Originally published in Compendium, an AEGIS Publications Property. All rights reserved.
Conservative Restoration of a Traumatically Involved Central Incisor by Joyce Bassett, DDS. Originally published in Compendium of Continuing Education in Dentistry 33(4), April 2012. Copyright © 2012 to AEGIS Communications. All rights reserved.
Despre autor:
Joyce Bassett, DDS
Private Practice, Scottsdale, Arizona; Adjunct Faculty, Senior Dental Student Esthetic Continuum, Arizona School of Dentistry, Mesa, Arizona
Restaurarea conservatoare a unui incisiv central fracturat – prezentare de caz
În acest caz, restaurarea unui incisiv central fracturat este realizată cu ajutorul unui material compozit direct, cunoscut pentru polişabilitate excelentă, menţinerea lustrului şi rezistenţa la uzură. Metoda utilizată a permis clinicianului conservarea structurii dentare şi menţinerea controlului complet asupra rezultatului în timp, prin crearea unei restaurări estetic imperceptibilă, sigură şi de durată. Acest caz subliniază tehnicile de stratificare, de conturare şi lustruire a nanocompozitelor utilizate pentru a maximiza estetica şi a satisface aşteptările pacientului. Pentru a asigura imperceptibilitatea ulterioară, autorii recomandă mai întâi selectarea nuanţei corespunzătoare pentru body şi dentină – îndeosebi în cazul restaurărilor cu două nuanţe sau cu nuanţe multiple – prin aplicarea compozitului în regiunea planificată a restaurării şi polimerizarea în grosimea sa adecvată pentru a permite o previzualizare şi o cartografie a cromaticii.
Compozitele oferă o serie de avantaje când sunt selectate ca materiale pentru restaurarea dentară. Tratamentele compozite directe sunt mai conservatoare decât coroanele cu acoperire totală sau faţetele laminate vestibulare şi se pot efectua fără a fi necesar ca un ceramist să fabrice o restaurare din ceramică. Pentru medicii dentişti, utilizarea îndemânatică a compozitului poate oferi un grad marcat de estetică, o condiţie supremă în regiunea frontală. Acest caz demonstrează utilizarea compozitului în vederea creării unei restaurări imperceptibile estetic la un incisiv central fracturat.
PREZENTARE DE CAZ
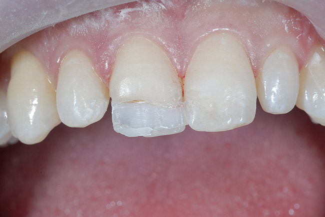
Pacientul, un bărbat în vârstă de 25 ani, s-a prezentat la cabinet după fracturarea incisivului drept superior în urma unei căderi accidentale. Pacientul prezenta, de asemenea, leziuni traumatice la nivelul buzelor şi relata o durere intensă în această regiune (fig. 1).
S-a efectuat o evaluare generală în afara leziunilor constatate la nivelul structurilor dentare. S-a exclus fractura complexului zigomatic, radiculară a 1.1. şi s-a apreciat starea pulpei. S-au observat microfracturi la dinţii adiacenţi şi s-a efectuat o evaluare cu privire la sindromul de dinte fisurat la nivelul dentiţiei restante, care prezenta încă smalţ intact.
S-au efectuat radiografii, iar testarea clinică a evidenţiat lipsa fracturii radiculare şi zigomatice. Dintele s-a evaluat şi din punct de vedere endodontic, cu stabilirea diagnosticului de pulpită reversibilă. Pacientul a fost informat că testarea stării pulpare ar trebui repetată la 2 săptămâni după vindecarea regiunii afectate de traumatism.
Planul şi etapele de tratament
Pacientul a fost informat cu privire la opţiunile restauratoare ce includeau o coroană cu acoperire totală, o faţetă ceramică sau ataşarea compozitului. Pentru a conserva structura dentară şi pentru menţinerea unui control total asupra rezultatelor reabilitării, s-a ales o restaurare directă din compozit ca soluţie restauratoare.
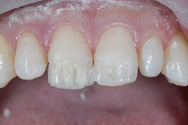
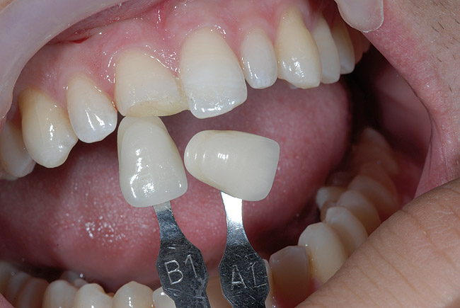
S-a administrat anestezie locală, iar coloraţia extrinsecă a fost îndepărtată de pe suprafaţa fracturată şi de pe dinţii adiacenţi şi cu ajutorul unei paste abrazive şi a cupei de cauciuc. S-a efectuat imediat alegerea culorii şi mock-up-ul (notă: dacă clinicianul aşteaptă să selecteze nuanţa după protocolul adeziv, există riscul ca dintele să se deshidrateze şi să devină mai deschis la culoare, ducând la o alegere greşită.) Nuanţa body a compozitului restaurator a fost aleasă prin utilizarea cheii de culori şi selectarea unei culori care se potrivea cu porţiunea centrală a dintelui (fig. 2).
