Material compozit autopolimerizabil
pentru realizarea coroanelor şi punţilor provizorii
Structur 3 este noul material autopolimerizabil de la firma VOCO folosit pentru realizarea rapidă a coroanelor şi punţilor provizorii de o calitate excelentă, precum şi pentru confecţionarea incrustaţiilor de tip inlay/onlay, faţetelor şi pivoţilor provizorii. Cu ajutorul produsului Structur 3 se pot realiza restaurări protetice provizorii de lungă durată. Un alt domeniu de utilizare este ca bază aplicată în coroanele provizorii prefabricate din material compozit, din policarbonat sau metal. Structur 3 dispune de o stabilitate extraordinară şi proprietăţi estetice deosebite, fiind rapid şi uşor de folosit.
Materialul Structur 3 este un material ideal. Aplicarea sa este uşoară şi rapidă. Datorită raportului de mixare de 1:1, Structur 3 poate fi aplicat în lingura de amprentă fără erori de mixare şi într-un timp de lucru foarte scurt. Timpul de priză intra-oral este de numai 45 secunde. Piesa protetică temporară poate fi îndepărtată fără efort, din amprentă, pe durata fazei elastice. Structur 3 se întăreşte complet în doar patru minute de la începerea mixării. După ce stratul de inhibiţie a fost îndepărtat cu o bucată de tifon îmbibată cu alcool, piesa temporară prezintă un luciu identic cu dintele natural şi nu necesită o şlefuire suplimentară.
Restaurările realizate cu materialul Structur 3 sunt extrem de estetice iar luciul lor natural şi fluorescenţa sunt foarte apropiate de restaurarea finală. Acest lucru este datorat gamei largi de nuanţe disponibile. Structur 3 în cartuş este disponibil în opt nuanţe ale cheii de culori VITA (A1, A2, A3, A3.5, B1, B3, C2, BL). În plus, Structur 3 se găseşte şi în seringa cu mixare rapidă QuickMix ce se prezintă în patru nuanţe diferite (A1, A2, A3, B1). Această seringă este indicată în special pentru piesele protetice temporare mai mici sau pentru corecţii, în cazul în care este necesar a se utiliza numai o cantitate mică de material pentru realizarea corecţiei. Piesele protetice temporare pot fi individualizate prin folosirea combinaţiei cu materialul compozit universal Grandio®SO Flow.
Restaurările temporare trebuie să fie rezistente şi stabile. Scopul lor este de a proteja dintele preparat şi de a asigura că funcţia masticatorie nu este afectată. Materialul trebuie să reziste la forţele masticatorii pe toată durata folosirii. Această cerinţă este şi mai importantă la părţile mai fragile ale restaurării, cum ar fi marginile coroanelor care sunt mai subţiri pe laturi. Structur 3 satisface toate aceste cerinţe. Rezistenţa sa la compresiune de peste 500MPa şi o rezistenţă mare la fracturare fac ca Structur 3 să fie soluţia pentru piese protetice temporare durabile şi rezistente. În plus, suprafaţa netedă a materialului Structur 3 nu facilitează aderenţa particulelor la material cum ar fi cafeaua, ceaiul, nicotina etc şi astfel nu se decolorează.
Proprietăţile produsului Structur 3 combină trei caracteristici cruciale pe care atât utlizatorii cât şi pacienţii le consideră esenţiale pieselor protetice temporare.
Producător:
VOCO GmbH, P.O. Box 767, 27457 Cuxhaven, Germania, www.voco.com
Structur 3: Tehnologie nano-hibridă de top
Restaurările temporare joacă un rol important în realizarea protezelor conjuncte. În timp ce medicii dentişti pun accent pe protejarea dintelui preparat şi asigurarea unei bune rezistenţe împotriva fracturilor, pacienţii îşi doresc din ce în ce mai mult restaurări temporare care să le satisfacă cerinţele estetice şi care să aibă o suprafaţă plăcută la atingere. VOCO a dezvoltat un compozit autopolimerizabil îmbunătăţit pentru fabricarea coroanelor şi punţilor. Bazat pe propria tehnologie nano-hibridă VOCO, Structur 3 stabileşte un nou standard în ceea ce priveşte trei aspecte importante: manevrabilitate, estetică şi durabilitate.
