Originally published in Compendium, an AEGIS Publications Property. All rights reserved.
Cosmetic Concerns Provide Opportunity for Comprehensive Dentistry by Jeff Files, DDS. Originally published in Compendium of Continuing Education in Dentistry 33(6), June 2012. Copyright © 2012 to AEGIS Communications. All rights reserved.
Despre autor:
Jeff Files, DDS
Private Practice, Redmond, Washington
Recunoaştere:
John C. Kois, DMD, MSD, and the Kois Center, Seattle, Washington;
Dona Seely, DDS, MSD, of Dona M. Seely Orthodontics, Bellevue, Washington;
Leon Hermanides, ceramist and owner of Protea Dental Studio, Redmond, Washington.
Acest caz a implicat o pacientă cu disfuncţie ocluzală, nemulţumită de aspectul zâmbetului, datorită afişării inestetice a coroanelor din aur din regiunea posterioară şi a petelor albicioase de pe dinţii frontali. Existenţa unui istoric semnificativ de bruxism, managementul unor afecţiuni sau boli active şi dorinţa pacientei de a avea un zâmbet ideal sau “generat de media” au amplificat dificultatea cazului. Ca parte a unui plan restaurator comprehensiv ce a inclus tratamentul de control al bolii, terapia endodontică şi ortodonţia cu scopul idealizării poziţiei dentare, s-a utilizat un dispozitiv de deprogramare Kois pentru a evalua funcţia inacceptabilă şi tot mai simptomatică. În plus faţă de reducerea riscurilor funcţionale şi biomecanice, cazul a condus la o estetică îmbunătăţită, de care pacienta a fost foarte mulţumită.
Deseori, pacienţii care doresc îmbunătăţiri cosmetice nu îşi cunosc celelalte posibile probleme orale ce pot contribui la problemele lor estetice. O analiză detaliată a stării orale a pacientului poate conduce în mod frecvent la concluzia că sunt prevalente probleme funcţionale şi biomecanice. Prin efectuarea unei evaluări sistematice nu doar a stării cosmetice a pacientului, ci şi a riscurilor sale de sănătate dentară şi orice afecţiune activă, un clinician poate elabora un plan de tratament restaurator comprehensiv.
Prezentarea cazului clinic
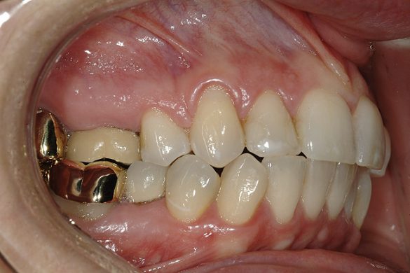
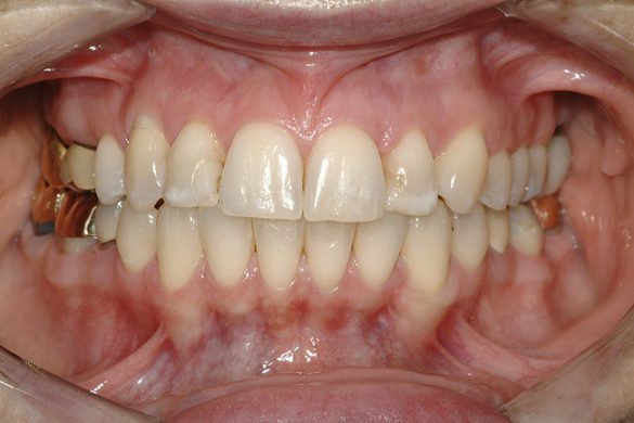
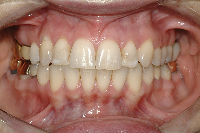
O pacientă în vârstă de 44 de ani s-a prezentat pentru evaluarea şi îmbunătăţirea zâmbetului ei. Acuza principală era reprezentată de afişarea neatractivă a coroanelor posterioare din aur, asociată cu petele albe inestetice de pe dinţii frontali (fig. 1, 2). Scopul ei convingător pentru solicitarea tratamentului a fost acela de a dobândi un „zâmbet deosebit”.
Istoricul medical al pacientei a fost necontributiv. La discutarea istoricului dentar, s-a descoperit că prezenta bruxism semnificativ, cu utilizarea raportată a unei gutiere nocturne timp de peste 10 ani. Cefalee matinală persistentă era frecventă, cu sau fără utilizarea gutierei. Pacienta a raportat, de asemenea, că în cadrul examinărilor, caria dentară era frecventă. Ea a fost diagnosticată şi tratată anterior pentru afecţiuni parodontale, dar a beneficiat de îngrijire de întreţinere inconstantă.
S-a iniţiat o evaluare comprehensivă pentru aprecierea detaliată a statusului şi pentru a oferi opţiuni predictibile în vederea îngrijirii sale.
Rezultate diagnostice
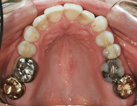
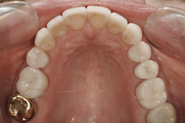
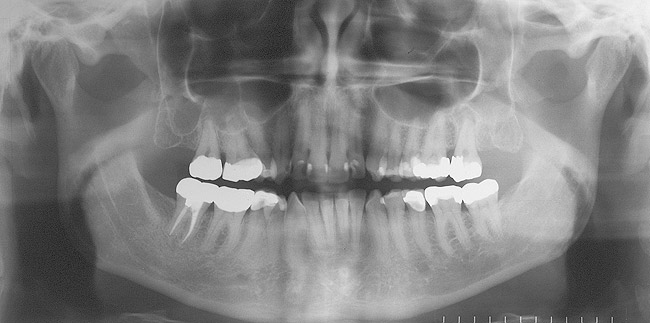
PARODONTAL: Evaluarea parodontală a evidenţiat adâncimi de sondare de 2-3mm în sextantele frontale şi de 2-5mm în cele posterioare. În regiunile laterale s-a observat o uşoară sângerare generalizată la sondare. Examinarea radiologică a obiectivat o pierdere osoasă orizontală generalizată uşoară spre moderată de 1-3mm. S-a descoperit un defect osos vertical pe faţa mezială a molarului 1.7. cu o adâncime de sondare asociată de 5mm (fig. 3). S-a stabilit un diagnostic parodontal de AAP tip II (parodontită uşoară).
