Originally published in Compendium, an AEGIS Publications Property. All rights reserved.
Orthodontic and Prosthetic Treatment of a Patient with Cystic Fibrosis and Agenesis of Maxillary Lateral Incisors by Harold Slutsky, DMD; and Joseph R. Greenberg, DMD. Originally published in Compendium of Continuing Education in Dentistry 32(5), June 2011. Copyright © 2011 to AEGIS Communications. All rights reserved.
Despre autori:
Harold Slutsky, DMD
Clinical Associate Professor (Adjunct) of Orthodontics, The Kornberg School of Dentistry at Temple University, Philadelphia, Pennsylvania
Joseph R. Greenberg, DMD
Clinical Professor of Restorative Dentistry, The Kornberg School of Dentistry at Temple University, Philadelphia, Pennsylvania; Clinical Professor of Periodontics, The University of Pennsylvania School of Dental Medicine, Philadelphia, Pennsylvania
Cazul tinerei paciente cu anodonţie de incisivi laterali superiori, canini incluşi şi fibroză chistică prezintă, pentru medicul dentist, dificultăţi serioase de tratament. Articolul de faţă descrie o abordare interdisciplinară a cazului, ortodontico-protetică, ce a integrat cooperarea şi consimţământul pacientei şi ai părinţilor acesteia. În ciuda anumitor compromisuri, rezultatul obţinut este satisfăcător. Este subliniată utilitatea restaurărilor fixe conservative, dar estetice şi durabile. Lipsa congenitală a incisivilor laterali superiori, caninii incluşi şi fibroza chistică reprezintă entităţi clinice ce pot complica şi compromite semnificativ tratamentul stomatologic pentru oricare pacient tânăr. Toate aceste entităţi pot fi prezente simultan, aşa cum este descris în această prezentare de caz.
Fibroza chistică reprezintă o afecţiune autozomal recesivă a glandei exocrine, cu o prevalenţă egală la femei şi la bărbaţi1. Boala apare la caucazieni cu o incidenţă de aproximativ 1 la 3000, iar la afro-americani de 1 la 1700, fiind rar întâlnită la asiatici. În urmă cu 70 ani, majoritatea bolnavilor nu supravieţuiau, prunci fiind sau din fragedă copilărie. Astăzi, speranţa medie de viaţă depăşeşte 37 ani2-4. Modificările glandelor mucoase ale sistemelor pulmonar şi digestiv conduc la niveluri neobişnuit de mari ale sodiului în transpiraţie, la malabsorbţia vitaminelor grase solubile A, D, E şi K şi la formarea unui mucus vâscos, anormal4. Acest mucus provoacă o tuse neproductivă, infecţii acute respiratorii, bronhopneumonie, bronşiectazie şi abcese pulmonare.1 De asemenea, bolnavii cu fibroză chistică prezintă, în mod tipic, simptome digestive. Un procent estimat la 85-90% dintre bebeluşii bolnavi, dezvoltă insuficienţă pancreatică, cu semne tipice de scaun gras, flatulenţă, balonare abdominală şi inabilitatea de a lua în greutate.4 Tratamentul constă în suplimentarea nutritivă şi a enzimelor pancreatice, antibiotice, inhalaţii de aerosoli, steroizi şi chiar transplant pulmonar în stadiul terminal al bolii.5,6
Datele din literatura de specialitate referitoare la incluzia de canin superior indică o frecvenţă de două ori mai mare la femei decât la bărbaţi, o incidenţă de aproximativ 2% în rândul populaţiei şi o probabilitate de apariţie de două ori mai mare la maxilar faţă de mandibulă.7-10 Cu excepţia molarilor de minte, caninii superiori sunt dinţii incluşi cel mai frecvent întâlniţi.11, 12 Caninii incluşi pot determina resorbţie radiculară la nivelul incisivilor laterali sau pot leza rădăcinile dinţilor vecini. Există numeroase tehnici chirurgicale de expunere a dinţilor incluşi, fiecare cu avantaje şi indicaţii specifice. În vreme ce pentru incluziile vestibulare pot fi utilizate tehnici ce implică realizarea unor lambouri poziţionate apical sau erupţia închisă (expunerea unui dinte şi reacoperirea acestuia cu ţesut moale14), incluziile palatinale necesită lambouri închise sau erupţii deschise10. Conservarea gingiei fixe este critică în expunerile vestibulare pentru a asigura, pe termen lung, statusul de sănătate radiculară a caninului.
