Originally published in Compendium, an AEGIS Publications Property. All rights reserved.
A Rationale for Fixed Restorations Supported by Mini Dental Implants: Case Reports and Practical Case Selection Guidelines by Raymond Choi, DDS. Originally published in Compendium of Continuing Education in Dentistry 40 (4) April 2019. ©2019 AEGIS Publications, LLC. All rights reserved. Reprinted with permission of the publishers.
Despre autor:
Raymond Choi, DDS
Private General Practice with emphasis on Implant Dentistry, Tustin, California
Introducerea mini implanturilor dentare (cu diametrul ≤2,9 mm) în stomatologie a creat multiple opțiuni terapeutice pentru o varietate de situații clinice. Au fost utilizate cu succes pentru a susține restaurări fixe, în pofida îngrijorării generalizate cu privire la rezistență. Din cauza diametrului redus al implantului, succesul clinic al restaurărilor fixe susținute de mini implanturi necesită controlul încărcării ocluzale prin selectarea adecvată a cazului și a tehnicilor clinice și de laborator.
Lipsa volumului osos adecvat și a resurselor financiare, precum și sănătatea compromisă acompaniată adesea de îmbătrânire sunt factori predominanți care împiedică pacienții să beneficieze de tratamentul cu implanturi convenționale (conventional dental implants, CDI) (cu diametrul ≥3 mm). Cu toate acestea, în ceea ce privește volumul osos, mai mulți pacienți pot prezenta situații clinice care sunt mai potrivite pentru mini-implanturi dentare (mini dental implants, MDI) (având diametrul ≤2,9 mm), decât CDI.1
Diametrul redus al MDI permite plasarea chirurgicală minim invazivă, adesea fără necesitatea de a eleva un lambou. Inserția fără lambou a implantului conservă mai mult aport sanguin și lasă periostul intact, ducând la o vindecare mai rapidă, un confort mai mare pentru pacient și reducerea semnificativă a complexității chirurgicale, a duratei terapeutice și a costurilor.2,3 Datorită protocolului chirurgical relativ simplificat și minim invaziv precum și costurilor reduse, pacienții cu limitări financiare, sănătate compromisă și deficiențe de spațiu interdentar și/sau lățime crestală pot beneficia de utilizarea MDI. Mai mult, pacienții vârstnici incapabili să tolereze rigorile procedurilor de grefare osoasă complexă și ale implantării convenționale, ar putea beneficia de restaurările fixe cu suport pe mini-implanturi (mini-implant-supported fixed restorations, MISFR).
MISFR reduc posibil necesitatea grefării osoase și complicațiile asociate cu asemenea proceduri, diminuează morbiditatea pacientului legată de chirurgia invazivă, reduc durata și costurile tratamentului și minimizează necesitatea ponticelor cu consolă. În plus, utilizarea lor reduce necesitatea intervenției ortodontice ce poate fi necesară pentru obținerea spațiului interdentar în scopul adaptării CDI. Aceste restaurări pot îmbunătăți de asemenea satisfacția pacientului și confortul, datorită evitării dispozitivelor mobilizabile și potențialului pentru o mai bună masticație.
ISTORICUL MINI IMPLANTURILOR (MDI)
Utilizarea MDI a debutat când implanturile tranziționale din titan, cu un diametru de 1,8 mm și suprafață netedă au fost plasate pentru a susține proteze provizorii fixe în cursul perioadei de grefare osoasă și osteointegrare pentru CDI.4,5 În anii 1970, s-a introdus un implant provizoriu sub forma șurubului Lew.6 Câțiva ani mai târziu, specialiștii chirurgi au început să insereze aceste mini implanturi tranziționale de 1,8 mm pentru a ajuta dentiștii restauratori să ofere pacienților proteze interimare mai stabile. Aceste implanturi se utilizau adesea fără niciun ghidaj sau protocol specific.
