Originally published in Compendium, an AEGIS Publications Property. All rights reserved.
Implant-Assisted Overdenture: A Case Report by Doug McMaster, DDS. Originally published in Compendium of Continuing Education in Dentistry 32(8), October 2011. Copyright © 2012 to AEGIS Communications. All rights reserved.
Despre autor:
Doug McMaster, DDS
Private Practice, Tucson, Arizona
Recunoaştere:
Inserarea implantelor, grefarea osoasă, extracţia dinţilor existenţi şi aplicarea protezei imediate au fost efectuate de către Brien Harvey, DDS, MS, Tucson, Arizona. Bara şi ataşamentele au fost confecţionate de Dental Prosthetics, Tucson, Arizona, iar proteza s-a fabricat de Eastside Dental Services, Tucson, Arizona.
[fb-like]
Supraprotezarea totală bimaxilară pe implante: prezentare de caz
Susceptibilitatea extremă a unui pacient la boala parodontală, probabil exacerbată de un istoric de fumător, a condus la distrugere parodontală severă. Prin implicarea unei abordări sistematice care a identificat atât riscul, cât şi prognosticul pacientului cu utilizarea informaţiilor colectate în cursul examinării pacientului, s-a conceput un plan de tratament care a inclus extracţia dinţilor compromişi structural şi folosirea supraprotezelor totale pe implante. Această abordare terapeutică a realizat o reducere a riscului biomecanic parodontal şi dentofacial, precum şi o amplificare a armoniei funcţionale.
În pofida tratamentelor restauratoare realizate consecvent de-a lungul anilor şi a respectării recomandărilor riguroase privind profilaxia dentară, în unele cazuri, eşecul menţinerii dinţilor naturali este inevitabil întrucât chiar şi cea mai bună cooperare dintre medic şi pacient poate fi subminată de susceptibilitatea organismului gazdă.1 Filozofia centrului Kois îmbrăţişează o abordare sistematică ce identifică riscul şi prognosticul pacientului deopotrivă, utilizând datele colectate în cursul examinării pacientului. Această abordare vizează susceptibilitatea în elaborarea unui plan de tratament care reduce riscul pentru viitoarele afecţiuni dentare.
Acest caz documentează un rezultat stomatologic pe care mulţi îl consideră un eşec atât pentru pacient, cât şi pentru clinician: pierderea tuturor dinţilor. Totuşi, prin utilizarea acestor principii sistematice, s-a conceput un plan de tratament care a diminuat riscul pacientului pentru viitoarele probleme dentare şi a oferit o îmbunătăţire semnificativă a calităţii vieţii sale.
Istoricul şi motivele prezentării
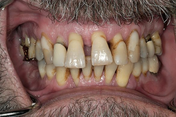
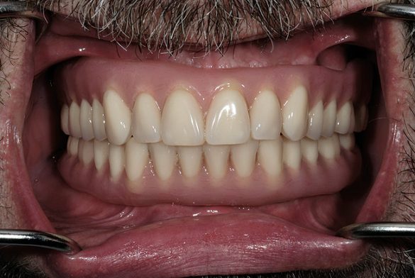
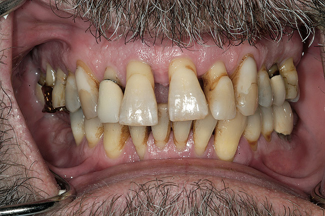
Un pacient în vârstă de 53 ani s-a prezentat cu îngrijorarea majoră privind aspectul, sensibilitatea şi mobilitatea dinţilor săi (fig. 1). El a răspuns pozitiv la chestionarul dentar referitor la sângerarea gingiei, dinţi dureroşi, sensibilitate la temperatură, gustul sau mirosul neplăcut al cavităţii orale, bruxism şi pierderea dinţilor.
