Originally published in Compendium, an AEGIS Publications Property. All rights reserved.
New High-Translucent Cubic-Phase–Containing Zirconia: Clinical and Laboratory Considerations and the Effect of Air Abrasion on Strength by Edward A. McLaren, DDS, MDC; Nathaniel Lawson, DMD, PhD; James Choi; Juan Kang; and Carlos Trujillo, DDS. Originally published in Compendium of Continuing Education in Dentistry 38(6) June 2017. © 2019 AEGIS Publications, LLC. All rights reserved. Reprinted with permission of the publishers.
Despre autori:
Edward A. McLaren, DDS, MDC
Professor, Founder and Director, UCLA Postgraduate Esthetics; Director UCLA Center for Esthetic Dentistry; Founder and Director, UCLA Master Dental Ceramist Program, UCLA School of Dentistry, Los Angeles, California; Private practice limited to prosthodontics and esthetic dentistry, Los Angeles, California
Nathaniel Lawson, DMD, PhD
Assistant Professor, Director, Division of Biomaterials, Dept. of Clinical and Community Sciences, UAB School of Dentistry, Birmingham, Alabama
James Choi
Co-Director, UCLA Master Dental Ceramist Program, Director Esthetic Dentistry Laboratory, UCLA School of Dentistry, Los Angeles, California
Juan Kang
Master Ceramist, Assistant Director of Esthetic Dentistry Laboratory, UCLA School of Dentistry, Los Angeles, California
Carlos Trujillo, DDS
Senior Fellow, UCLA Advanced Esthetics and Restorative Dentistry, UCLA School of Dentistry, Los Angeles, California
Fabricarea restaurărilor integral ceramice cu aplicarea minimă sau deloc a unei faze secundare, dar cu menținerea esteticii este un obiectiv foarte râvnit al profesiei dentare. Scopul a constat în dezvoltarea unui material monolitic cu proprietăți optice similare cu cele ale dintelui natural, fără necesitatea stratificării porțelanului.
Acest articol examinează unele dintre zirconiile cubice mai noi utilizate într-o formă monolitică. Autorii dezbat problemele de procesare în laborator ce afectează estetica, inclusiv evaluarea pigmentării, sinterizării, finisării și lustruirii și evaluează testarea translucenței inițiale a unor materiale, în timp ce determină și efectul abraziunii cu aer asupra rezistenței la flexiune a acestor zirconii cubice.
În ultimul rând și, probabil, cel mai important, acest articol demonstrează un caz monolitic anterior unidentar cu o serie de materialele mai noi și îl contrastează cu ceea ce este considerată o estetică monolitică standard, disilicatul de litiu.
Datorită cerințelor amplificate ale pacienților pentru estetică și costurilor ridicate ale aurului din ultimii ani, pe piața stomatologică a crescut numărul sistemelor integral ceramice. Ceramicele pe bază de zirconia au devenit una dintre primele alternative pentru restaurările metalo-ceramice.
Zirconia este un material metastabil care poate exista în diferite faze cristaline, dintre care în stomatologie se utilizează trei tipuri: tetragonal, monoclinic și cubic.1 Prima versiune a zirconiei implicată în stomatologie, acum în uz de peste 10 ani, este o formă ce conține fază cristalină tetragonală de înaltă rezistență.2 La temperatura camerei, zirconia există în cea mai slabă formă cristalină monoclinică3; totuși i se adaugă cantități mici de oxizi sau dopanți pentru a stabiliza forma cristalină tetragonală.4
Principala versiune comercială este stabilizată cu yttria 3 mol% și se numește policristal de zirconia tetragonală stabilizată cu yttria (3Y-TZP).3 Original se adaugă și alumină în proporție de 0,5% pentru că ajută la stabilizarea chimică a zirconiei, minimizând potențialul degradării la umiditate în condiții de temperatură redusă ce poate surveni în mediul oral.3,5 Cele mai multe branduri de zirconia cu înaltă rezistență sunt consolidate cu alumină 0,25%.