În cazurile precum acesta este importantă discutarea prealabilă a aşteptărilor pacientului în privinţa gradului estetic al restaurării finale. Dacă pacientul are aşteptări reduse şi un dinte monocromatic, cazul se poate finaliza utilizându-se o singură nuanţă body. Totuşi, în acest caz, profunzimea culorii, vitalitatea şi translucenţa necesară să mimeze dintele adiacent erau complexe şi au necesitat un mock-up cu nuanţe multiple.
S-a selectat şi nuanţa compozitului dentinar prin utilizarea cheii de culori şi potrivirea nuanţei cu cea a dentinei expuse vizual la nivelul dintelui fracturat. Acest strat oferă opacitate şi intensitate a culorii. Nuanţa smalţului s-a ales cu ajutorul cheii de culori pentru a potrivi aria proximală şi/sau incizală a dintelui adiacent nerestaurat. În cursul acestei etape, pentru evaluare s-a utilizat roata de selecţie a nuanţei prin asigurarea reţetelor de culoare recomandate în cazul restaurărilor cu nuanţe multiple. S-a ales o culoare pentru dentină care avea saturaţia cromatică mai mare cu o unitate decât nuanţa finală dorită. Culoarea dentinei se poate regla prin aplicarea nuanţelor de compozit pentru smalţ şi translucent deasupra compozitului cu nuanţa de dentină. Această percepţie spaţială permite profunzimii culorii să rezulte din interiorul restaurării.
S-a selectat, de asemenea, o nuanţă de translucent pentru utilizarea internă şi pentru a crea translucenţa în treimea incizală. Nuanţa translucentă se poate utiliza ca stratul final vestibular deasupra restaurării pentru a crea profunzime, cu reducerea volumului restaurării. Experimentarea cu aceste culori prin aplicarea compozitului în ariile planificate ale restaurării şi polimerizarea sa în grosimile adecvate permite o previzualizare şi o hartă cromatică. Această etapă este supremă în crearea unei restaurări imperceptibile. S-a fabricat o matrice solidă a porţiunii orale şi incizale pentru mock-up.
Preparaţia
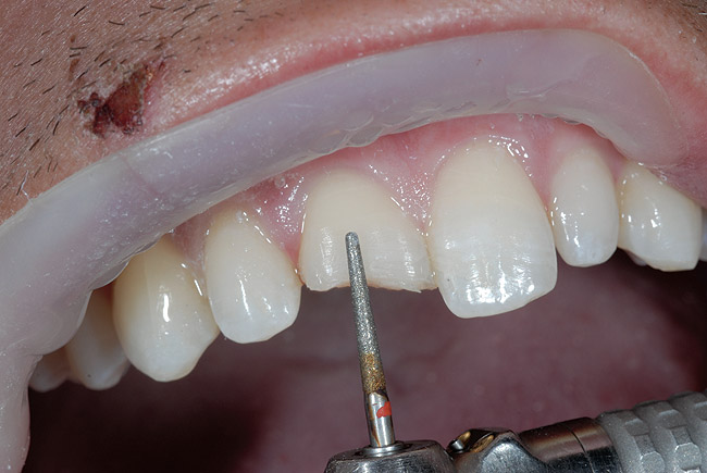
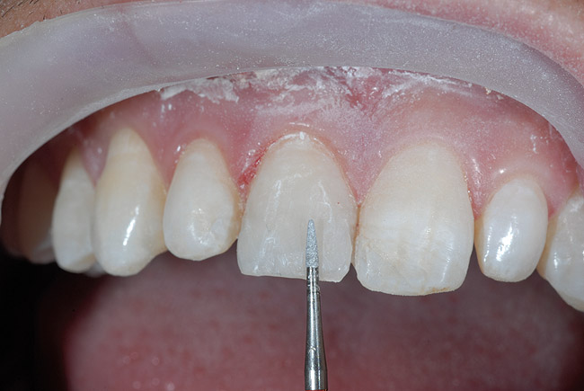
Pentru a produce o trecere nedetectabilă între dinte şi restaurare, pe suprafaţa vestibulară s-a preparat un bizou, cu o freză diamantată fină şi ascuţită. S-a preparat un bizou infinit, după descrierea făcută de Fahl, începând cu 0,5mm în dentină şi continuată la 2 până la 2,5mm dincolo de linia de fractură, cu rotunjirea marginii preparaţiei (fig. 3).1,2 În cazurile de acest gen, pe versantul vestibular se poate utiliza şi un bizou stelat3; bizoul variază în lungime, profunzime şi volum, mimând un model stelat. În acest caz preparaţia orală a necesitat o preparare chamfer de 0,8 până la 1mm.3 Această masă de compozit va asigura flexibilitatea dintelui (fig. 4).