Pacientul a relatat că în ultimii 4 ani a vizitat cel puţin trei medici dentişti şi că se prezenta la şedinţe de întreţinere parodontală la intervale de 3 luni. Cel mai recent status radiologic se efectuase în urmă cu un an şi parodontologul îi recomandase proteze totale cu sau fără sprijin implantar.
Considera dezagreabil aspectul ţesutului gingival de la nivelul coletelor dentare şi dorea, pe cât posibil, coroane ca alternative la „placa totală”. Practicând scufundări la nivel profesionist, pacientul se temea de pierderea protezelor în cursul scufundărilor. Era, de asemenea, îngrijorat de faptul că protezele i-ar fi alterat senzaţia gustativă.
Anamneza pacientului a relevat tonsilectomie, apendectomie şi efuziune pleurală în antecedente. Renunţase recent la fumat, lua vitamine şi suplimente nutritive, fără a avea contraindicaţii pentru efectuarea tratamentelor dentare.
Rezultate diagnostice
Parodontale:
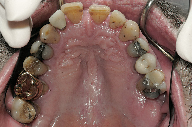
Examinarea a evidenţiat adâncimi de sondare generalizate cuprinse între 5-9mm, cu sângerare generalizată şi locaţii cu supuraţie. Combinaţia recesiunii cu adâncimile de sondare a generat o pierdere de ataşament generalizată cu valori între 8-12mm. Radiografiile au evidenţiat pierdere osoasă orizontală severă, defecte osoase verticale multiple şi aspectul unei posibile comunicări parodontale apicale. Aproximativ jumătate dintre dinţi prezentau mobilitate de clasa I, cu dinţii restanţi având o mobilitate de clasa a 2-a şi a 3-a. Toţi molarii manifestau cel puţin o invazie de furcaţie de gradul 1, cu multiple implicări de gradul 2 şi 3. Diagnosticul s-a stabilit a fi AAP tip IV, parodontită avansată.
Risc: crescut
Prognostic: irecuperabil
Biomecanic:
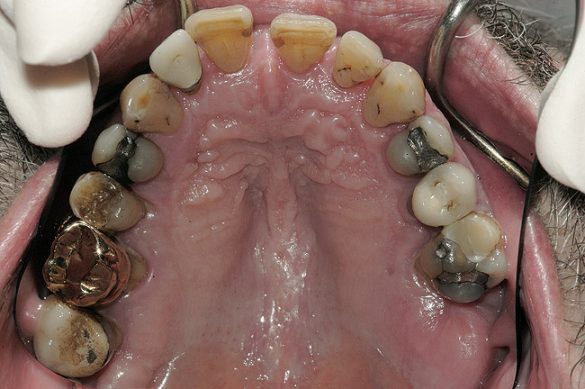
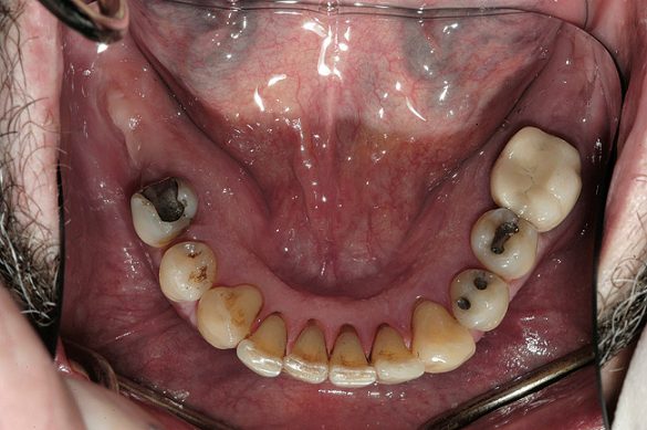
La examinarea clinică, o serie de dinţi prezentau restaurări directe mici acceptabile. Dinţii de la 1.7. la 1.4., de la 1.2. la 2.6., 3.6. şi 4.5. prezentau fie restaurări directe voluminoase, fie coroane cu acoperire totală, cu un grad ridicat de compromitere structurală. Nu s-au identificat leziuni carioase active. Implicarea pulpară era vizibilă la nivelul molarului 3.6.