MDI se plasau în mod frecvent între CDI și se încărcau imediat cu proteze provizorii fixe, cu considerarea minimă a încărcării ocluzale și a stabilității inițiale a implanturilor tranziționale cu diametru mic ce urmau a fi îndepărtate odată ce se încheia complet scopul temporar. Această modalitate de tratament a sugerat cumva că toate implanturile cu diametru mic sunt destinate exclusiv utilizării tranziționale. Deși MDI se pot folosi în scopuri provizorii, în ultimii ani au fost utilizați preponderent în cadrul aplicațiilor de durată.1
De la aprobarea obținută în 2003 din partea Administrației Alimentelor și Medicamentelor din SUA pentru aplicațiile mobilizabile și fixe, MDI s-au utilizat cu succes pentru stabilizarea protezelor mobilizabile, la un cost relativ economic. Cei mai mulți clinicieni utilizează sistemul monocomponent implant/bont unitar în defavoarea bontului individualizat fabricat de laborator.1 Adesea, MDI se plasează chirurgical într-o manieră fără lambou, mai puțin invazivă, și cuplată cu încărcarea imediată, oferind un grad ridicat de satisfacție pentru mulți pacienți edentați.7-9 În plus, MDI se folosesc deseori pentru a susține cu succes restaurări fixe.10-12
Astăzi, MDI sunt fabricate din aliaje de titan pentru o rezistență crescută și cu suprafețe asperizate pentru a promova osteointegrarea similară cu CDI. Ortodonții utilizează la rândul lor implanturile cu diametrul de 1,6 mm (cunoscute ca dispozitive temporare) pe durate scurte, în scopul de a crea ancoraj pentru o varietate de deplasări dentare, reducând necesitatea chirurgiei ortognate, a duratei și a complexității globale a tratamentului. Studiile au documentat succesul clinic al acestei aplicări.13,14
OSTEOINTEGRAREA ȘI CONSIDERENTELE DE ÎNCĂRCARE ALE MID
Mai multe studii au raportat osteointegrarea reușită a MDI cu suprafața tratată (suprafața asperizată) la nivel histologic și clinic, sub încărcare imediată.15-18 Până a devenit disponibilă cheia ajustabilă pentru măsurarea torsiunii în scopul utilizării împreună cu MID în 2003, clinicienii nu puteau determina cu precizie nivelul stabilității inițiale a acestor implanturi în momentul inserării. Implanturile instabile ce sunt încărcate imediat, indiferent că sunt convenționale sau mini, nu se osteointegrează și, prin urmare, stimulează o încapsulare fibroasă, urmată de eșecul ulterior al implantului. Cu ajutorul unei chei cu torsiune ajustabilă, stabilitatea inițială a MID se poate evalua mai exact pentru a determina fezabilitatea pentru încărcarea imediată, cu scopul unor rezultate mai predictibile și reușite.
Actualmente, nu este încă disponibilă o metodă de determinare a coeficientului de stabilitate a implantului pentru MDI monocomponent. Deși nu este deosebit de predictibil, autorii utilizează Periotest pentru a măsura stabilitatea relativă a MDI imediat după inserare și în cursul vizitelor de întreținere și monitorizare. În experiența clinică a autorilor, MDI cu o stabilitate inițială de 30-35 Ncm în momentul plasării chirurgicale care sunt încărcate imediat sub protocol controlat pentru protezele totale mandibulare par să funcționeze și să obțină osteointegrare cu succes.
Datorită diametrului redus, este logică punerea la îndoială a abilității MDI de a rezista încărcării ocluzale. S-a realizat o analiză cu element finit pentru a evalua durata de fatigabilitate a implanturilor cu diametrul de 2 mm și s-a constatat că montate în suport rigid și sub o forță orizontală ciclică de 200 N, implanturile s-au fracturat la peste un milion de cicluri.19 În cadrul unui alt studiu, implanturile cu diametrul de 2,4 mm încorporate în rășină acrilică care au fost expuse forței orizontale la un unghi de 45° s-au fracturat la 462 N.1
Song și colab au studiat efectul diametrului implanturilor asupra rezistenței la fatigabilitate și au constatat că eșecul încărcării finale și ciclul de fatigabilitate s-au redus pe măsură ce diametrul implantului a devenit mai mic, implicând posibile riscuri mai mari la încărcări ciclice.20 Pe baza acestor rezultate, controlul forțelor orizontale ciclice pare a fi dezideratul succesului clinic pe termen lung al MISFR.