Manevrabilitatea
Sistemul de cartuşe cu mixare 1:1, cu câte un cartuş de 50 ml sau o seringă QuickMix de 5 ml, asigură o mixare omogenă şi o polimerizare uniformă. Aceasta este soluţia ideală pentru a asigura o aplicare simplă şi fără erori (Fig. 1). Timpul de polimerizare intraorală de 45 secunde este favorabil pacientului şi este semnificativ mai scurt decât în cazul produselor concurente. Parametrul cheie al manevrabilităţii constă în generarea de căldură în timpul polimerizării. Materialele care în timpul polimerizării generează o temperatură de 41°C prezintă riscul devitalizării dintelui prin denaturare. Măsurătorile efectuate la Facultatea de Ştiinţe Medicale din Hanovra de Dr. Borchers arată că Structur 3 nu determină încălzirea exagerată a pulpei dentare[2]. În comparaţie cu alte materiale, în timpul polimerizării intraorale, Structur 3 produce cea mai mică creştere a temperaturii pulpare. Finisarea marginilor poate să înceapă după doar patru minute de la începerea mixării, iar singura etapă prealabilă constă în îndepărtarea stratului de inhibiţie format de oxigen, folosind o pânză îmbibată în alcool, pentru a obţine un luciu strălucitor. Studiul realizat de Fleming a concluzionat că, printre altele, Structur 3 prezintă cea mai mică rugozitate a suprafeţei după îndepărtarea stratului de inhibiţie, comparativ cu principalele materiale concurente de pe piaţă [1]. Nu este necesar consum de timp pentru lustruirea suprafeţei Structur 3; astfel, timpul de finisare se reduce şi mai mult.
Estetică
Aşa cum demonstra şi studiul anterior, suprafaţa fină permite pacienţilor îndepărtarea mai uşoară a plăcii bacteriene, restaurările temporare rezistând astfel modificărilor de culoare cu păstrarea aspectului estetic pentru un timp îndelungat. Fluorescenţa materialului Structur 3 a fost adaptată la cea a dinţilor umani, fapt care contribuie şi mai mult la aspectul optim al restaurării temporare. O selecţie de 8 nuanţe permite ajustarea precisă la culoarea dintelui natural al pacientului.
Durabilitatea
Fracturarea restaurărilor temporare este neplăcută pentru pacienţi, în timp ce pe medicul dentist repararea sau refabricarea restaurărilor temporare îl costă timp şi bani. Parametrii fizici ai materialelor folosite pentru restaurările temporare sub formă de punţi şi coroane, inclusiv cele temporare de durată, trebuie să ofere pe termen lung o rezistenţă fiabilă la forţele masticatorii zilnice. Într-un studiu al Universităţii din Regensburg[3] au fost realizate coroane temporare dintr-o varietate de materiale, iar acestea au fost supuse unor teste de rezistenţă la fractură. Studiul a demonstrat că Structur 3 are cel mai mare grad de rezistenţă la fractură, ce depăşeşte 500 MPa (bazat pe ISO 9917).
Aplicarea clinică
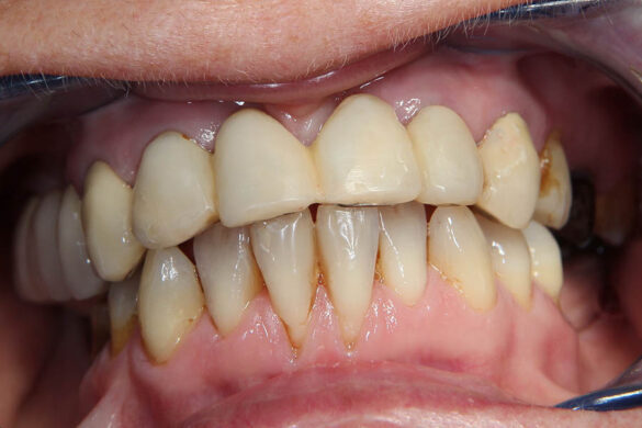
În urma unui traumatism pe care l-a suferit un pacient în vârstă de 57 de ani, faţetele punţii ceramice s-au fracturat extensiv în regiunea cuprinsă între cei doi canini superiori. Iniţial, după accident faţetele au fost reparate direct cu compozit (fig. 2).