Risc: moderat
Prognostic: acceptabil
Funcţional:
Pacientul a relatat o tendinţă ocazională de bruxism. Examinarea a evidenţiat sensibilitatea musculaturii masticatorii şi crepitaţii la nivelul ATM. Era prezentă atriţia minimă la toţi dinţii frontali. Dinţii frontali erau în contact, iar dinţii maxilari frontali era evazaţi şi mobili. Istoricul pacientului privind bruxismul, alături de crepitaţii şi sensibilitatea musculară a contribuit la diagnosticul disfuncţiei ocluzale.
Risc: moderat
Prognostic: acceptabil
Dentofacial:
La examinare s-au obiectivat: dinamică labială maxilară crescută, cu afişarea în repaus a 3-4mm din incisivi. La zâmbetul total, marginile gingivale libere nu erau vizibile, datorită recesiunii, dar 2-4mm din structura radiculară era vizibilă dincolo de joncţiunea smalţ-cement (CEJ) la toţi dinţii superiori. Festonul ţesutului moale era apropiat de normal, însă părea neatractiv datorită gradului mare de recesie şi a pierderii papilei. În regiunea frontală inferioară s-a remarcat asimetria orizontală (fig. 2).
Risc: crescut
Prognostic: slab
Medical:
Nu existau contraindicaţii pentru tratamentul dentar în momentul respectiv. Obişnuia să fumeze, iar acest detaliu putea fi considerat un factor de risc uşor crescut pentru inserarea implantelor dentare.2-4
Risc: scăzut
Prognostic: bun
Obiective terapeutice
Consideraţiile privind managementul riscului şi planul de tratament au fost elaborate utilizându-se o abordare sistematică. Tratamentul ar fi redus riscul biomecanic prin eliminarea dinţilor compromişi structural (fig. 3,4), cu diminuarea concomitentă a riscului funcţional prin crearea unei ocluzii în armonie cu articulaţiile. În plus, tratamentul ar fi redus riscul parodontal prin îndepărtarea dinţilor irecuperabili, cu implicare parodontală, (fig. 5) şi ar fi îmbunătăţit estetica prin ridicarea cu 3mm a planului ocluzal pentru a minimiza expunerea gingivală şi a rădăcinilor.5-8
În plus, obiectivele tratamentului au vizat două cerinţe specifice din partea pacientului: rezultatul restaurator să fie suficient de stabil pentru a menţine un dispozitiv de reglare folosit la scufundări, iar palatul expus să facă parte din tratament cu scopul de a preveni alterarea gustului.9-13
Plan de tratament
Planul de tratament a constat dintr-o consultaţie cu parodontologul pentru identificarea celor mai bune locaţii pentru implantare şi confecţionarea unei proteze provizorii imediate. Se prevedea şi fabricarea unui şablon chirurgical, cu extragerea tuturor dinţilor, urmată de aplicarea protezei imediate. S-a stabilit că cele mai bune locaţii pentru inserarea implantelor cu cea mai mare lungime sunt poziţiile corespunzătoare dinţilor 1.3., 1.1., 2.3., 2.5., 3.6., 3.3., 4.3. şi 4.6., cu aplicarea finală a protezelor totale susţinute pe implante.
Etape de tratament
În cursul consultaţiei cu parodontologul, s-a stabilit imposibilitatea menţinerii vreunui dinte. S-au identificat posibilele lăcaşuri pentru implantare prin utilizarea radiografiilor şi a modelelor de studiu.
