Originally published in Compendium, an AEGIS Publications Property. All rights reserved.
Current Clinical Strategies with Lithium-Disilicate Restorations by Stephen J. Chu, DMD, MSD, CDT. Originally published in Compendium of Continuing Education in Dentistry 33(1), January 2012. Copyright © 2012 to AEGIS Communications. All rights reserved.
Despre autor:
Stephen J. Chu, DMD, MSD, CDT
Clinical Associate Professor and Director of Esthetic Education, Columbia University, College of Dental Medicine, New York, New York
Strategii clinice curente în cazul restaurărilor din disilicat de litiu
Ceramicele au o istorie bogată în stomatologie, jucând un rol esenţial în oferirea restaurărilor de înaltă calitate, cu aspect natural. Din primele zile ale coroanelor ceramice cu acoperire totală la ceramicele de sticlă ranforsate cu leucit ale anilor 1990 şi până la materialele ceramice de sticlă pe bază de disilicat de litiu monolitic de a treia generaţie, tehnologiile ceramice au evoluat şi vor continua să revoluţioneze stomatologia estetică modernă. În acest articol sunt prezentate două cazuri care ilustrează restaurările cu acoperire parţială şi totală deopotrivă, utilizând ceramicele de sticlă pe bază de disilicat de litiu.
Ceramicele s-au bucurat de o istorie bogată în stomatologie, de la coroana ceramică totală şi coroana de alumină lipsită de contracţie până la coroanele din ceramică de sticlă obţinute prin turnare.1-4 La începutul anilor 1990 s-au dezvoltat ceramicele de sticlă ranforsate cu leucit (leucite-reinforced glass ceramics, LRGC), care implicau cristale de leucit într-o matrice de sticlă amorfă. Particulele de leucit au crescut rezistenţa materialului prin limitarea propagării fisurilor. Aceste restaurări implicau tehnica turnării prin metoda cerii pierdute şi tehnologia de presare termică.5 În plus, abilitatea de a grava acid suprafaţa şi de a o ataşa adeziv la structura dentară a îmbunătăţit semnificativ predictibilitatea şi supravieţuirea acestor restaurări, în cazul cărora eforturile anterioare eşuau.6 Restaurările LRGC au trecut testul timpului şi au revoluţionat stomatologia estetică modernă.
Dezvoltarea ulterioară a continuat apoi cu introducerea materialelor ceramice din sticlă pe bază de disilicat de litiu (lithium-disilicate glass-ceramic, LDGC), care au îmbunătăţit rezistenţa restaurărilor unidentare şi pluridentare. Problemele precoce înregistrate se corelau cu defaţetarea de pe schelet a ceramicii stratificate, datorită îndepărtării inadecvate a stratului de material de ambalare. LDGC de a doua generaţie aborda preocupările de fisurare şi defaţetare a ceramicii de stratificare.
Recent, s-a elaborat un material ceramic din sticlă pe bază de disilicat de litiu monolitic de a treia generaţie cu valori de rezistenţă flexurală cuprinsă între 360-400MPa pentru restaurările CAD, respectiv pentru cele presate. Studiile in vitro de laborator privind restaurările unidentare utilizând testele de fatigabilitate la mişcările cavităţii bucale au arătat rezultate impresionante, întrucât nu s-au raportat eşecuri după 180.000 de cicluri, la o valoare de încărcare de 900 N.7 Utilizarea unui asemenea material pentru protezele dentare fixe (FDP) ridică în continuare unele semne de întrebare datorită rezistenţei ariilor de conexiune, înţelegându-se faptul că rezistenţa conectorului este o funcţie a localizării în cavitatea bucală, cum ar fi de ex. FPD anterioară versus FDP posterioară, precum şi o funcţie a dimensiunii. Datele privind ratele de supravieţuire pe 2-8 ani ale FDP de disilicat de litiu variază între 50-93% şi sugerează că lucrările adiţionale din această sferă necesită cercetări şi dezvoltări suplimentare.8-12
APLICAȚII CLINICE
Acoperire parţială
Restaurările cu acoperire parţială, precum inlay-urile şi onlay-urile, sunt indicaţii excelente pentru ceramicele de sticlă pe bază de disilicat de litiu datorită rezistenţei lor superioare la oboseală.