Pacientul tânăr cu anodonţie de incisiv lateral permanent superior reprezintă, de multe ori, un caz dificil pentru medicul ortodont şi protetician. Această afecţiune are transmitere autozomal dominantă şi apare la un procent de 2% din populaţie. Anomalia este de două ori mai frecventă la femei şi aproape două treimi din cei afectaţi prezintă lipsa congenitală a ambilor incisivi laterali. La jumătate dintre pacienţii care prezintă numai un incisiv lateral lipsă, dintele omolog este deficitar sau are formă de ţăruş15. Atunci când pacienţii doresc ca dintele să fie înlocuit sau când poziţia dinţilor existenţi nu este favorabilă planului de tratament ales, substituirea dintelui trebuie discutată preliminar începerii tratamentului ortodontic. În acest caz, dificultatea pe care o întâmpină medicul ortodont constă în manipularea poziţiei dinţilor pacientului şi a alveolei adiacente astfel încât să obţină cel mai bun suport pentru soluţia finală de tratament protetic. Medicul protetician se confruntă cu dificultatea de a rezolva necesităţile estetice şi funcţionale ale pacientului şi de a concepe o lucrare protetică cu o longevitate rezonabilă în concordanţă cu aşteptările pacientului. Restaurarea protetică ar trebui să contribuie la contenţia poziţiei finale a dinţilor şi să ofere stabilitate şi funcţie ocluzală terapeutică. Kinzer şi Kokich16 descriu trei opţiuni de înlocuire a incisivului lateral superior lipsă: substituirea canină, o restaurare protetică cu agregare dentară şi implante dentare singulare.
Sharma şi Vargevik precizează că la copiii cu anodonţia unui singur dinte permanent şi cu dinţi vecini definitivi, este mult mai important analiza dezvoltării scheletale decât a vârstei cronologice. Aceştia recomandă evitarea inserării implantului dentar până când două analize cefalografice anuale consecutive arată că nu există nici o schimbare în poziţia dinţilor vecini şi a alveolei. În acest caz, preocuparea dezvoltării dentoalveolare din vecinătatea spaţiului edentat primează. Odată cu procesul de creştere, alveola se dezvoltă în jos şi înainte în cadrul maxilarului, iar procesul alveolar mandibular creşte în înălţime. Dacă se inseră un implant înainte de desăvârşirea procesului de creştere dentoalveolară, acesta se va situa sub nivelul dinţilor vecini17.
Implantele inserate la nivelul maxilarelor în perioada de creştere, nu-şi modifică poziţia în timp şi nu îmbunătăţesc dezvoltarea alveolară verticală.18 Diferite studii arată că dezvoltarea alveolară este deficitară atunci când dinţii sunt absenţi congenital, restaurările pe implantele inserate în situsul incisivului lateral sunt dificil de realizat d.p.d.v. estetic, iar dezvolarea facială, erupţia continuă şi migrarea mezială a dinţilor vecini naturali reprezintă factori ce compromit rezultatul.19, 20 Zachrisson21 arată că la toate coroanele de acoperire realizate pe implante agregate în regiunea estetică se produce în timp o colorare a marginii gingivale vestibulare, infraocluzia progresivă a coroanei (chiar la adulţi) şi retracţia gingivală.
Teama, constrângerile financiare şi o serie de afecţiuni sistemice sunt factori ce complică planul de tratament. Atunci când mai mulţi factori îngreunează tratamentul, toate aspectele referitoare la aceştia trebuie să fie prezentate pacientului şi/sau părinţilor, înainte de iniţierea oricărei terapii.22 În ciuda popularităţii implantelor dentare, nu fiecare pacient este un candidat pentru acest tip de terapie. În cadrul discuţiei cu pacientul, medicii trebuie să prezinte comparativ alternative fiabile de tratament, cu complicaţiile şi compromisurile asociate.