Zirconia originală cu rezistență înaltă, deși avea proprietăți fizice excelente și o nuanță albă, este opacă și necesită stratificarea cu porțelan în aceeași manieră ca o restaurare metalo-ceramică pentru a obține o estetică rezonabilă.2 Zirconia tetragonală are un indice de refracție relativ crescut. Adăugarea de alumină, cu un indice de refracție diferit față de cel al zirconiei, determină ca traversarea luminii prin zirconia dopată cu alumină să fie dispersată sau absorbită la limitele granulelor, suficient cât să o facă opacă chiar și la grosimea de 1mm.2,6 Densitatea de procesare (adică buzunarele cu aer), dimensiunea particulelor și distribuția particulelor joacă la rândul lor un rol în opacitatea zirconiei tetragonale.2
Obiectivul evaziv al stomatologiei privind utilizarea integral ceramicelor constă în fabricarea restaurărilor cu aplicarea minimă sau deloc a unei faze secundare, dar cu menținerea esteticii. Cu alte cuvinte, scopul este de a dezvolta un material monolitic cu proprietăți optime, care să redea îndeaproape dintele natural și să se poată utiliza fără stratificarea porțelanului.
Ceramicele sticloase de înaltă rezistență, cum ar fi disilicatul de litiu, au fost dezvoltate într-o formă monolitică cu proprietăți optice foarte bune, fiind utilizate cu succes în acest scop.7
Într-o încercare inițială de a produce o versiune mai transparentă a zirconiei, dezvoltatorii au redus conținutul de alumină de la 0,25% la sub 0,05% și au îmbunătățit tehnicile de procesare pentru a controla dimensiunea granulelor de zirconia, și densitatea procesării pentru a minimiza refracția luminii și pentru a crește translucența.2 Producătorii cred acum că alumina nu era necesară pentru zirconia dentară în scopul de a preveni degradarea la temperaturi reduse (transformarea de fază), întrucât zirconia dentară nu este supusă stresurilor fizice și chimice constante așa cum se întâmplă la un implant de articulație. Este posibil că alumina s-a adăugat mai degrabă din precauție, deși autorii nu au găsit niciun studiu suportiv.
Aceste materiale, deși oferă o ușoară creștere a translucenței în comparație cu zirconia originală, le lipsește încă optica necesară pentru a putea fi utilizate în zona anterioară, dar să beneficieze de o microstratificare minimă cu porțelan (fig. 1, 2). Reducerea aluminei și îmbunătățirea tehnicii de procesare au efect minim asupra proprietăților mecanice ale materialului.3
Cea de-a treia și cea mai recentă strategie de amplificare a translucenței zirconiei este de a o stabiliza cu faza cristalină cubică semnificativă intercalată cu faza tetragonală. Creșterea conținutului de yttria la peste 8 mol% va stabiliza faza cubică.2 Pe piață au apărut recent mai multe versiuni de zirconia cu “înaltă translucență” sau “cu conținut cubic”, fabricate cu aproximativ 8-10 mol% de yttria. Cantitatea exactă a fazei cubice în aceste tipuri de materiale, deși brevetate, variază între 10-15%, conform producătorilor. Faza cubică a zirconiei este izotropică în diferite direcții cristalografice, ceea ce diminuează dispersarea luminii ce survine la limita granulelor.2,8,9 Drept rezultat, zirconia cubică apare mai translucentă.2,8,9
Transparența zirconiei cubice policristaline dentare nu ar trebui confundată cu transparența completă a zirconiei cubice utilizată la bijuterii, care este o structură monocristalină (adică fără limite de granulație). Zirconia cubică stabilizată nu se transformă la temperatura camerei; de aceea zirconia cubică nu va fi supusă durificării de transformare sau degradării la temperaturi reduse. Cu alte cuvinte, este mai susceptibilă la distrugere mecanică,2,10 deși nu se va degrada în timp.