UTILIZAREA MDI PENTRU APLICAȚIILE FIXE
Deși există îngrijorări cu privire la utilizarea MDI pentru susținerea restaurărilor fixe, cum ar fi potențialul fracturării implantului, abilitatea de a rezista la încărcarea funcțională și parafuncțională, gradul de osteointegrare dobândibilă în jurul implantului mini, precum și necesitatea protocoalelor clinice și de laborator clare și mai multe studii pe termen lung, mulți clinicieni le utilizează cu succes pentru aplicațiile fixe.21-28
În cadrul unui sondaj realizat cu 677 medici dentiști experimentați în stomatologia implantară (dintre care 95% erau stomatologi generaliști), 40% dintre respondenți utilizau MDI pentru substituția unidentară.1 În plus, 23% plasau proteze parțiale fixe conjuncte cu sprijin pe mini implanturi și 14% efectuau proteze dinte/dinți și proteze parțiale fixe cu sprijin pe mini implanturi. Restaurările fixe MDI din mandibula posterioară antagoniste unei proteze mobilizabile au demonstrat o rată de supraviețuire de 95% la 5 ani.11 Vigolo și colab au documentat rate de supraviețuire mari pentru restaurările MDI unidentare variind de la dinții anteriori la primii molari.12
Unii clinicieni au constatat succes clinic satisfăcător în MDI conjuncte fie cu CDI, fie cu alte MDI.10,18 Alții au utilizat MDI pentru a înlocui un singur dinte în spațiul interdentar deficitar și/sau o lățime crestală compromisă cu o rată de succes înaltă.22,25 Degidi și colab au demonstrat succes clinic în substituirea incisivilor laterali maxilari cu MDI.23 Ulterior utilizării mini implanturilor tranziționale cu suprafața netedă pentru scopuri provizorii și constatând un grad adecvat de osteointegrare, parte din clinicieni au considerat folosirea MDI și sub proteze mai definitive și de durată.29,30
Riscurile asociate cu MDI sunt similare celor ale CDI. Datorită diametrului mai mic al MDI, clinicienii trebuie să se concentreze pe reducerea supraîncărcărilor ocluzale cu strategii ocluzale adecvate și pe selectarea adecvată a cazului.
STUDII DE CAZ
Întrucât nu toate laboratoarele sunt familiarizate cu fabricarea MISFR, autorul recomandă clinicienilor să verifice de la început cu laboratorul curent dacă are experiență cu acest segment de restaurări.
Cazul (1)
O pacientă de 40 ani, cu istoric medical neremarcabil și tonus redus al musculaturii masticatorii, s-a prezentat cu dorința de a înlocui dinții posteriori mandibulari absenți cu restaurări fixe pe implanturi. La examenul clinic și cu tomografie computerizată cu fascicul conic (CBCT) s-a observat o lățime vestibulo-orală osoasă de sub 5 mm în cadranul stâng inferior și, prin urmare, inadecvat pentru CDI (fig. 1).
Pacienta a refuzat grefarea osoasă și, în consecință și restaurările fixe convenționale cu sprijin implantar ulterioare, din cauza necesității chirurgiei suplimentare, morbidității asociate și costurilor adiționale. Opțiunea terapeutică alternativă a inclus utilizarea mini implanturilor, fiindu-i prezentate riscurile și beneficiile asociate.
Evaluarea dentiției antagoniste a obiectivat absența dinților posteriori superiori stângi (segmentul 2.5.-2.8.), fiind restaurați prin proteză parțială mobilizabilă. După ce pacienta a acceptat tratamentul implicând MISFR, s-au inserat chirurgical două mini implanturi de 2,4 x 10 mm, în conformitate cu instrucțiunile producătorului, într-o manieră fără lambou (fig. 2).
După cele patru luni necesare osteointegrării mini implanturilor, s-a urmat un protocol standard pentru realizarea coroanelor metalo-ceramice conjuncte (porcelain-fused-to-metal, PFM). Restaurarea a fost cimentată cu ciment ionomer de sticlă modificat cu rășină, insolubil în apă. La examenele de monitorizare (fig. 3), s-a constatat că MISFR era funcțională de peste 6 ani, fără nicio complicație.
Cazul (2)
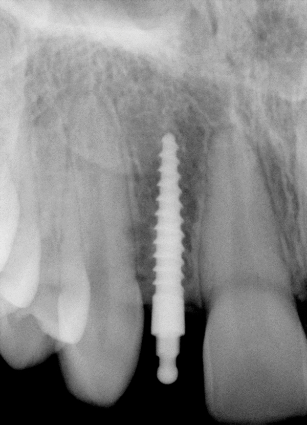
O pacientă tânără, absolventă de liceu, cu istoric medical necontributiv, s-a prezentat cu lipsa congenitală a ambilor incisivi laterali maxilari și dorința de a-i înlocui cu restaurări fixe pe implanturi (fig. 4). Pacienta și însoțitorul ei afirmau că își încetase creșterea în ultimii 2 ani. Aceasta finalizase recent tratamentul ortodontic cu durata de 2,5 ani prezentând retainere ortodontice Hawley cu pontice.