Prezentare de caz
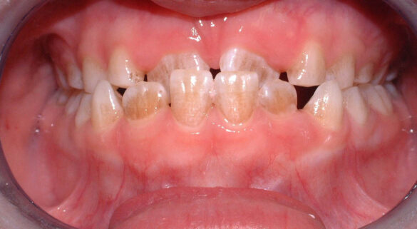
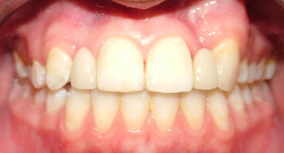
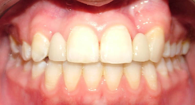
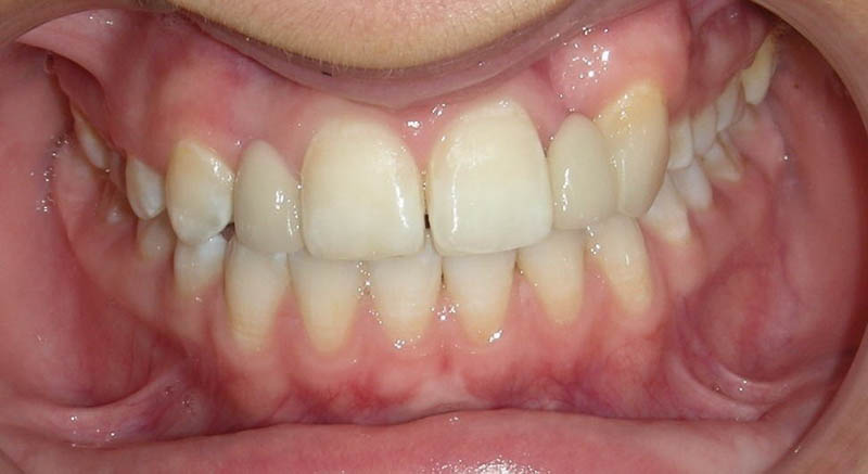
La momentul prezentării în clinică, în decembrie 2002, pacienta avea 8 ani şi o lună şi suferea de fibroză chistică şi de o deficienţă de dezvoltare a etajului mijlociu al feţei. Aceasta prezenta o anomalie de clasa I care mima o anomalie de clasa a III-a. Incisivii centrali, laterali şi caninii temporari maxilari, precum şi molarii prim şi secund de pe partea stângă erau în ocluzie inversă. În plus, pacienta prezenta coloraţii ale dinţilor de etiologie idiopatică (fig. 1). Autorii au considerat coloraţiile ca fiind de suprafaţă, extrinsece şi nu determinate de fibroza chistică, dovadă îndepărtarea acestora prin periaj profesional. Radiografia panoramică efectuată cu 6 luni înainte de prezentarea în clinica stomatologică relevă anodonţia incisivilor laterali superiori şi a premolarului secund drept inferior, ca şi posibila incluzie a caninilor maxilari, în special a celui stâng (fig. 2).
Faza I de tratament
Prima fază a tratamentului s-a adresat corectării ocluziei inverse frontale. Dacă pacientul cooperează, atunci o placă cu prelungiri ocluzale şi croşete ”în deget” (finger spring) reprezintă o alternativă foarte eficientă şi relativ ieftină de corectare a ocluziei inverse. Dacă varianta aparatului mobil nu generează corectarea angrenajului invers, atunci se pot aplica aparate fixe. Astfel, în cazul de faţă, faza I a terapiei, ortodontică, a constat într-o placă cu prelungiri ocluzale şi cu croşete ”în deget” care cuprind incisivii centrali superiori, în vederea corectării ocluziei inverse. Incisivii laterali temporari superiori au fost extraşi pentru a asigura erupţia incisivilor centrali maxilari permanenţi. Molarii primi superior şi inferior de pe partea dreaptă au erupt într-un raport invers posterior, aşa încât au fost purtate elastice cross mai multe luni pentru a-l corecta.
Pentru faza a II-a a tratamentului au fost valabile mai multe opţiuni terapeutice. Pacienta şi părinţii acesteia erau interesaţi de soluţia de înlocuire a dintelui lipsă care să fie, cea mai estetică, neinvazivă şi care, de asemenea, să aibă o “longevitate rezonabilă” (în această ordine). “Longevitate rezonabilă” însemnând pentru aceştia o perioadă de 8-10 ani.
Opţiunile terapeutice includ în mod clasic substituirea canină (deplasarea caninilor maxilari în locul incisivilor laterali), implante dentare aplicare în situsul incisivilor laterali, punţi Maryland sau punţi metalo-ceramice agregate adeziv. Substituirea canină a fost respinsă întrucât ar reduce din amploarea surâsului şi ar prelungi semnificativ durata tratamentului: pentru a mezializa toţi dinţii laterali superiori atunci când erup, este nevoie de un timp mai îndelungat, amplificându-se riscul de apariţie a resorţiei radiculare iatrogene. Un alt motiv pentru care a fost eliminată această opţiune a fost reprezentat de faptul că ar compromite aspectul fizionomic al caninilor, întrucât poziţionaţi în locul incisivilor laterali nu asigură un echilibru fizionomic. Inserarea de implante dentare a fost respinsă datorită vârstei fragede a pacientei, a intervenţiilor chirurgicale multiple (cum ar fi augmentarea ţesuturilor moi şi dure ale crestei alveolare), a potenţării stresului biologic şi mental, precum şi a măririi duratei totale de tratament.