În general, toate materialele de pe piață afișează o rezistență la flexiune cu aproximativ 40% mai mică decât rezistența versiunii integral tetragonale. Cei mai mulți producători raportează că materialele lor au o rezistență la flexiune ce variază între 600-750 MPa și susțin că dețin atât translucența cât și rezistența necesară pentru a fi utilizate ca restaurări unidentare oriunde în cavitatea orală.11
CONSIDERENTE DE LABORATOR CE AFECTEAZĂ ESTETICA
În cadrul unei căutări extinse a literaturii și în social media, autorii nu au găsit nicio informație publicată sau recomandare (alta decât cea a producătorului) cu privire la “pre-finisarea” (fie prin texturare, fie prin pigmentare) acestor noi materiale de zirconia cubică pentru aplicațiile monolitice. Autorii au considerat foarte importantă testarea în laborator a tehnicilor de colorare și texturare atât în fazele de presinterizare cât și în cele de postsinterizare, pentru a reuși să facă recomandări inițiale pentru cel mai bun mod de manevrare a acestui material.
Zirconia cubică în faza verde, sau nesinterizată, se „tocește” similar cu șlefuirea pe un bloc de cretă dură. Când se șlefuiesc aceste materiale noi, seznația se simte similar cu materialele zirconia originale de înaltă rezistență, deși par a fi mai fragile și se ciobesc mai ușor la margine în cursul finisării; de aceea, în asemenea regiuni se impune atenție sporită.
Texturarea suprafeței zirconiei cubice cu diferite granulații de carburi sau diamante de laborator au oferit rezultate diferite (fig. 3). În mâna și experiența autorilor, utilizarea diamantelor fine într-o piesă de mână electrică la rotații de aproximativ 10.000-12.000 RPM a generat textura cu aspectul cel mai natural (fig. 4). După utilizarea diamantelor, autorii au testat două gume impregnate diferit – un cauciuc gri și unul roz – cel din urmă utilizat la aproximativ 8.000 RPM oferind cel mai natural luciu, după estimarea autorilor (fig. 5, 6).
Autorii au încercat totodată să integreze textura în zirconia cubică postsinterizată și apoi să o relustruiască. Ei au constatat că fie era imposibilă menținerea texturii de suprafață cu aspectul natural, fie suprafața se microasperiza după lustruire, ceea ce putea crea o problemă suplimentară de abraziune la nivelul dintelui antagonist.14 De aceea, autorii recomandă efectuarea tuturor texturilor de suprafață și prelustruire în restaurare înainte de sinterizare, indiferent de brandul sau tipul zirconiei utilizate.
O serie de pigmenți ai unora dintre producători pentru colorarea și/sau oferirea nuanței de bază a zirconiei cubice s-a dovedit a fi destul de redusă în saturație în cursul aplicării. De aceea, a fost dificil pentru autori să știe dacă s-a atins obiectivul lor atunci când aplicau un înveliș uniform sau un model specific (fig. 7,8).
Dacă un clinician preferă un pigment dintr-un sistem specific, este posibilă utilizarea sa cu zirconia unei alte companii, cu raporturi similare între faza cubică/tetragonală.
O opțiune pentru o mai bună vizualizare a aplicării pigmenților sau coloranților pe care au testat-o autorii a constat în adăugarea de coloranți alimentari (fig. 9, 10) la pigmenți pentru a intensifica culoarea vizibilă și pentru a vedea clar cantitatea aplicată. Coloranții alimentari au fost adăugați doar ca un mediu de contrast pentru a vizualiza mai bine pigmentul color al zirconiei în sine care a fost aplicat. De vreme ce colorantul alimentar nu a conținut nicio formă de zahăr, s-a ars în mod invizibil.
