MORFOLOGIA GINGIEI
Datorită inovațiilor tehnologice realizarea digitală a protezelor devine din ce în ce mai uzuală în laboratoarele dentare. Avantajele protezei digitale includ fabricarea eficientă, buna adaptare de la început, iar în caz de pierdere sau deteriorare, reproducerea acesteia printr-un singur click.
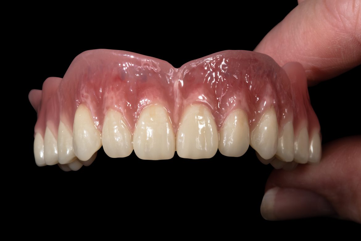
Realizarea morfologiei anatomice a bazei protezei este posibilă în software-ul CAM la fel ca și când s-ar folosi un cuțit de ceară și instrumente de modelat. În plus, ca dinte de sine stătător, non-bloc, VITA VIONIC VIGO oferă libertatea necesară gingiei în timpul modelării virtuale a bazei protezei.
Totuși, până acum efectul cromatic caracteristic frenului labial, vaselor de sânge, crestelor alveolare și gingiei atașate sau neatașate au putut fi reproduse doar cu ajutorul măiestriei tehnicianului și a unei pensule. Aici intră în joc culorile de pictură fotopolimerizabile VITA AKZENT LC cu efectul lor cromatic multi-fațetat, transformând lamboul labial vestibular într-o pânză pentru pictură și creație.
LAMBOUL LABIAL VESTIBULAR DĂ FRÂU LIBER CREATIVITĂȚII
Pentru aderarea micro-retentivă, lamboul labial vestibular a fost reconturat cu o freză pentru acrilat iar zona respectivă a fost sablată cu oxid de aluminiu. Apoi, prin pensulare a fost revitalizată zona estetică a bazei monocromatice. În acest sens s-au folosit culorile de pictură VITA AKZENT LC EFFECT STAINS în nuanțele albastru, roz, alb și roșu închis.
La caracterizarea gingiei atașate și a frenului labial, s-a pregătit un amestec 1:1 din alb și roșu închis pe paleta de mixare. Cu acesta s-a trasat ușor linia frenului labial și s-a reconturat forma și culoarea crestelor alveolare în zona ginigei atașate de la 1.3. la 2.3. Astfel, gingia marginală neatașată din jurul ariei cervicale a fost omisă pentru a reda aspectul roșiatic al arcadelor alveolare.
Sub crestele alveolare conice și în special în zonele concave ale lamboului labial, mucoasa a fost reprodusă printr-un amestec 1:1 între roșu închis și roz. La final, vinișoarele și arterele din mucoasa intraorală au fost reproduse cu albastru și roșu închis.
După fiecare etapă s-a efectuat polimerizarea intermediară în cuptorul foto pentru a asigura fixarea culorilor de pictură înainte de aplicarea substanței următoare. După caracterizarea întregii suprafețe cu VITA AKZENT LC GLAZE, proteza s-a introdus în cuptorul foto pentru polimerizarea finală.
Pentru mai multe informații vizitați
https://www.vita-zahnfabrik.com/VITA_AKZENT_LC_HUB.html
sau contactați Adrian Apreotesei +40 730 091 179
DESPRE AUTORI:

Martina ROSENBUSCH, CDT
• 1984 Completion of training as a dental technician in Nuremberg
• 1984–1993 Dental technician in various commercial laboratories and dental practices in Germany
• Since 1993 course instructor at VITA Zahnfabrik in national and international countries; Main areas of activity: Ceramics, CAD/CAM technology and total prosthetics
• Advanced training courses in the field of total prosthetics analog/digital and ceramics
• Since 2021 additional focus VITA Hotline

Andreas BUCHHEIMER, CDT
After successfully completing his training as a dental technician, Andreas Buchheimer worked in various laboratories. At VITA Zahnfabrik, Mr. Buchheimer started as a dental technician in application technology (1999) and subsequently took over the management of application technology (2001–2020). During this time, he has attended several advanced training courses, as well as (2015) successfully passed the advanced training examination CAD/CAM/CNC specialist digital dental technology. Since 2020, Mr. Buchheimer has been supporting technical customer service with his expertise.