Dintre diferitele opţiuni conservative de restaurare dentară, protezele metalo-ceramice colate au fost considerate cea mai bună opţiune, din următoarele motive:
- sunt superioare d.p.d.v. estetic: nu există umbre metalice după inserţie;
- aboordare conservativă: este necesară o preparară minimă a dinţilor sau chiar deloc;
- materialele componente s-au dovedit în timp a fi corespunzătoare: metale preţioase, tehnologia arderii ceramicii pe metal;
- fixare eficientă: ceramică gravată şi hibridizarea smalţului;
- longevitate demonstrată: 8 până la 16 ani24.
Faza a II-a de tratament
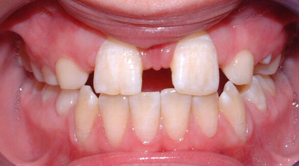
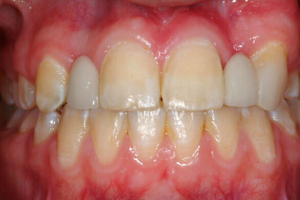
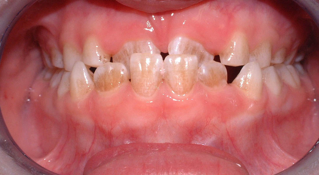
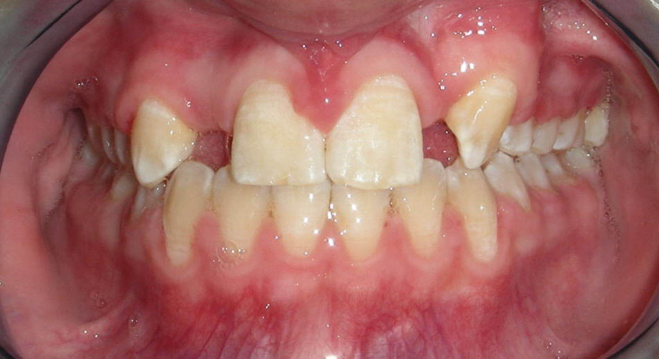
A doua etapă a tratamentului a fost amânată până în aprilie 2006, când pacienta a împlinit vârsta de 11 ani şi 5 luni. În acel moment, fetiţa prezenta erupţie şi dezvoltare radiculară adecvată, astfel că aparatele fixe aplicate acum n-ar fi purtate o perioadă îndelungată. Ocluzia inversă frontală şi angrenajul invers lateral fuseseră corectate; totuşi, exista o diastemă mare, în principal cauzată de lipsa incisivilor laterali superiori (fig.3). În acest moment, radiografia panoramică relevă anodonţia incisivilor laterali maxilari şi a premolarului secund drept mandibular, o anatomie redusă a rădăcinilor incisivilor centrali superiori, incluzia caninului superior stâng şi dezvoltarea întârziată a rădăcinii celui de-al doilea premolar inferior (fig. 4).
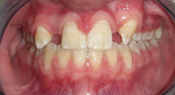
Faza a II-a a debutat cu un aparat fix ortodontic 2×2, aplicat la nivelul primilor molari şi al incisivilor centrali maxilari, în vederea derotării primului molar drept. Ulterior, s-au aplicat aparate fixe pe întreaga arcadă, cu scopul de a controla erupţia dentară. Caninul stâng superior a fost descoperit chirurgical într-o fază timpurie de tratament şi a durat aproximativ 18 luni pentru a putea fi aliniat pe arcadă (fig. 5). Pacienta a purtat elastice de clasa a doua pe partea stângă pentru a tracţiona caninul în poziţie; cu toate acestea, acest dinte nu a ajuns niciodată în raportul de clasa I, neutral, dorit.