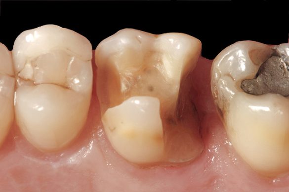
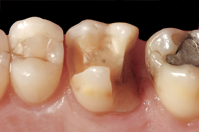
În fig. 1-7 este prezentat un caz al unui cuspid disto-palatinal fracturat la nivelul molarului 2.6. (fig. 1). S-a îndepărtat restaurarea existentă din amalgam, iar cuspidul disto-palatinal a fost inclus în forma preparaţiei dentare pentru onlay (fig. 2). S-a înregistrat o amprentă (fig. 3) cu material polivinil siloxan (PVS) şi s-a turnat un model din gips (fig. 4). Restaurarea onlay a fost creată din ceară pentru inlay cu duritate medie, a fost ambalată, presată, dezambalată şi adaptată pe modelul de ghips, iar în cele din urmă glazurată (fig. 5-7). Restaurarea definitivă a fost evaluată în preparaţia cavităţii în ceea ce priveşte potrivirea şi adaptarea marginală, apoi s-a cimentat cu ciment pe bază de răşină cu priză dublă.
Acoperire totală
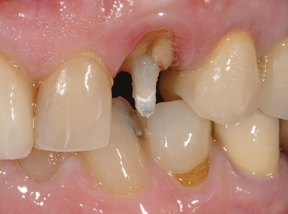
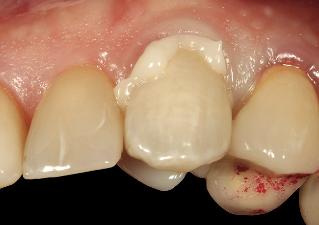
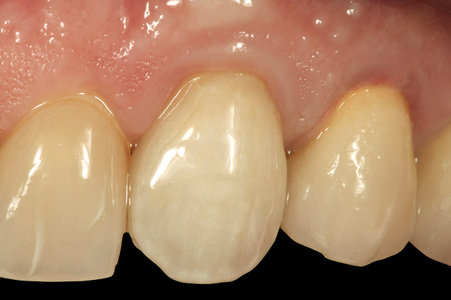
Restaurările unidentare cu acoperire totală sunt, de asemenea, indicaţii excelente pentru LDGC. Într-un caz separat, un pacient s-a prezentat cu un bont şi o coroană decimentată de pe dintele 2.3. (fig. 9). Pivotul din fibră era intact şi astfel s-a realizat noua reconstituire a bontului (fig. 10). S-a creat o preparaţie chamfer, s-a înregistrat o amprentă finală şi s-a fabricat o restaurare provizorie acrilică. Modelul a fost turnat din ghips pe baza amprentei, iar apoi a fost gravat (fig. 11).
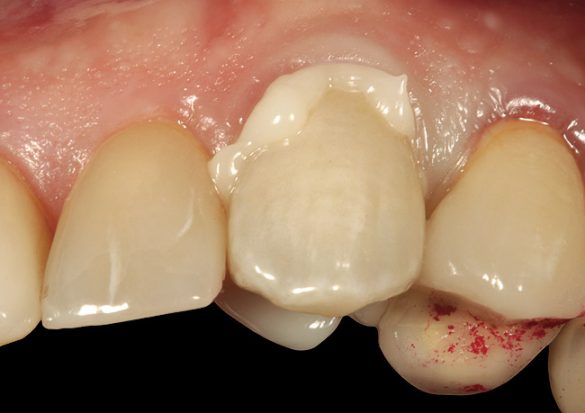
Restaurarea de disilicat de litiu cu acoperire totală a fost presată la tiparul corect de nuanţă/ translucenţă şi caracterizat la nuanţa adecvată cu ajutorul pigmenţilor cu set dublu şi un singur ciclu de glazurare. Cheia în controlul nuanţei nu constă în obţinerea nuanţei finale într-un singură nuanţă/ciclu de glazurare; printr-o tehnică de stratificare a pigmenţilor se poate obţine o nuanţă mai uniformă cu profunzimea culorii (fig. 12).