S-a conceput proteza provizorie imediată (fig. 6). Suprafaţa vestibulară a incisivului 2.1. era în poziţia orizontală dorită şi după scurtarea sa cu 3mm se afla şi în poziţia verticală dorită. Dintele 2.1. modificat a devenit apoi dintele „reper”, stabilind poziţia muchiei incizale. Laboratorului dentar i s-au oferit instrucţiuni pentru a înălţa dinţii superiori restanţi, menţinându-i la nivel cu poziţia scurtată a dintelui reper, cu întregirea planului ocluzal. Dinţii frontali inferiori au fost scurtaţi cu 2mm pe modelul diagnostic, stabilind poziţia muchiei incizale inferioare, iar laboratorul a fost instruit să închidă dimensiunea verticală de ocluzie cât era necesar pentru redobândirea contactului anterior dorit cu arcada superioară.
În cursul extracţiilor dentare şi al inserării implantelor proteza provizorie imediată a fost utilizată ca şablon chirurgical. S-au plasat orificii în proteza acrilică prin suprafaţa ocluzală sau linguală în dreptul dinţilor 1.3., 1.1., 2.3., 2.5., 3.6., 3.3., 4.3. şi 4.6. Proteza temporară s-a folosit ca şablon chirurgical propriu-zis pentru a minimiza costurile şi a permite programarea imediată. S-au extras dinţii, s-a efectuat grefarea osoasă necesară, s-au inserat implantele şi s-a aplicat proteza provizorie. Pe parcursul următoarelor luni a fost necesară o serie de rebazări ale protezei provizorii cu scopul de a adapta vindecarea ţesuturilor moi şi de a obtura orificiile efectuate pentru obţinerea şablonului chirurgical; aceasta nu a compromis confortul sau adaptarea pacientului. La scurt timp după aplicarea protezei provizorii, pacientul a putut observa o diminuare a percepţiei gustului.
Proteza provizorie s-a apropiat extrem de mult de atingerea obiectivelor de ridicare a planului ocluzal pentru estetică şi repoziţionarea palatinală a incisivilor superiori (fig. 7). Încercarea de a eleva planul ocluzal a condus din punct de vedere estetic la situaţia în care planul ocluzal al protezei provizorii era superior faţă de acrilatul care acoperea tuberozitatea maxilară (fig. 8). În cursul perioadei de integrare, proteza provizorie a fost menţinută pe implanturile în curs de vindecare.
Pe perioada integrării implantelor s-au confecţionat proteze noi. S-a amprentat nivelul elementelor fixe prin utilizarea unei tehnici cu lingura deschisă. Înainte de proba machetei, proteza provizorie a fost modificată pentru a închide diastema, permiţând pacientului şi familiei acestuia să decidă dacă doresc menţinerea diastemei în proteza finală. Pacientul a optat pentru închiderea diastemei în proteza finală. S-a stabilit planul ocluzal final, plasat uşor mai inferior faţă de planul ocluzal al protezei temporare.
Odată ce pacientul a acceptat macheta de ceară, s-au confecţionat matrice siliconice ale machetei superioare şi inferioare. Aceste matrice sau şabloane se adaptau pe modelele master care conţineau analoagele fixe şi capturau întreaga porţiune vestibulară şi o parte a suprafeţelor ocluzale ale dinţilor.
Matricele siliconice s-au utilizat pentru a concepe locaţia barei şi a ataşamentului pe modelul master cu scopul de a crea grosimea adecvată a scheletului şi a acrilatului protezei. La arcada mandibulară, forma includea o bară cadru întreruptă pe linia mediană pentru a reduce efectul flexurii mandibulare.14-17 Datorită severităţii bolii parodontale, s-a anticipat şi s-a instalat un mare grad de contracţie tisulară. Exista un spaţiu interocluzal adecvat pentru a crea ansamblul barei şi s-au selectat ataşamentele, cu menţinerea înălţimii la un nivel minim. Spaţiul disponibil pentru aplicarea barei se poate vedea cu uşurinţă cu ajutorul şablonului siliconic poziţionat pe modelul master, iar laboratorul a confecţionat bara cu ataşamente. Arcada inferioară prezenta un spaţiu cu 3mm mai mare decât arcada superioară, ca rezultat al ridicării planului ocluzal şi al modificării dimensiunii verticale de ocluzie. S-au folosit cleme pentru a oferi stabilizarea tripodică şi posibila retenţie alternativă în cazul în care elementele fixe pe implante s-ar compromite în viitor. S-a efectuat proba barei şi a ataşamentelor, s-a verificat pasivitatea şi s-au probat machetele din ceară ale protezelor, pe ansamblul de bară şi ataşament, pentru a confirma obţinerea obiectivelor estetice şi funcţionale.