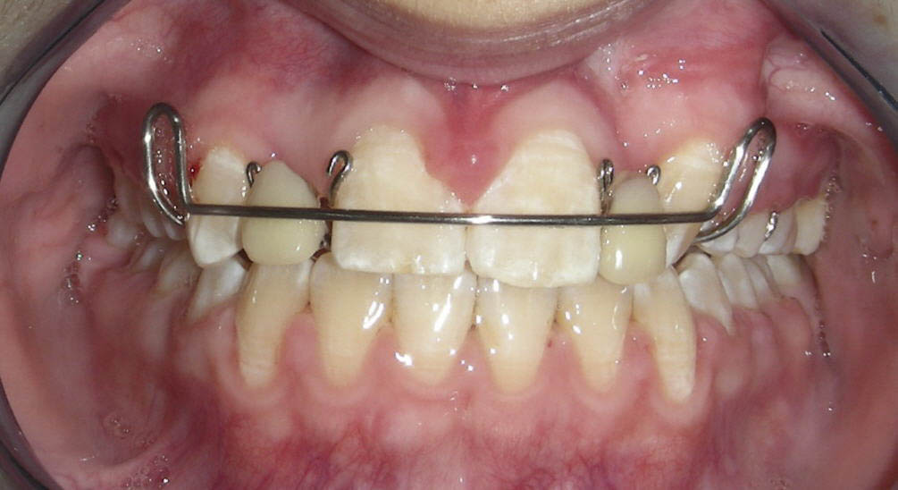
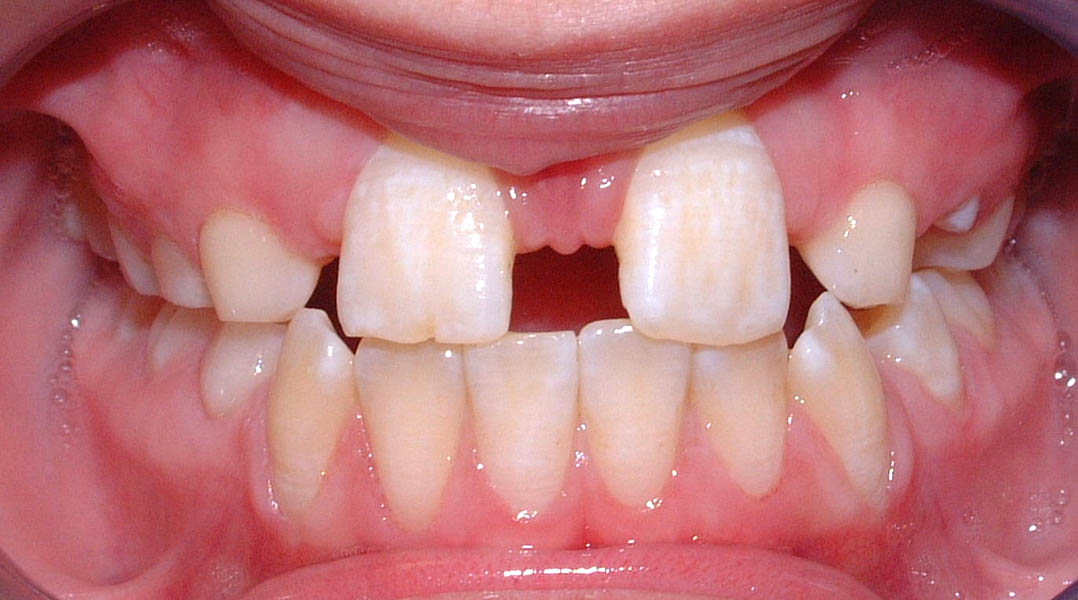
În aprilie 2009, după 37 luni de tratament, au fost îndepărtate aparatele fixe (fig. 6). Pentru contenţie, s-a aplicat un retainer fix colat pe faţa linguală a celor şase dinţi frontali inferiori şi o placă palatinală Hawley care încorporează dinţi acrilici în dreptul incisivilor laterali pentru a menţine un aspect estetic până când medicul protetician va putea realiza punţile dentare. În plus, s-a utilizat un arc vestibular care să consolideze contenţia şi care să permită aplicarea unor forţe uşoare, cu direcţie linguală, dacă este necesar.25 Croşetele ”în deget” sunt situate distal de incisivii centrali maxilari şi mezial de caninii superiori, pentru a permite o deplasare discretă mezio-distală a dinţilor, dacă este necesar (fig. 7).Înainte de îndepărtarea aparatului, a fost consultat medicul protetician. S-a pus problema dacă pacienta ar avea dificultatea de a purta pe termen lung un aparat mobil de contenţie, din cauza dificultăţilor de respiraţie şi a tusei, asociate cu fibroza chistică. În plus, din cauza anodonţiei de incisivi laterali superiori, osul alveolar este dezvoltat insuficient şi prezintă, astfel, dimensiuni prea reduse pentru inserarea implantelor dentare; procedura de augmentare a ţesuturilor moi şi dure ale crestei alveolare ar fi inevitabilă. Vârsta pacientei şi creşterea şi dezvoltarea corespunzătoare au fost, de asemenea, luate în considerare.19 Ortopantomograma finală relevă anodonţia molarilor de minte inferiori şi a celui superior drept pe lângă anodonţia incisivilor laterali maxilari şi a premolarului secund drept inferior. De asemenea, se remarcă aplatizarea rădăcinilor incisivilor centrali maxilari, care era prezentă şi pe radiografia efectuată înainte de tratament (fig.8).