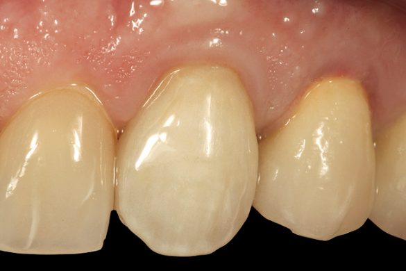
S-a aplicat şi s-a polimerizat un adeziv dentinar înainte de cimentarea definitivă cu un ciment pe bază de răşină autopolimerizabilă (fig. 13). După îndepărtarea cimentului s-a reevaluat ocluzia restaurării definitive (fig. 14) şi s-a efectuat o radiografie finală.
Rezumat
Tehnologiile ceramice vor continua să evolueze şi să revoluţioneze stomatologia estetică modernă pe măsură ce continuă să crească nevoile – ale pacienţilor şi ale clinicienilor deopotrivă – pentru restaurările cu aspect natural de înaltă calitate care călăuzesc industria spre viitoarele decenii. Studiul utilizării disilicatului de litiu pentru FDP va continua prin cercetarea şi dezvoltarea în desfăşurare.













Referinţe bibliografice:
- McLean JW, Hughes TH. The reinforcement of dental porcelain with ceramic oxides. Br Dent J. 1965;119(6):251-267.
- Adair PJ, Grossman DG. The castable ceramic crown. Int J Periodontics Restorative Dent. 1984;4(2):32-46.
- Malament KA, Grossman DG. The cast glass-ceramic restoration. J Prosthet Dent. 1987;57(6):674-683.
- Malament KA, Socransky SS. Survival of Dicor glass-ceramic dental restorations over 20 years: Part IV. The effects of combinations of variables. Int J Prosthodont. 2010;23(2):134-140.
- Dong JK, Luthy H, Wohlwend A, Schärer P. Heat-pressed ceramics: technology and strength. Int J Prosthodont. 1992;5(1):9-16.
- Oh SC, Dong JK, Lüthy H, Schärer P. Strength and microstructure of IPS Empress 2 glass-ceramic after different treatments. Int J Prosthodont. 2000;13(6):468-472.
- Guess PC, Zavanelli RA, Silva NR, et al. Monolithic CAD/CAM lithium disilicate versus veneered Y-TZP crowns: comparison of failure modes and reliability after fatigue. Int J Prosthodont. 2010;23(5):434-442.
- Esquivel-Upshaw JF, Young H, Jones J, et al. Four-year clinical performance of a lithia disilicate-based core ceramic for posterior fixed partial dentures. Int J Prosthodont. 2008;21(2):155-160.
- Wolfart S, Eschbach S, Scherrer S, Kern M. Clinical outcome of three-unit lithium-disilicate glass-ceramic fixed dental prostheses: up to 8 years results. Dent Mater. 2009;25(9):e63-e71.
- Marquardt P, Strub JR. Survival rates of IPS empress 2 all-ceramic crowns and fixed partial dentures: results of a 5-year prospective clinical study. Quintessence Int. 2006;37(4):253-259.
- Taskonak B, Sertgöz A. Two-year clinical evaluation of lithia-disilicate-based all-ceramic crowns and fixed partial dentures. Dent Mater. 2006;22(11):1008-1013.
- Makarouna M, Ullmann K, Lazarek K, Boening KW. Six-year clinical performance of lithium disilicate fixed partial dentures. Int J Prosthodont. 2011;24(3):204-206.