Este important de menționat că producătorii nu fac nicio recomandare în ceea ce privește această tehnică. Aceștia oferă doar instrucțiuni specifice pentru modul în care se aplică coloranții lor; adăugarea de coloranți alimentari la pigmenții cromatici slabi vizual permite aplicatorului să vadă dacă acest colorant a fost aplicat în modul dorit. Această suplimentare cu pigmenți alimentari nu a cauzat nicio problemă negativă de postsinterizare.
Cea mai importantă îngrijorare de laborator a fost sensibilitatea la temperatura de ardere; o modificare de 30°C fie în plus, fie în minus a cauzat diferențe evidente în translucența perceptibilă a coroanei molare cu contur total (fig. 12-14). Astfel, un cuptor de înaltă calitate care deține parametri de ardere uniformi în întreaga cameră de ardere este o condiție primordială pentru controlul succesului estetic, pentru că el este legat de obținerea translucenței dorite.
Alegerea cuptorului este un considerent major, probabil mai critic decât materialul specific cu zirconia cubică în această fază timpurie de dezvoltare. Calitatea cuptorului și arderea corectă sunt aspecte esențiale ale procesului și nu trebuie neglijate. Odată ce materialul este sinterizat, colorarea în cabinet nu va afecta rezultatul translucenței coroanei decât prin blocarea sa cu pigmenți dinspre suprafață. Arderea pigmenților de suprafață nu va altera structura fizic sau optic, spre deosebire de sticle.
Efectul culorii preparației asupra culorii finale percepute a fost evaluată vizual prin fabricarea unei coroane molare singulare care avea grosimea de 1,2mm și a fost colorată cât mai apropiat posibil pentru a se potrivi cu nuanța A2 a culorii Vita clasice. Coroana s-a plasat pe cinci bonturi din rășină compozită cu nuanțele de la 1M1 la 5M3 bazate pe sistemul de nuanțe Vita clasic (fig. 15). O diferență semnificativă se poate vedea în treimea gingivală a restaurării, care se datorează penetrării culorii preparației. Aceasta va trebui considerată în procesul de potrivire a nuanței.
O ultimă observație importantă a autorilor în ceea ce privește obținerea esteticii ideale se leagă de glazurare și lustruire. În decizia lor, glazurarea în sine nu a condus la o suprafață naturală, așa cum s-ar putea face cu porțelanul normal (jumătatea dintelui). Mai degrabă lustruirea mecanică și apoi utilizarea pastei diamantate pentru lustruit a părut să confere o finisare mai realistă suprafeței (fig. 16, jumătatea stângă a dintelui). Condiții de vizualizare au fost asigurate într-o carcasă de lampă cu iluminare uniformă setată la 5500 grade Kelvin.
TRANSLUCENȚA ȘI EFECTELE TESTĂRII ABRAZIUNII CU AER
Testarea translucenței
Specimenele fabricate de producător au fost testate în privința translucenței. Principalele cerințe erau ca specimenele să aibă grosimea de 1mm și diametrul de cel puțin 10mm, sau pătrate. Autorii au fotografiat specimenele cu un fundal alb și o linie neagră pentru a evalua vizual translucența (fig. 17). Inspecția vizuală a obiectivat că specimenele de zirconia cubică A2 aveau translucență similară, însă fiecare prezenta un aspect diferit.
Testarea rezistenței flexurale
Este bine stabilit în literatură că pentru creșterea adeziunii zirconiei, este necesară abraziunea cu aer și oxid de aluminiu.12 Rapoartele publicate nu au demonstrat niciun efect negativ sau de slăbire a zirconiei cu înaltă rezistență după abraziunea cu aer și chiar au demonstrat o creștere a rezistenței la unele materiale, probabil datorită transformării în cristale monoclinice.13
Cunoscută sub denumirea de solidificare de transformare, zirconia tetragonală se transformă în cristale de formă monoclinică, care sunt cu 3-5% mai mari. Aceasta conferă abilitatea de a comprima creșterea fisurilor prin expansiunea volumetrică localizată.4 Zirconia cubică, însă, nu va fi supusă acestei schimbări. Nu s-au putut găsit rapoarte publicate cu privire la efectele abraziunii cu aer și alumină asupra rezistenței la presiunile recomandate pentru creșterea adeziunii cu cimenturi rășinice și primeri speciali.