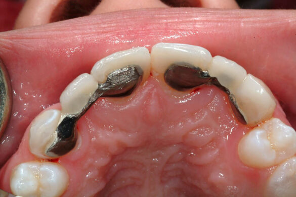
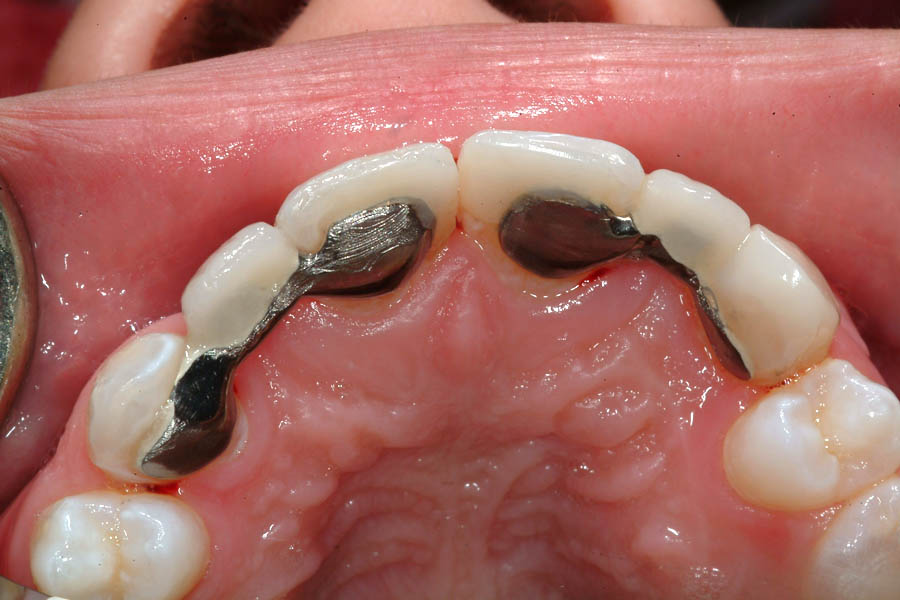
Punţile metalo-ceramice cu agregare adezivă, au fost alese pentru restaurările protetice finale. Acest tip de restaurare are următoarele caracteristici: utilizarea metalelor preţioase, utilizarea tehnologiei de ardere a ceramicii pe suport metalic şi adeziunea ceramicii gravate la suprafeţele dentare.26 Puntea metalo-ceramică cu agregare adezivă reprezintă o modificare a punţii Maryland24 şi necesită o preparare minimă, conservativă a dintelui, care nu depăseşte grosimea smalţului. Spre deosebire de puntea Maryland, nu au fost semnalate umbrele întunecate incizale şi nici descimentările frecvente.23 Rezistenţa punţii este dată de un schelet turnat din metal preţios. Întrucât ar fi de dorit să existe un spaţiu interincizal pentru scheletul metalic, medicul ortodont a urmărit obţinerea unui spaţiu de 1mm între feţele palatinale ale incisivilor centrali superiori şi marginile incizale vestibulare ale incisivilor centrali inferiori (fig. 9). Suprafeţele aripioarelor punţii, corespunzătoare dinţilor stâlpi, sunt formate din ceramică arsă pe scheletul metalic subiacent, care aderă adeziv la smalţul palatinal al dinţilor stâlpi. Procesul de cimentare a inclus: gravarea acidă şi aplicarea unui primer de smalţ/dentină pe suprafeţele dentare, gravarea cu acid fluorhidric, curăţarea şi aplicarea silanului la nivelul feţelor palatinale ale ambelor punţi şi cimentarea cu un sistem autopolimerizabil total (fig. 11). Pacienta era preocupată de “vizibilitatea metalului strălucitor” din spatele dinţilor frontali în surâs. Din această cauză, toate suprafeţele metalice au fost sablate înainte de cimentare.