La examinare, spațiul mezio-distal în cazul ambilor dinți absenți era de 5,5 mm. S-a recomandat tratament ortodontic suplimentar pentru augmentarea dimensiunii meziodistale în vederea terapiei cu implanturi convenționale bicomponente. Pacienta și tutorele au refuzat imediat recomandarea, solicitând opțiuni terapeutice alternative. În plus, aceasta își dorea finalizarea tratamentului înainte de a pleca la facultate, peste câteva luni. Clinicianul a informat și discutat riscurile și beneficiile tratamentului cu MISFR, obținând acceptul pentru această variantă terapeutică.
După evaluarea scanării CBCT și obținerea modelelor de studiu în vederea fabricării unei matrici pentru restaurarea provizorie, s-au inserat două mini implanturi de 2,4 x 13 mm în pozițiile dentare 1.2. și 2.2. (fig. 5-7). Ambele mini implanturi au fost fixate cu o valoare inițială de torsiune de 35 Ncm. S-au fabricat restaurări fixe provizorii rășinice în cabinet cu folosirea matricei și s-au cimentat pentru a permite înlocuirea estetică imediată a retainerului ortodontic mobilizabil. Pacienta a fost foarte mulțumită de rezultatul imediat.
După 4 luni de osteointegrare, s-a înregistrat o amprentă finală pentru a fabrica două coroane din disilicat de litiu. Coroanele s-au cimentat cu ciment rășinic insolubil în apă (fig. 8). La controlul efectuat la 5 ani de la finalizarea restaurării, MISFR erau lipsite de complicații.
Cazul (3)
O pacientă în vârstă de 40 ani, cu istoric medical neremarcabil s-a prezentat cu intenția de a edentația 3.4.-3.6. cu o restaurare fixă pe implanturi. Lățimea osoasă corespunzătoare 3.5. și 3.6. era suficientă pentru plasarea implanturilor convenționale cu diametru de 4 mm, fiind însă deficitară în dreptul premolarului 3.4.
Au fost prezentate două opțiuni terapeutice principale. Prima consta în grefarea lățimii osoase corespunzător lui 3.4. și inserarea ulterioară a implantului în respectiva locație. Cealaltă opțiune era de a fabrica o punte cu consolă, cu un pontic în poziția dentară 3.4. Niciuna dintre opțiuni nu a fost satisfăcătoare pentru pacientă. De aceea, ca o alternativă, s-a discutat plasarea unui mini implant în poziția dentară 3.4. pentru a elimina un pontic de consolă extinsă.
După acceptul pacientei, s-a inserat un mini implant de 2,4 x 10 mm, alături de două implanturi convenționale de 4 x 9 mm, în cadrul aceleiași ședințe. Toate cele trei implanturi nu au fost restaurate provizoriu, permițându-se o perioadă de 4 luni pentru osteointegrare înainte de fabricarea și cimentarea coroanelor PFM conjuncte, cu trei unități (fig. 9).
Fig. 10 prezintă o radiografie panoramică realizată la 10 ani după cimentarea restaurării finale. MISFR se aflau în funcțiune de peste 11 ani, iar pacienta raporta un grad mare de satisfacție.
Cazul (4)
Un pacient sănătos care absolvise liceul s-a prezentat împreună cu tutorele său în speranța înlocuirii celor doi primi premolari mandibulari absenți congenital. Când s-a oferit ca opțiune terapeutică utilizarea implanturilor convenționale, tutorul a solicitat o alternativă mai accesibilă. S-a prezentat tratamentul cu MISFR care a inclus și discuția legată de riscuri și beneficii, iar această opțiune a fost acceptată rapid.
S-a generat un model de studiu pentru fabricarea unei matrice restauratoare. S-au inserat două mini implanturi de 2,4 x 13 mm în pozițiile dentare 3.4. și 4.4. cu o stabilitate inițială de 35 Ncm. S-au fabricat restaurări provizorii rășinice nefuncționale și s-au cimentat imediat după inserarea implanturilor.