S-a testat rezistența flexurală la plierea în trei puncte a unui specimen reprezentativ al materialelor zirconia translucente. Specimenele au fost preparate prin secționarea zirconiei în batoane, sinterizate conform recomandărilor producătorilor și lustruirea tuturor specimenelor cu hârtie abrazivă cu granulația de 1200. Apoi specimenele au fost preparate în conformitate cu condițiile pentru trei tratamente: (1) control fără nicio modificare; (2) abraziunea cu particule la presiunea de 2 bari (30 psi); și (3) abraziunea cu particule la presiunea de 4 bari (60 psi). Toate abraziunile cu particule s-au efectuat cu alumină de 50-µm timp de 10 secunde de la o distanță de 10mm.
Specimenele au fost plasate într-un dispozitiv de testare universal pe suporturi separate de 20 mm și încărcate să cedeze la 1 mm/min (fig. 18). Încărcarea maximă de eșuare s-a utilizat pentru a calcula rezistența la flexiune. Câte un specimen reprezentativ pentru zirconia tradițională și translucentă deopotrivă a fost tratat cu abraziunea cu particule de alumină la presiunea de 2 bari și s-a studiat cu ajutorul electronomicroscopului de baleiaj.
Rezultatele acestui studiu pilot au indicat că zirconia tradițională nu prezintă o scădere semnificativă a rezistenței după abraziunea cu particule, iar un material zirconia tradițional a devenit, de fapt, mai puternic după abraziunea cu particule. Această observație nu este unică, pentru că studiile premergătoare au demonstrat îmbunătățiri în rezistența flexurală după abraziunea cu particule.13 Creșterea rezistenței după abraziunea cu particule se presupună că survine în urma solidificării de transformare.
După abraziunea cu particule la 2 și 4 bari, zirconia translucentă testată în studiu a arătat o diminuare semnificativă a rezistenței. Zirconia translucentă conține zirconia în faza sa cubică, care nu se transformă și de aceea, după abraziunea cu particule nu va fi supusă solidificării de transformare. Suprafața zirconiei tradiționale și translucente după abraziunea cu particule a demonstrat o distrugere de suprafață aproape identică (fig. 19, 20).
Similaritatea suprafețelor oferă dovada că diferența de comportament dintre zirconia tradițională și cea transparentă se datorează lipsei solidificării de transformare în cazul zirconiei translucente.
Din aceste informații nu se poate trage nicio concluzie clinică, iar autorii investighează diferite tratamente de suprafață ce nu pot afecta detrimental rezistența zirconiei cu conținut de fază cubică, cum ar fi particulele mai puțin abrazive și presiunea mai mică a aerului. Aceste tratamente, în combinație cu primerii de zirconia dovediți (de ex. materialele care conțin 10-metacriloiloxidecil dihidrogen-fosfat [MDP]), pot permite adeziunea de durată la zirconiile cu conținut de fază cubică.15 Cu toate acestea nu ar trebui să se presupună că, din această cauză, zirconia se poate utiliza cu grosime redusă fără adeziune în cazul coroanelor posterioare.
O altă presupunere este că s-ar comporta clinic în același mod cu zirconia de fază total tetragonală. Nicio dovadă nu susține această afirmație și în mod cert este mai ușor să distrugi sau să slăbești zirconia cu conținut cubic, care oricum începe cu o rezistență mai redusă.
Recomandarea preliminară a autorilor pentru adeziunea zirconiei cu conținut cubic este de a utiliza un sistem care folosește particule de alumină 30-µm învelite cu silica, urmată de un primer ce conține silan și MDP. Unul dintre beneficiile adeziunii este creșterea distribuției stresului, care teoretic ar trebui să minimizeze inițierea și creșterea fisurilor, acesta fiind motivul fundamental pentru care porțelanul atașat adeziv funcționează.