Medicul protetician a dorit ca, la sfârşitul tratamentului ortodontic, linia interincisivă superioară să coincidă cu mediana feţei, care era deviată spre dreapta cu 1mm faţă de linia interincisivă inferioară.27 Planul de tratament include, de asemenea, remodelarea cu compozite la nivelul caninului stâng prin metoda directă, ameloplastie realizată cu scopul de a crea o asemănare acceptabilă între cei doi dinţi vecini. Pacienta a urmat, sub supravegherea medicului dentist, procedura de albire a dinţilor naturali la domiciliu, utilizând gutiere individualizate28 pe durata nopţii, timp de 3 săptămâni. S-a folosit un gel de peroxid de carmabidă în concentraţie de 16%, aplicat în gutiere individualizate vacuum-formate. Procedura de albire a fost iniţiată după aplicarea finală a punţilor, astfel că pacienta va avea un etalon al culorii în vederea efectuării unor albiri viitoare. Pentru aceasta a fost necesar să se estimeze o nuanţă finală a corpurilor de punte înainte de efectuarea albirii dentare (fig. 12).
Când pacienta s-a prezentat la control câteva săptămâni mai târziu, s-a observat apariţia unei diasteme de 0,5mm (fig. 13, 14). Medicul protetician a reechilibrat feţele palatinale ale restaurărilor şi ale dinţilor stâlpi, iar medicul ortodont a aplicat o placă Hawley de contenţie, ce prezintă un arc vestibular în contact cu feţele vestibulare ale tuturor dinţilor. S-a îndepărtat din acrilat în dreptul feţelor linguale ale incisivilor centrali, iar arcul a fost activat la nivelul incisivilor centrali astfel încât să exercite asupra acestora forţe uşoare direcţionate în sens lingual (fig. 15). Diastema a putut fi închisă cu ajutorul plăcii Hawley, iar ulterior medicul protetician a aplicat, printr-o metodă conservatoare, un retainer fix, colat intracoronal între porţiunile meziale vecine ale feţelor palatinale ale incisivilor centrali superiori. A fost fixat un ştift de aur cu ajutorul unei răşini compozite, menţinând placa Hawley în cavitatea orală, pentru a nu-i compromite stabilitatea. Ulterior, toate contactele de la nivelul incisivilor centrali, înregistrate în poziţii centrice şi în mişcări de lateralitate şi de propulsie, au diminuate până au devenit slabe. Pacienta şi-a exprimat dorinţa ca ambrazura incizală să fie mai redusă, aşa încât aceasta a fost închisă parţial cu ajutorul suprafeţei vestibulare a retainerului fix (fig. 16, 17). Pacienta şi părinţii au fost mulţumiti de rezultatul final obţinut.
Concluzii
Fiecare pacient prezintă nevoi şi doleanţe particulare. De curînd, cercetătorii au confirmat că aşteptările pacientului sunt primordiale atunci când se stabileşte un plan de tratament dentar estetic.29 Flores-Mir şi colab. susţin că pentru pacient cel mai important este aspectul surâsului. Autorii articolului de faţă au prezentat un tratament interdisciplinar în cazul unei fetiţe cu afecţiuni generale deosebite şi cu anomalii dentare genetice. Tratamentul a fost efectuat cât mai conservativ şi neinvaziv posibil, obţinându-se totuşi obiectivele urmărite. De-a lungul tratamentului, pacienta şi părinţii acesteia au fost informaţi despre diferitele compromisuri care s-au realizat. Aceştia au fost implicaţi activ în luarea deciziilor şi au fost mulţumiţi de rezultat.Autorii consideră că puntea metalo-ceramică colată reprezintă o restaurare fiabilă, cu o longevitate de aproximativ 10 ani. Aceasta poate constitui o opţine terapeutică utilă şi estetică în cazul anodonţiilor sau în alte situaţii clinice cu lipsa incisivilor.
















Referinţe bibliografice:
- Burden D, Mullally B, Sandler J. Orthodontic treatment of patients with medical disorders. Eur J Orthod. 2001;23(4):363-372.
- Gershman AJ, Mehta AC, Infeld M, et al. Cystic fibrosis in adults: an overview for the internist. Cleve Clin J Med. 2006;73(12):1065-1074.
