bilaterale, simultane şi de intensitate egală. Restaurarea caninilor superiori maxilari nu numai că a îmbunătăţit aspectul estetic al arcadei dentare, ci a creat şi contacte pe feţele palatinale ale caninilor.
Protocoalele recomandate de prevenţie a cariei dentare constau în utilizarea zilnică la domiciliu a soluţiilor pe bază de fluor, cu pH alcalin, precum şi în aplicarea în cabinet, în cadrul şedinţelor de control, a unui lac pe bază de fluor.
Etapa a II-a:
După evaluarea modelelor montate în laborator şi confecţionarea în scop diagnostic a unei simulări în ceară a restaurărilor protetice, a devenit evident faptul că aspectul estetic al dentiţiei ar fi maximizat dacă se restaurează toţi cei şase frontali superiori. 1.2. şi 1.1. ar urma să fie înlocuiţi printr-o punte cu sprijin pe implant şurub, iar ceilalţi dinţi frontali să fie acoperiţi cu coroane integral ceramice. S-a confecţionat o punte provizorie cu retenţie pe şurub (1.1. stâlp, 1.2. corp de punte) pentru a produce un locaş oval pentru corpul de punte, înainte de realizarea punţii finale (fig. 8-10). 1.3., 2.1., 2.2. şi 2.3. au fost preparaţi pentru restaurările protetice definitive. Coroanele ceramice au fost cimentate înainte ca puntea cu sprijin pe implant să fie finalizată.
După finalizarea tratamentului la nivelul regiunii frontale, molarii primi şi secunzi maxilari şi mandibulari au fost restauraţi prin restaurări indirecte. Toate acestea au fost cimentate după ce suprafaţa dintelui a fost tratată prin microabraziune cu oxid de aluminiu, cu particule de 27microni, la o presiune de 40 psi. Intradosul restauraţiilor a fost tratat cu soluţie 35% de acid fosforic timp de 1 minut, urmată de clătirea, uscarea şi aplicarea primer-ului silan timp de 1 minut, înainte de cimentarea restauraţiilor. Patru săptămâni mai târziu, s-a efectuat o reevaluare a aspectului estetic, a statusului gingival, precum şi mici retuşuri ale raporturilor de ocluzie (fig. 11-12).
Concluzii
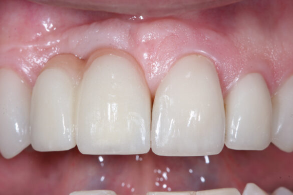
În cazul de faţă, preocuparea primordială manifestată de pacient era legată de aspectul estetic al zâmbetului său, nefiind însă conştient de necesitatea unui tratament adiţional. În cursul protocoalelor sistematice şi detaliate de diagnostic şi pronostic, pacientul a înţeles toate aspectele tratamentului necesar. Acest fapt a permis efectuarea unei terapii care a îmbunătăţit semnificativ atât sănătatea sa orală, cât şi longevitatea restauraţiilor protetice realizate, cu redarea zâmbetului dorit. (fig. 13, 14).














Referinţe bibliografice:
- Kois JC. New challenges in treatment planning—Part 2: Incorporating the fundamentals of patient risk assessment. Journal of Cosmetic Dentistry. 2011;27(1):110-123.
- Martin JA, Page RC, Loeb CF, Kaye EK. Reduction of tooth loss associated with periodontal treatment. Int J Periodontics Restorative Dent. 2011;31(5):471-479.
- Jayne D. A deprogrammer for occlusal analysis and simplified accurate case mounting. Journal of Cosmetic Dentistry. 2006;21(4):96-102.
- Dawson PE. Evaluation, Diagnosis, and Treatment of Occlusal Problems. 2nd ed. St Louis, MO: Mosby; 1989.
- Araújo M, Linder E, Wennström J, Lindhe J. The influence of Bio-Oss Collagen on healing of an extraction socket: an experimental study in the dog. Int J Periodontics Restorative Dent. 2008;28(2):123-135.
- Misch CE. Guidelines for maxillary incisal edge position – a pilot study: the key is the canine. J Prosthodont. 2008;17(2):130-134.
- Kutsch VK. Dental caries: a new look at an old disease. Inside Dentistry. 2009;5(5):60-65.
- Kois JC. Esthetic extraction site development: the biologic variables. Contemp Esthet Restorative Pract. 1998;2:10-17.