Protezele au fost prelucrate şi apoi reinserate intraoral pe schelete şi ataşamente (fig. 10, 11). S-a efectuat o înregistrare a ocluziei cu un stop de deprogramare frontal şi cazul a fost remontat pentru perfecţionarea ocluzală.
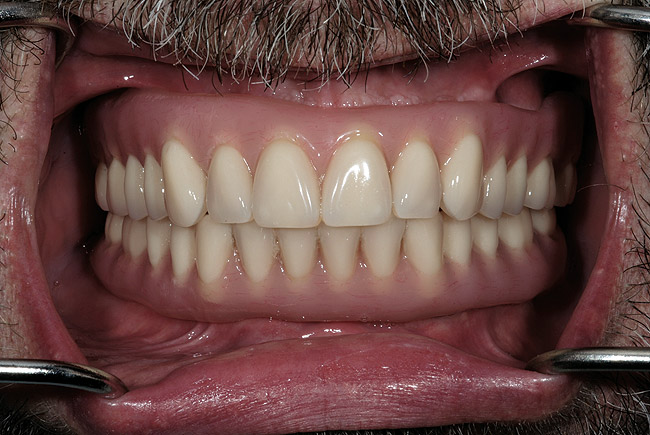
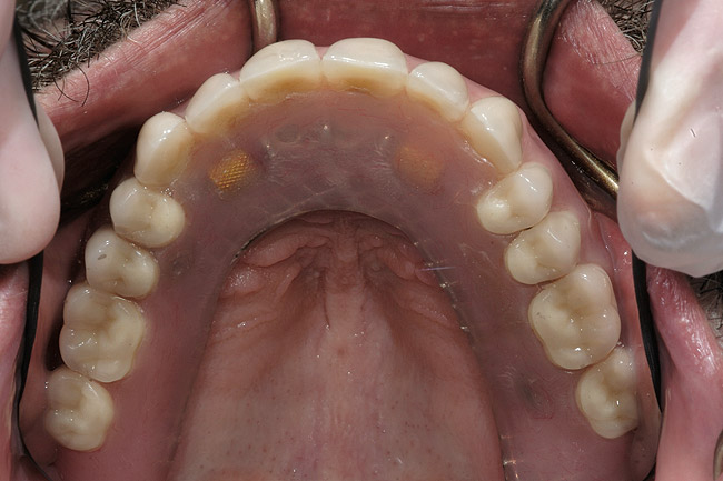
Barele s-au înşurubat pe implante şi s-au inserat protezele finale, explicând pacientului instrucţiunile aferente (fig. 12, 13).
Concluzii
Recunoaşterea riscurilor ce pot cauza eşuarea restaurării sau a terapiei dentare mai devreme decât se anticipează iniţial poate fi foarte valoroasă. Pacientul din acest caz a beneficiat de un tratament restaurator acceptabil. Atât pacientul cât şi practicienii din domeniul parodontologiei au depus eforturi consistente pentru a trata şi a menţine starea de sănătate parodontală. Cu toate acestea, susceptibilitatea extremă a pacientului la boala parodontală, probabil exacerbată de istoricul de fumător, a condus la o distrugere parodontală severă.