EVALUAREA CLINICĂ
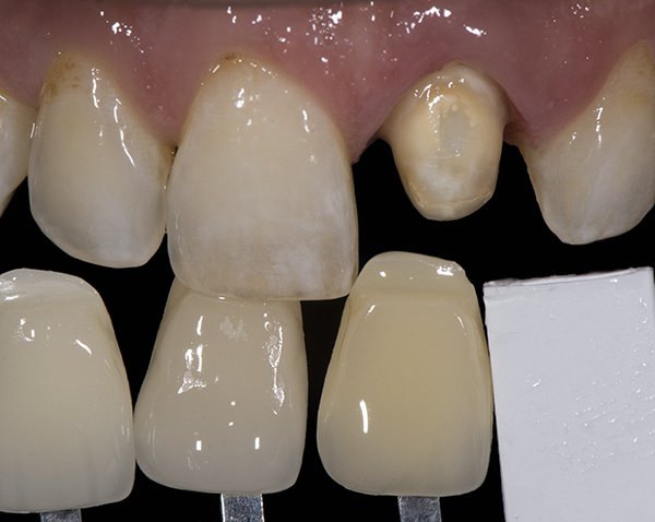
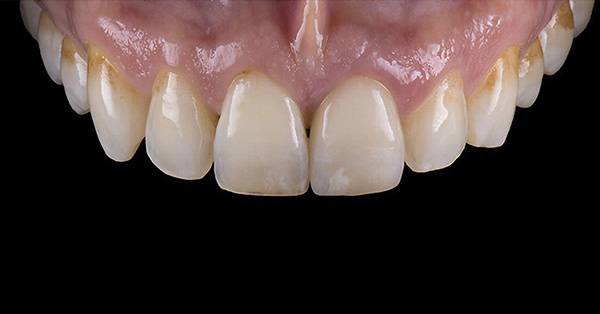
Pentru evaluarea clinică a câtorva sisteme comerciale, s-a ales cazul unei singure coroane centrale, pentru că centralii unitari sunt în general considerați cea mai mare provocare estetică în stomatologie. S-a selectat un caz cu substrat cromatic normal (fig. 21) cu o reducere vestibulară de aproximativ 1,2mm. Deși acest articol nu este destinat să comenteze toate aspectele tratamentului pacientului, trebuie menționat că atunci când se înregistrează informațiile legate de culoare după preparație, dinții trebuie hidratați pentru că aceștia vor părea mai deschiși la culoare după deshidratare.
S-au utilizat patru sisteme pentru fabricarea coroanelor de zirconia cubică folosind o tehnică monolitică și s-au comparat cu coroana monolitică din disilicat de litiu ca piesă control. Colorarea presinterizare s-a realizat utilizând coloranții furnizați de producător. Așa cum se afirma anterior, pentru colorare individualizată, zirconia cubică presinterizată a necesitat aplicarea personalizată a coloranților și a modificatorilor de nuanță pentru a se potrivi cu dintele natural adiacent. Aceasta în mod cert ar necesita experiență cu un anumit sistem pentru a ști cum se comportă principalele culori de nuanță și cum să se utilizeze modificatorii individualizați. De aceea, etapa a fost realizată de un ceramist experimentat.
Toate sistemele au necesitat două învelișuri de coloranți externi și arderi separate pentru a obține culoarea complicată a dintelui natural cu care se dorea potrivirea. Apoi, așa cum se descria anterior în secțiunea de laborator, toate sistemele au fost glazurate cu o supraglazură și s-au lustruit mecanic pentru a obține finisarea și luciul natural al suprafeței. În fig. 22-25 sunt demonstrate rezultatele estetice ale celor patru sisteme, în timp ce fig. 26 ilustrează coroana control. Imaginile arată în mod clar că un rezultat estetic excelent s-a obținut cu zirconia cubică monolitică, similar în aspect și valoare estetică cu cea a piesei control, care este considerată un standard în estetica monolitică, disilicatul de litiu.