Patru luni mai târziu, după finalizarea perioadei de osteointegrare a implanturilor (fig. 11), s-au fabricat coroanele definitive din disilicat de litiu, cu utilizarea unui protocol convențional pentru coroane și punți și s-au cimentat cu ciment rășinic (fig. 12). Fig. 13 prezintă o radiografie panoramică realizată la 4 luni post-tratament. MISFR se află în funcțiune de 4 ani fără nicio complicație.
Cazul (5)
Un pacient cu istoric medical neremarcabil s-a prezentat cu o punte Maryland eșuată care înlocuia dintele 4.1. Spațiul interdentar corespunzător poziției 4.1. era de cca 5 mm, fiind inadecvat pentru un CDI (fig. 14). S-au prezentat și dezbătut opțiuni terapeutice non-implantare, pacientul insistând pentru o restaurare fixă cu sprijin implantar. Datorită spațiului interdentar limitat, clinicianul a stabilit necesitatea unui MDI.
Înainte de a continua cu opțiunea MISFR, clinicianul a discutat posibila complicație de lezare a rădăcinilor adiacente în cursul inserării implantului, ce ar impune tratament endodontic ulterior sau posibilă extracție. Pacientul a decis să continue cu această opțiune.
S-a plasat un MDI (fig. 15), radiografiile periapicale confirmând traiectoria adecvată a implantului. Pacientul a refuzat restaurarea provizorie din cauza costului implicat. S-a fabricat o coroană PFM finală și s-a cimentat cu rășină. După 8 ani de funcționare a MISFR, pacientul nu a raportat nicio complicație.
INSTRUCȚIUNI PRACTICE DE SELECTARE A CAZURILOR PENTRU MISFR
Obținerea stabilității inițiale adecvate a implantului și controlul încărcării ocluzale sunt factorii esențiali în succesul clinic al restaurărilor cu utilizarea mini implanturilor. În 2008, autorul a dezvoltat și de atunci predă aceste instrucțiuni în cadrul Global Mini Implant Institute (GMI) pe care îl deține pentru a ajuta clinicienii să selecteze adecvat cazurile pentru MISFR prin evaluarea nivelului de posibile riscuri. Fiecare factor din ghidurile propuse, așa cum se descriu în paragrafele următoare, este important în evaluarea fezabilității obținerii încărcării ocluzale favorabile și/sau stabilității inițiale adecvate a mini-implantului. Aceste instrucțiuni se pot utiliza în cabinet pentru a formula rapid un prognostic tentativ pentru MISFR.
Mandibulă versus maxilar
În majoritatea cazurilor, mandibula oferă o densitate osoasă mai mare în comparație cu maxilarul. Există o mai mare probabilitate ca practicianul să obțină o stabilitate inițială mai bună în cazul mandibulei și ca restaurările finale să aibă un suport mai puternic contra încărcării ocluzale.
Anterior versus posterior
Segmentele anterioare ale mandibulei și maxilarului deopotrivă oferă densitate osoasă mai mare pentru o stabilitate inițială mai bună, iar încărcarea ocluzală este mai ușoară în comparație cu regiunile posterioare.
Considerente de încărcare a arcadei antagoniste
Încărcarea ocluzală pe MISFR depinde în mare măsură de tipul dinților antagoniști. Arcada opusă poate fi edentată, pot fi dinți de proteză mobilizabilă, dinți naturali sau dinți cu sprijin implantar. De exemplu, restaurările fixe cu sprijin implantar nu vor avea nicio reziliență verticală în comparație cu dentiția naturală și vor exercita cea mai mare forță ocluzală pe MISFR. O proteză mobilizabilă convențională cu sprijin pe țesuturile moi pe arcada antagonistă se va deplasa vertical cel mai mult din cauza rezilienței țesutului moale și va exercita cea mai mică forță ocluzală pe o MISFR.31,32 În funcție de tipul dinților prezenți pe arcada antagonistă, clinicianul poate formula un prognostic adecvat pentru o MISFR.
Prezența stopului ocluzal posterior de dinții care se înlocuiesc
Dintele poziționat cel mai posterior pe o arcadă va fi folosit cel mai mult în masticație, iar în cursul deglutiției, același dinte va lua primul contact. De aceea, prezența unui stop ocluzal, fie că este un dinte natural sau un dinte cu sprijin implantar, posterior de dintele sau dinții care urmează a fi înlocuiți va proteja orice dinte anterior de respectivul dinte prin absorbția încărcării. Aceasta va preveni supraîncărcarea unei MISFR poziționate mai anterior și va permite clinicienilor să creeze un nivel dorit de contact centric pe MISFR pentru o încărcare ocluzală redusă.