- Couzin-Frankel J. Genetics. The promise of a cure: 20 years and counting. Science. 2009;324(5934):1504-1507.
- O’Sullivan BP, Freedman SD. Cystic fibrosis. Lancet. 2009;373(9678):1891-1904.
- Hamer L, Parker HW. Treatment of cystic fibrosis in adults. Am Fam Physician. 1996;54(4):1291-1297.
- Wagener JS, Headley AA. Cystic fibrosis: current trends in respiratory care. Respir Care. 2003;48(3):234-247.
- Proffit WR, Fields HW, Sarver DM. Contemporary Orthodontics. 4th ed. St. Louis, MO: Mosby; 2006:234-267.
- Yavuz MS, Aras MH, Büyükkurt MC, et al. Impacted mandibular canines. J Contemp Dent Pract. 2007;8(7):78-85.
- Cooke J, Wang HL. Canine impactions: incidence and management. Int J Periodontics Restorative Dent. 2006;26(5):483-491.
- Bedoya MM, Park JH. A review of the diagnosis and management of impacted maxillary canines. J Am Dent Assoc. 2009;140(12):1485-1493.
- Ngan P, Hornbook R, Weaver B. Early timely management of ectopically erupting maxillary canines. Semin Orthod. 2005;11(3):152-163.
- Bishara SE. Impacted maxillary canines: a review. Am J Orthod Dentofacial Orthop. 1992;101(2):159-171.
- Mitchell L, ed. An Introduction to Orthodontics. 3rd ed. New York, NY: Oxford University Press; 2007:147-156.
- Burden D, Mullally B, Robinson S. Palatally ectopic canines: closed eruption versus open eruption. Am J Orthod Dentofacial Orthop. 1999;115(6):640-644.
- Polder BJ, Van’t Hof MA, Van der Linden FP, et al. A meta-analysis of the prevalence of dental agenesis of permanent teeth. Community Dent Oral Epidemiol. 2004;32(3):217-226.
- Kokich VO Jr, Kinzer GA. Managing congenitally missing lateral incisors. Part 1: canine substitution. J Esthet Restor Dent. 2005;17(1):5-10.
- Sharma A, Vargevik K. Using implants for the growing child. J Calif Dent Assoc. 2006;34(9):719-724.
- Odman J, Gröndahl K, Lekholm U, Thilander B. The effect of osseointegrated implants on dentoalveolar development: A clinical and radiographic study in growing pigs. Eur. J. Orthod 1991;13(4):279-286.
- Kokich V. Maxillary lateral incisor implants: the orthodontic perspective. Advanced Esthetics and Interdisciplinary Dentistry. 2006;2(2):2-7.
- Heij DG, Opdebeeck H, van Steenberghe D, et al. Facial development, continuous tooth eruption, and mesial drift as compromising factors for implant placement. Int J Oral Maxillofac Implants. 2006;21(6):867-878.
- Zachrisson BU. Single tooth implant-supported crowns in the anterior maxilla: potential esthetic long-term (> 5 years) problems. World J Orthod. 2006;7(3):306-312.
- Goldstein RE. Attitudes and problems faced by both patients and dentists in esthetic dentistry today: an AAED membership survey. J Esthet Restor Dent. 2007;19(3):164-170.
- Greenberg J. The etched porcelain-fused-to-metal resin-bonded prosthesis: an eight year retrospective. Dent Dialogue. 2003;3:388-398.
- Livaditis GJ, Thompson VP. Etched castings: an improved retentive mechanism fort resin-bonded retainers. J Prosthet Dent. 1982;47(1):52-58.
- Proffit RW, Fields HW, Sarver DM. Contemporary Orthodontics. 4th ed. St. Louis, MO: Mosby; 2006:623-626.
- Greenberg JR, Kelly JT Jr, Yoshida A. Etched porcelain-fused-to-metal resin-bonded prosthesis. J Esthet Dent. 1996;8(6):273-278.
- Greenberg JR, Ho PP. Communicating facial plane information to the dental laboratory: introducing the Facial Plane Relator device. J Prosthet Dent. 2001;86(2):173-176.
- Haywood VB. Current status of nightguard vital bleaching. Compend Contin Educ Dent. 2000;28(suppl):S10-S17.
- Patthoff D, Ozar D. Need vs desire: professional judgment in esthetics. AGD Impact. 2007:32-35.
- Flores-Mir C, Silva E, Barriga MI, et al. Lay person’s perception of smile aesthetics in dental and facial views. J Orthod. 2004;31(3):204-209.

