INTERVIU cu maestrul tehnician dentar Jürgen FREITAG, Bad Homburg, Germania
Zahntechnik Magazin 07/2019, Spitta GmbH, Germany

”Nu am mai întâlnit până acum asemenea proprietăți de modelare. Cut-back-ul cu VITA AMBRIA și caracterizarea cu VITA LUMEX AC reprezintă un adevărat model de viitor și mă ajută să obțin rezultate deosebit de estetice în mod rapid și fiabil.”
În ciuda succesului pe termen lung a CAD/CAM, multe laboratoare mai folosesc ceara de modelat, masa de ambalat, arderea și presarea la realizarea protezelor integral ceramice. Aceasta este realitatea. MDT Jürgen Freitag (Bad Homburg, Germania) a folosit deja noua ceramică presată VITA AMBRIA la realizarea a peste 50 restaurări pentru 20 pacienți diferiți. În acest interviu, ne împărtășește experința sa cu noul material și descrie protocolul utilizat la ceramica integrală în combinație cu ceramica de fațetare universală VITA LUMEX AC.
Domnule Freitag, ați schimbat ceramica presată cu ceramica pe bază de disilicat de litiu, VITA AMBRIA. Ca urmare a acestei schimbări ați modificat și metoda de lucru?
Metodele mele generale de lucru nu s-au schimbat deloc cu VITA AMBRIA. Pur și simplu am folosit componentele corespondente ale sistemului precum ringurile pentru ambalare, masa de ambalat, lichidul și pistonul în conformitate cu instrucțiunile de utilizare. Nici la timpul de procesare nu a fost vreo diferență. Schimbările pozitive includ precizia, estetica naturală și acuratețea cromatică absolută la standardul de culori VITA pe care reușesc să-l obțin cu această ceramică vitroasă.
Care a fost rezultatul de presare imediat după dezambalare și ce ați observat în timpul procesului de finisare?
Stratul de reacție este minim. În timpul dezambalării și sablării, materialul s-a dovedit extrem de rezistent. Nu trebuia să acord atât de multă atenție cum fac în general în cazul altor ceramici presate. În timpul etapelor de testare, am sablat la o presiune între 2.5 și 3 bar cu o granulație de 110 microni fără efecte negative. Conform instrucțiunilor de utilizare, dimensiunea particulelor ar trebui sa fie de doar 50 microni, iar presiunea 4 bar. Materialul s-a dovedit extrem de stabil și la prelucrarea cu gume de lustru.
Ce experiență ați avut cu adaptarea și adaptarea marginală în laborator și la pacient?
Datorită stratului minim de reacție, marginile restaurării sunt clar definite. Prin interacțiunea dintre masa de ambalat și ceramica vitroasă se obțin rezultate stabile dimensional. După finisare, am pus restaurările pe model și s-au potrivit. Același feedback l-am primit și de la cabinet. Nu au existat probleme de adaptare în procesul de integrare, nici la reconstrucțiile totale mai complexe.
Ce posibilități întrevedeți de pe urma interacțiunii dintre ceramica presată VITA AMBRIA și noua ceramică de fațetare VITA LUMEX AC?
Nu am mai întâlnit până acum asemenea proprietăți de modelare. Datorită dimensiunii particulelor, materialele de fațetare pot fi modelate printr-o atingere delicată. În combinație cu stabilitatea remarcabilă, pot obține forma mai rapid din mai puține ajustări. Cut-back-ul cu VITA AMBRIA și individualizarea posibilă cu VITA LUMEX AC reprezintă un model de viitor pentru mine și mă ajută să obțin rezultate deosebit de estetice în mod rapid și fiabil.
Fig. 1 Fațete și coroane totale din VITA AMBRIA și VITA LUMEX AC cu o adaptare optimă și o interacțiune versatilă de culoare și lumină. © Jürgen Freitag, MTD
Fig. 2: VITA LUMEX AC permite modelarea precisă, datorită stabilității remarcabile și interconectării optime a particulelor ceramice prin distribuția ideală a acestora.
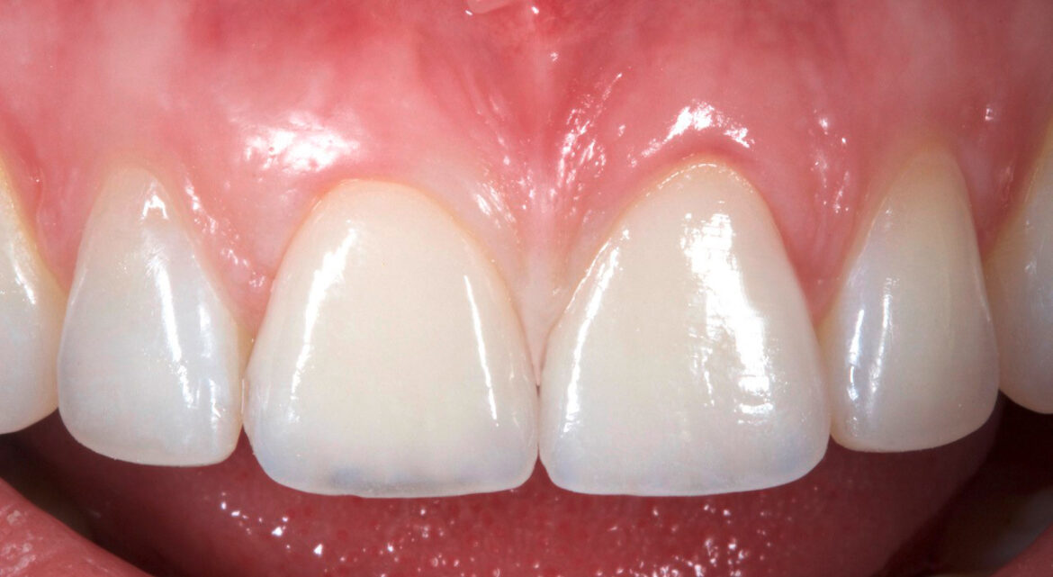
Fig. 3: Coroanele parțiale cimentate intraoral pe dinții 1.1. și 2.1. s-au integrat natural și armonios în dentiția naturală. © Jürgen Freitag, MTD
VITA® și alte produse VITA menționate sunt mărci înregistrate VITA Zahnfabrik H. Rauter GmbH & Co. KG, Bad Säckingen, Germania.