Vârstnic versus tânăr
În general, pacienții mai tineri pot genera forțe masticatorii și parafuncționale mai accentuate.
Femei versus bărbați
Generalizând, pacienții de sex masculin pot genera mai multe forțe masticatorii și parafuncționale decât pacientele, cu condiția să fie cu vârsta și starea fizică similară.
Raportul coroană-implant și înălțimea osului disponibil
Misch constata că augmentarea înălțimii coronare de la 10 la 20 mm ar corespunde unei creșteri a forței ocluzale aplicate pe un implant cu 100%.33 Prin urmare, o înălțime coronară mai scurtă ar fi benefică pentru MISFR având în considerare aria suprafeței implantare a unui MDI. Înălțimea osoasă disponibilă mai mare crește probabilitatea de a obține o stabilitate inițială mai bună a implantului.
Oportunitatea de restaurări conjuncte vs individuale
Un studiu recent nu a observat nicio corelație între implanturile scurte neconsolidate și pierderea osului crestal.34 Cu toate acestea, doar coroanele neconjuncte au manifestat slăbirea șuruburilor, în timp ce protezele conjuncte au fost lipsite de această consecință. Întrucât MDI este un implant monocomponent fără niciun șurub de bont, aceeași forță care cauzează slăbirea șurubului în cazul unui implant convențional poate cauza probabil pierderea de os crestal și/sau fracturarea corpului implantar al MDI. De aceea, MDI ar trebui consolidat cu alte MDI consecutive sau CDI, ori de câte ori este posibil.
Unele studii au sugerat că protezele fixe cu sprijin dentar-implantar adecvat și atent selectate pot fi o alternativă viabilă la grefarea osoasă și protezele fixe sprijinite doar pe implant.35,36 Consolidarea va rezista încărcării ocluzale mai favorabil atunci când consolidarea se face cu alte entități stabile.
Prezența parafuncției
Examinarea intraorală succintă poate obiectiva prezența parafuncției. Amprentele dentare accentuate la nivelul marginii laterale a limbii și al mucoasei bucale, precum și uzura dinților pot fi indicatori ai parafuncției. Implanturile cu diametrul convențional și augmentarea osoasă ar fi preferabile în cazul acestor pacienți cu parafuncție severă.
INSTRUCȚIUNI PENTRU MODIFICĂRILE CLINICE ȘI DE LABORATOR PENTRU MISFR
Controlul încărcării ocluzale poate avea importanță vitală pentru supraviețuirea pe termen lung al MISFR. Forțele ocluzale ciclice cu componente orizontale pe restaurare s-au asociat cu complicații ale implanturilor.19 Întrucât implanturile sunt vulnerabile la forțele cu orice grad de componentă orizontală, în cazul MISFR este de dorit de obicei un design ocluzal monoplan pentru a elimina orice forțe ocluzale laterale dăunătoare.
Misch și Bidez au sugerat reducerea dimensiunii tablei ocluzale (în dimensiunea vestibulo-orală) în cazul restaurărilor pe implanturi.37
În prezența unui stop ocluzal prezent posterior de dinții care se înlocuiesc printr-o MISFR, ar trebui să fie contact ocluzal centric ușor sau deloc și să nu existe nicio interferență ocluzală laterală. În cazul unei MISFR multiunitare, fabricarea unei gutiere nocturne poate fi foarte utilă și corespunzătoare pentru a minimiza și a reduce orice forțe necontrolabile și excesive în cursul somnului.
Perioada de osteointegrare recomandată este de 3-4 luni, atunci când este posibil. Dacă pacientul dorește restaurarea provizorie imediată sau clinicianul trebuie să restaureze temporar imediat într-o regiune critică din punct de vedere estetic, restaurarea provizorie trebuie să fie nefuncțională, fără contacte centrice sau laterale.