Cunoaşterea susceptibilităţii semnificative a pacientului la boală parodontală şi conceperea planului de tratament pentru a reduce şi gestiona riscul a permis ameliorarea prognosticului pe termen lung. Extragerea tuturor dinţilor a anulat riscul biomecanic şi parodontal. Proteza sprijinită pe implante s-a conceput pentru a fi în armonie funcţională, iar riscul dentofacial a fost gestionat prin poziţionarea verticală a dinţilor din proteză mai favorabil în cadrul structurii labiale şi faciale. O revizuire sistematică a riscului şi a prognosticului a clădit bazele planului de tratament ce a oferit îmbunătăţirea semnificativă în calitatea vieţii pacientului şi a diminuat riscul problemelor dentare viitoare.













Referinţe bibliografice:
-
Burt B. Position paper: epidemiology of periodontal diseases. J Periodontol. 2005;76(8):1406-1419.
-
Kumar A, Jaffin RA, Berman C. The effect of smoking on achieving osseointegration of surface-modified implants: a clinical report. Int J Oral Maxillofac Implants. 2002;17(6):816-819.
-
DeLuca S, Habsha E, Zarb GA. The effect of smoking on osseointegrated dental implants. Part I: implant survival. Int J Prosthodont. 2006;19(5):491-498.
-
Schwartz-Arad D, Samet N, Samet N, Mamlider A. Smoking and complications of endosseous dental implants. J Periodontol. 2002;73(2):153-157.
-
Kokich VO Jr, Kiyak HA, Shapiro PA. Comparing the perception of dentists and lay people to altered dental esthetics. J Esthet Dent. 1999;11(6):311-324.
-
Vig RG, Brundo GC. The kinetics of anterior tooth display. J Prosthet Dent. 1978;39(5):502-504.
-
Tjan AH, Miller GD, The JG. Some esthetic factors in a smile. J Prosthet Dent. 1984:51(1):24-28.
-
Spear F. Too much tooth, not enough tooth: making decisions about anterior tooth position. J Am Dent Assoc. 2010;141(1):93-96.
-
Kapur KK, Soman SD. Masticatory performance and efficiency in denture wearers. 1964. J Prosthet Dent. 2006;95(6):407-411.
-
Siadat H, Alikhasi M, Mirfazaelian A, et al. Patient satisfaction with implant-retained mandibular overdentures: a retrospective study. Clin Implant Dent Relat Res. 2008:10(2):93-98.
-
Gibbs CH, Mahan PE, Mauderli A, et al. Limits of human bite strength. J Prosthet Dent. 1986;56(2):226-229.
-
Awad MA, Lund JP, Dufresne E, Feine JS. Comparing the efficacy of mandibular implant-retained overdentures and conventional dentures among middle-aged edentulous patients: satisfaction and functional assessment. Int J Prosthodont. 2003;16(2):117-122.
-
Allen PF, McMillan AS. A review of the functional and psychosocial outcomes of edentulousness treated with complete replacement dentures. J Can Dent Assoc. 2003:69(10):662.
-
Zarone F, Apicella A, Nicolais L, et al. Mandibular flexure and stress build-up in mandibular full-arch fixed prostheses supported by osseointegrated implants. Clin Oral Implants Res. 2003;14(1):103-114.
-
Paez CY, Barco T, Roushdy S, Andres C. Split-frame implant prosthesis designed to compensate for mandibular flexure: a clinical report. J Prosthet Dent. 2003;89(4):341-343.
-
Misch CE, ed. Diagnostic casts, preimplant prosthodontics, treatment prostheses, and surgical templates. In: Contemporary Implant Dentistry. 2nd ed. St Louis, MO: Mosby; 1999:135-149.
-
Misch CE, ed. Mandibular full-arch implant fixed prosthetic options. In: Dental Implant Prosthetics. St Louis, MO: Elsevier Mosby; 2005:252-264.