CONCLUZII
Zirconia cu conținut cubic se comportă diferit la abraziunea cu aer decât zirconia tetragonală originală cu rezistență crescută fără fază cubică. Astfel, se impune precauție în luarea deciziilor clinice bazate pe cercetarea și experiența obținută în cazul zirconiei tetragonale.
În opinia autorilor, zirconia cu conținut cubic este foarte sensibilă la tehnicile corecte de procesare în laborator, astfel că trebuie respectate procese deosebit de controlate pentru a obține proprietățile estetice și mecanice raportate. Evaluarea clinică a zirconiei monolitice cu conținut cubic a prezentat promisiuni excelente ca restaurare estetică.


























Referințe bibliografice:
1. Howard CJ, Hill RJ. The polymorphs of zirconia: phase abundance and crystal structure by Rietveld analysis of neutron and X-ray diffraction data. J Mater Sci. 1991;26(1):127-134.
2. Zhang Y. Making yttria-stabilized tetragonal zirconia translucent. Dent Mater. 2014;30(10):1195-1203.
3. Tong H, Tanaka CB, Kaizer MR, Zhang Y. Characterization of three commercial Y-TZP ceramics produced for their high-translucency, high-strength and high-surface area. Ceram Int. 2016;42(1 Pt B):1077-1085.
4. Denry I, Kelly JR. State of the art of zirconia for dental applications. Dent Mater. 2008;24(3):299-307.
5. Matsui K, Ohmichi N, Ohgai M, et al. Effect of alumina-doping on grain boundary segregation induced phase transformation in yttria-stabilized tetragonal zirconia polycrystal. Journal of Materials Research. 2006;21(9):2278-2289.
6. Zhang H, Li Z, Kim BN, Morita K, et al. Effect of alumina dopant on transparency of tetragonal zirconia. Journal of Nanomaterials. 2012;2012(2012):1-5.
7. Sulaiman TA, Delgado AJ, Donovan TE. Survival rate of lithium disilicate restorations at 4 years: A retrospective study. J Prosthet Dent. 2015;114(3):364-366.
8. Harada K, Raigrodski AJ, Chung KH, et al. A comparative evaluation of the translucency of zirconias and lithium disilicate for monolithic restorations. J Prosthet Dent. 2016;116(2):257-263.
9. Peuchert U, Okano Y, Menke Y, et al. Transparent cubic-ZrO2 ceramics for application as optical lenses. Journal of the European Ceramic Society. 2009;29(2):283-291.
10. Lucas TJ, Lawson NC, Janowski GM, Burgess JO. Effect of grain size on the monoclinic transformation, hardness, roughness, and modulus of aged partially stabilized zirconia. Dent Mater. 2015;31(12):1487-1492.
11. Zhang F, Inokoshi M, Batuk M, et al. Strength, toughness and aging stability of highly-translucent Y-TZP ceramics for dental restorations. Dent Mater. 2016;32(12):e327-e337.
12. Yang B, Barloi A, Kern M. Influence of air-abrasion on zirconia ceramic bonding using an adhesive composite resin. Dent Mater. 2010;26(1):44-50.
13. Ozcan M, Melo R, Souza RO, et al. Effect of air-particle abrasion protocols on the biaxial flexural strength, surface characteristics and phase transformation of zirconia after cyclic loading. J Mech Behav Biomed Mater. 2013;20:19-28.
14. Lawson NC, Janyavula S, Syklawer S, et al. Wear of enamel opposing zirconia and lithium disilicate after adjustment, polishing and glazing. J Dent. 2014;42(12):1586-1591.
15. Kwon SJ, Lawson N, Beck P, et al. Bond strength, wear, and enamel wear of translucent zirconia [abstract]. J Dent Res. 2016;95(spec iss A): Abstract 0244.