CONCLUZII
Mulți pacienți din zilele noastre sunt incapabili să depășească barierele financiare ale tratamentului cu implanturi. Prin reducerea complexității tratamentului cu utilizarea MDI, mai mulți pacienți pot beneficia de restaurările fixe cu sprijin implantar, cu masticație și confort sporit. Mai mult, incisivii laterali maxilari și mandibulari absenți, cu spațiu interdentar deficitar și lățime redusă a crestei se pot înlocui în condiții de siguranță cu MDI, riscul de lezare a dinților adiacenți fiind minim. Succesul clinic al aplicațiilor fixe ale MDI pot fi sporite semnificativ prin selectarea adecvată a cazurilor pe baza ghidurilor practice prezentate în acest articol pe care clinicianul le poate utiliza în cabinet.
MDI se utilizează actualmente cu succes într-o varietate de situați clinice. Pe măsură ce devin disponibile tot mai multe studii controlate pe termen lung și protocoale îmbunătățite, aplicațiile fixe ale MDI oferă promisiuni nete și posibilități de lărgire a accesului la tratamentul implantar pentru pacienții care altfel ar fi incapabili să beneficieze de restaurări implantare fixe. Studiile și dezvoltările viitoare pentru un metal mai puternic care s-ar putea utiliza la corpurile implanturilor și un material restaurator mai permisiv dar puternic ar putea îmbunătăți performanța MISFR.















Referințe bibliografice:
1. Christensen G. Successful use of mini implants: 2012. Clinicians Report.2012;5(2):1-3.
2. Becker W, Goldstein M, Becker BE, Sennerby L Minimally invasive flapless implant surgery: follow-up results from a multicenter study. J Periodontol. 2009;80(2):347-352.
3. Romero-Ruiz MM, Mosquera-Perez R, Gutierrez-Perez JL, Torres-Lagares D. Flapless implant surgery: a review of the literature and 3 case reports. J Clin Exp Dent. 2015;7(1):e146-e152.
4. Froum S, Emtiaz S, Bloom MJ, et al. The use of transitional implants for immediate fixed temporary prostheses in cases of implant restorations. Pract Periodontics Aesthet Dent. 1998;10(6):737-746.
5. Petrungaro PS. Fixed temporization and bone-augmented ridge stabilization with transitional implants. Pract Periodontics Aesthet Dent. 1997;
9(9):1071-1078.
6. Lew I. The endosseous implant: evaluations and modifications. Dent Clin North Am. 1970;14(1):201-213.
7. Bulard RA, Vance JB. Multi clinic evaluation using mini-dental implants for long-term denture stabilization: a preliminary biometric evaluation. Compend Contin Educ Dent. 2005;26(12):892-897.
8. LaBarre EE, Ahlstrom RH, Noble WH. Narrow diameter implants for mandibular denture retention. J Calif Dent Assoc. 2008;36(4):283-286.
9. Ahn MR, An KM, Choi JH, Sohn DS. Immediate loading with mini dental implants in the fully edentulous mandible. Implant Dent. 2004;13(4):367-372.
10. Shatkin TE, Shatkin S, Oppenheimer BD, Oppenheimer AJ. Mini dental implants for long-term fixed and removable prosthetics: a retrospective analysis of 2514 implants placed over a five-year period. Compend Contin Educ Dent. 2007;28(2):92-99.
11. Flanagan D. Mini implants supporting fixed partial dentures in the posterior mandible: a retrospective. J Oral Implantol. 2015;41(4):138-143.
12. Vigolo P, Givani A. Clinical evaluation of single-tooth mini-implant restorations: a five-year retrospective study. J Prosthet Dent. 2000:84(1):50-54.
13. Kuroda S, Sugawara Y, Deguchi T, et al. Clinical use of miniscrew implants as orthodontic anchorage: success rates and postoperative discomfort. Am J Orthod Dentofacial Orthop. 2007;131(1):9-15.
14. Baek MS, Choi YJ, Yu HS, et al. Long-term stability of anterior open-bite treatment by intrusion of maxillary posterior teeth. Am J Orthod Dentofacial Orthop. 2010;138(4):396.e1-396.e9.
15. Balkin BE, Steflik DE, Naval F. Mini-dental implant insertion with the auto-advance technique for ongoing applications. J Oral Implantol. 2001;27(1):32-37.
16. Di Iorio D, Sinjari B, Cupaiolo R, et al. Histomorphometry of 2 immediately loaded mini implants retrieved from human mandible after 3 months: a light and scanning electron microscopy report. J Oral Implantol. 2013;39(s1):280-286.