Dintele a fost microgravat şi clătit, s-a aplicat acid fosforic 37% timp de 15 secunde şi s-a agitat pe suprafaţă cu un aplicator dincolo de marginile bizoului infinit pe structurile dentare nepreparate. Dintele s-a clătit timp de 5 secunde şi s-a uscat uşor, lăsând o suprafaţă dentinară umedă. S-a aplicat adezivul şi s-a badijonat pe suprafaţă timp de 20 secunde, apoi s-a uscat 5 secunde pentru a îndepărta solventul apos pe bază de etanol. Aria s-a fotopolimerizat apoi timp de 10 secunde.
Porţiunea orală a compozitului – inclusiv unghiurile liniei vestibulare incizale şi contactele proximale – a fost creată prin aplicarea compozitului alb pentru smalţ în interiorul matricei solide, aşezând matricea către dinte şi fotopolimerizând pentru 20 secunde. S-a îndepărtat matricea orală şi în urma analizei comparative cu dintele adiacent s-a decis că este necesară o opacitate suplimentară. De aceea, pe muchia incizală s-a aplicat un strat suplimentar din compozit alb pentru smalţ şi s-a polimerizat (fig. 5).
S-a aplicat nuanţa de dentină A2D în 2 straturi separate. O cantitate mică s-a rulat sub formă de bilă, după care s-a netezit şi s-a aplicat pe bizou. Cel de-al doilea strat s-a utilizat pentru a forma lobii. Este important ca dintele să se vizualizeze dinspre incizal sau ocluzal şi acest strat să nu fie prea gros. Aceasta va permite spaţiul pentru stratul vestibular final de smalţ (fig. 6).
S-a aplicat apoi între lobi o combinaţie de nuanţe albastre şi clar translucent, pentru a oferi caracterizarea internă şi o difuziune internă a luminii. La crearea acestui strat s-a examinat incisivul central contralateral şi s-au mimat efectele acestuia.4 Pentru a crea translucenţa smalţului, s-a aplicat compozit B1E ca strat vestibular final şi s-a fotopolimerizat pentru 20 secunde. Acest strat final a creat iluzia de profunzime.
Finisare şi conturare
S-a realizat lustruirea şi conturarea pentru a asigura conturul anatomic corespunzător şi imperceptibilitatea dintre compozit şi segmentul de dinte fracturat şi incisivul central contralateral. Anatomia primară, care constă în profilul vestibular, forma conturului şi ambrazurile incizale, s-a perfecţionat prin utilizarea unui disc de lustruire şi finisare mare şi dur. Când se vizualizează din profil un incisiv central prezintă trei planuri; planul mijlociu este plat, iar planul incizal se înclină înapoi spre oral. Privit dinspre incizal, unghiul liniei incizale vestibulare trebuie să rămână cât mai aproape posibil de unghiul de 90 grade şi nu se rotunjeşte. Când se realizează aceste ajustări, este importantă evaluarea şi mimarea dintelui contralateral în toate perspectivele.
Anatomia secundară, care constă în unghiurile liniare şi suprafeţele de reflecţie, s-a conturat prin utilizarea frezelor diamantate fine. Unghiurile liniare ale unui incisiv central converg în mod tipic cu 10 până la 12mm de la joncţiunea smalţ-cement (fig. 7). Anatomia terţiară conţine gropiţele vestibulare majore, iar în acest caz cuprinde perichimata, care reprezintă liniile pe suprafaţa smalţului legate de striile lui Retzius. Acestea au fost create prin utilizarea unei freze diamantate dure, cu reducerea rotaţiilor pe minut la piesa de mână electrică şi trecerea frezei deasupra suprafeţei vestibulare într-o mişcare de pendulare (fig. 8). S-au utilizat discuri de finisare ca lustruire finală a suprafeţei vestibulare (fig. 9). Contrastul dintre starea preoperatorie şi restaurarea finală este descrisă în fig. 10, 11.
Concluzii
Sunt disponibile o multitudine de opţiuni pentru restaurarea unui dinte frontal fracturat. Metoda restauratoare utilizată în acest caz este cu ajutorul unui material nanocompozit cunoscut pentru polişabilitatea sa excelentă, menţinerea lustrului şi rezistenţa la uzură; de aceea, se poate anticipa că metoda va fi durabilă.
Natura conservatoare a tehnicii utilizate permite totodată dentistului să restabilească estetica excepţională a dintelui fracturat cu deţinerea controlului complet asupra procedurii. Stăpânirea tehnicilor de stratificare, conturare şi lustruire a compozitului este dezideratul suprem pentru imperceptibilitatea restaurării.











Referinţe bibliografice:
- Fahl N Jr. A polychromatic composite layering approach for solving a complex Class IV/direct veneer/diastema combination: part I. Pract Proced Aesthet Dent. 2006;18(10):641-645.
- Fahl N Jr. A polychromatic composite layering approach for solving a complex Class IV/direct veneer/diastema combination: Part II. Pract Proced Aesthet Dent. 2007;19(1):17-22.
- LeSage BP. Aesthetic anterior composite restorations: a guide to direct placement. Dent Clin North Am. 2007;51(2):359-378.
- Terry DA, Leinfelder KF. An integration of composite resin with natural tooth structure: the Class IV restoration. Pract Proced Aesthet Dent. 2004;16(3):235-242.