Înainte de fabricarea noii restaurări, s-a înregistrat o amprentă cu alginat care a servit ca tipar negativ pentru restaurarea cu Structur 3, după care s-a îndepărtat puntea şi s-au preparat bonturile. În trecut, când restaurările temporare se realizau din materiale mai puţin reziliente, în practica dentară se înregistrau amprente din silicon pentru fabricarea punţilor şi coroanelor provizorii. Aceste amprente erau păstrate pentru a fi utilizate ulterior în repararea sau refabricarea restaurărilor, în eventualitatea unei deteriorări ulterioare. Cu Structur 3, acestea nu mai sunt necesare datorită experienţei optime cu acest material.
Figura 3 prezintă bonturile preparate. Amprenta din alginat umplută cu Structur 3 este reinserată (fig. 4). După 45 secunde de polimerizare intraorală, materialul este încă uşor elastic şi poate fi îndepărtat cu uşurinţă de pe bonturi (fig. 5). După 4 minute de la începerea mixării, restaurarea temporară este polimerizată suficient pentru a fi finisată. Stratul de inhibiţie este îndepărtat cu o pânză îmbibată în alcool şi este deja vizibil un luciu strălucitor (fig. 6).
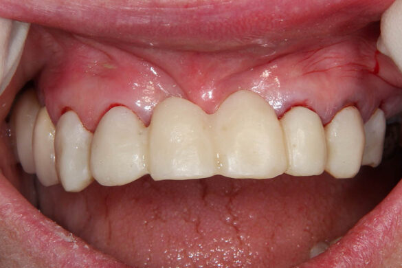
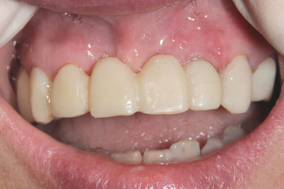
Cea mai mare parte a excesului de material poate fi îndepărtată cu o foarfecă pentru coroane sau cu un instrument rotativ. Finisarea interdentară este importantă pentru a asigura menţinerea igienei restaurării temporare. Înainte de finisare, se verifică adaptarea intraorală (fig. 7).
Lustruirea suprafeţei nano-hibride, precedată de finisarea cu instrumente rotative, oferă un rezultat foarte estetic şi funcţional, iar timpul de finisare este redus considerabil (fig. 8). Suprafaţa fină a materialului Structur 3 este deosebit de plăcută la atingere pentru pacient, care poate mânca şi zâmbi fără nicio grijă cu această punte temporară (fig. 9).
Concluzie
Mulţumită tehnologiei nano-hibride, Structur 3 de la VOCO obţine performanţe “strălucitoare” în ceea ce priveşte manevrabilitatea, estetica şi durabilitatea compozitelor autopolimerizabile. Medicul dentist este în măsură să realizeze într-un timp mai scurt restaurări estetice de înaltă calitate şi durabile, cu care pacientul se simte bine. Atât pentru pacient, cât şi pentru medicul dentist, acesta este un motiv să zâmbească.
Despre autor:
Dr. med. dent. Ludwig Hermeler, Rheiner Str. 30, 48432 Rheine, Germania
Născut în 1964;
Licenţa în practica stomatologică şi doctoratul – în 1988 la Westfälische Wilhelms Universität Münster;
Propria clinică stomatologică – în Rheine, în 1991;
Publicaţii pe subiecte de estetică dentară, albire, implantologie şi endodonţie; membru al DGOI (Asociaţia Germană de Implantologie Orală).
Bibliografie:
- Fleming et al., Trinity College Dublin, 2012
- Dr.-Ing. Lothar Borchers, Hanover Medical School (MHH), un raport privind studiul, „Temperaturerhöhung in der Pulpa präparierter Zähne bei der Aushärtung von Provisorien aus verschiedenen Kunststoffen“ (Temperatura pulpei dintelui preparat creşte când polimerizăm restaurări temporare realizate din diferite compozite), 26.07.11
- Dr. Reinhard Lang, Universitatea din Regensburg