17. Calderón JH, Valencia RM, Casasa AA, et al. Biomechanical anchorage evaluation of mini-implants treated with sandblasting and acid etching in orthodontics. Implant Dent. 2011;20(4):273-279.
18. Froum SJ, Cho SC, Florio S, Misch CM. Use of narrow-diameter implants in treatment of severely atrophic maxillary anterior region with implant-supported fixed restorations. Compend Contin Educ Dent. 2016;37(5):334-339.
19. Flanagan D, Ilies H, McCullough P, McQuoid S. Measurement of the fatigue life of mini dental implants: a pilot study. J Oral Implantol. 2008;34(1):7-11.
20. Song SY, Lee JY, Shin SW. Effect of implant diameter on fatigue strength. Implant Dent. 2017;26(1):59-65.
21. Jackson BJ. Fixed partial denture treatment with mini dental implants. J Oral Implantol. 2014;40(6):745-750.
22. Mazor Z, Steigmann M, Leshem R, Peleg M. Mini-implants to reconstruct missing teeth in severe ridge deficiency and small interdental space: a 5-year case series. Implant Dent. 2004;13(4):336-341.
23. Degidi M, Nardi D, Piatelli A. Immediate versus one-stage restoration of small-diameter implants for a single missing maxillary lateral incisor: a 3-year randomized clinical trial. J Periodontol. 2009;80(9):1393-1398.
24. Zembíc A, Johannesen LH, Schou S, et al. Immediately restored one-piece single-tooth implants with reduced diameter: one-year results of a multi-center study. Clin Oral Implants Res. 2012;23(1):49-54.
25. Jurkovic R, Holly D, Siebert T, Strecha J. Therapy for missing lower medial incisor by means of reduced diameter implants. J Oral Implantol. 2012;38(2):171-175.
26. Siddiqui AA, Sosovicka M, Goetz M. Use of mini implants for replacement and immediate loading of 2 single-tooth restorations: a clinical case report. J Oral Implantol. 2006;32(2):82-86.
27. Flanagan D. Fixed partial dentures and crowns supported by very small diameter dental implants in compromised sites. Implant Dent. 2008;17(2):182-191.
28. Shatkin TE, Petrotto CA. Mini dental implants: a retrospective analysis of 5640 implants placed over a 12-year period. Compend Contin Educ Dent. 2012;33(spec iss 3):2-9.
29. Simon H, Caputo AA. Removal torque of immediately loaded transitional endosseous implants in human subjects. Int J Oral Maxillofac Implants. 2002;17(6):839-845.
30. Froum SJ, Simon H, Cho SC, et al. Histologic evaluation of bone-implant contact of immediately loaded transitional implants after 6 to 27 months. Int J Oral Maxillofac Implants. 2005;20(1):54-60.
31. Hsu YT, Fu JH, Al-Hezaimi K, Wang HL. Biomechanical implant treatment complications: a systematic review of clinical studies of implants with at least 1 year of functional loading. Int J Oral Maxillofac Implants. 2012;27(4):894-904.
32. Kim Y, Oh TJ, Misch CE, Wang HL. Occlusal considerations in implant therapy: clinical guidelines with biomechanical rationale. Clin Oral Implants Res. 2005;16(1):26-35.
33. Misch CE, Strong JT, Bidez MW. Scientific rationale for dental implant design. In: Misch CE, ed. Contemporary Implant Dentistry. 2nd ed. St Louis, MO: Mosby; 1999.
34. Clelland N, Chaudhry J, Rashid RG, McGlumphy E. Split-mouth comparison of splinted and nonsplinted prostheses on short implants: 3-year results. Int J Oral Maxillofac Implants. 2016;31(5):1135-1141.
35. Greenstein G, Cavallaro J, Smith R, Tarnow D. Connecting teeth to implants: a critical review of the literature and presentation of practical guidelines. Compend Contin Educ Dent. 2009;30(7):440-453.
36. Davis SM, Plonka AB, Wang HL. Risks and benefits of connecting an implant and natural tooth. Implant Dent. 2014;23(3):253-257.
37. Misch CE, Bidez MW. Occlusal considerations for implant supported prostheses. In: Misch CE, ed. Contemporary Implant Dentistry. 2nd ed. St Louis, MO: Mosby, 1999.
38. Symons AL, Stritzel F, Stamation J. Anomalies associated with hypodontia of the permanent lateral incisor and second premolar. J Clin Pediatr Dent. 1993;17(2):109-111.