Risc: redus
Prognostic: global bun, cu prognostic acceptabil specific molarului 1.7., datorită defectului său osos vertical mezial.
BIOMECANIC: Examinarea radiologică a identificat patologie apicală la nivelul molarilor 2.7. şi 1.7. (fig. 3, 4). Era vizibilă o leziune radiologică difuză, mixtă (fig. 4) apical de 1.6. şi 1.5., având un aspect care sugera un chist mucos de retenţie.1 Clinic, dinţii 2.7. şi 1.7. s-au dovedit a fi devitali la testare, în timp ce 1.5. şi 1.6. erau vitali.
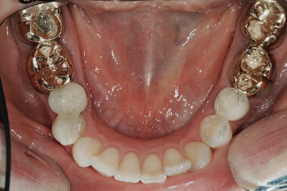
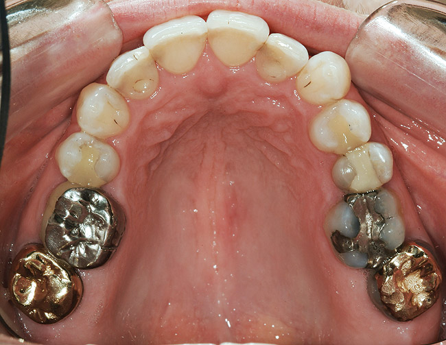
S-au constatat carii dentare active la nivelul 1.7., 4.6. şi 4.4. Dinţii 1.7., 1.6., 2.4.-2.7., 4.4., 4.7. prezentau restaurări cu adaptare defectuoasă. Dinţii 1.7.-1.5., 2.5.-2.7., 3.5.-3.7., 4.5.-4.7. au fost notaţi cu structură compromisă datorită dimensiunii, tipului şi profunzimii restaurărilor. În plus, segmentul dentar 3.2.-4.2. prezenta semne precoce de eroziune chimică la nivelul muchiilor incizale. Corespunzător 1.6. s-a obiectivat o exostoză osoasă pe versantul vestibular (fig. 5), generând o înălţime scurtă a coroanei clinice şi un compromis restaurator ulterior.
Risc: crescut
Prognostic: slab; irecuperabil pentru dinţii cu carie dentară netratată.
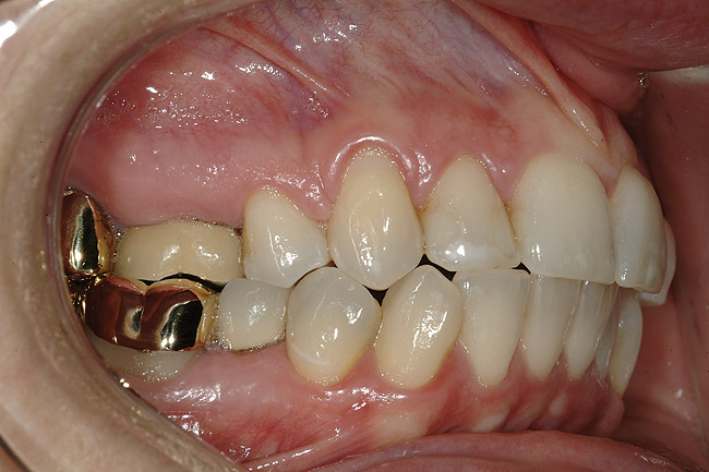
FUNCŢIONAL: La majoritatea dinţilor posteriori ai pacientei ce erau restauraţi cu coroane (fig. 6, 7) era importantă interpretarea minuţioasă a istoricului pacientei şi a rezultatelor evaluării ocluzale. Coroanele din aur de la nivelul 1.7. şi 1.4. prezentau orificii de uzură pe suprafeţele ocluzale, cu semne de minimă uzură pe celelalte coroane posterioare şi la dentiţia naturală. Era evidentă o uzură moderată pe coroana din aur a molarului 4.7.
Un diagnostic de funcţie acceptabilă nu se putea lua în considerare datorită istoricului îndelungat de bruxism, utilizarea de peste 10 ani a gutierei nocturne, zgomotele articulare şi cefaleea de dimineaţă. La momentul examinării, ea a prezentat sensibilitate la palpare la polul lateral al articulaţiei drepte evaluată cu valoarea “5” pe o scală de la 1 la 10.2 Muşchii maseter şi temporal drept erau, de asemenea, sensibili, cu o apreciere de “5.” Testele de încărcare şi rezistenţă erau normale. S-au înregistrat zgomote cu intensitate moderată şi crepitaţie uşoară la deschidere, la nivelul articulaţiei de partea dreaptă. Nu s-a notat deviaţie la deschidere, iar intervalul de deplasare era cuprins în limite normale.
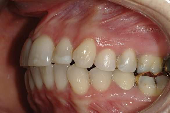
Traumatismul ocluzal primar s-a observat la dinţii 1.5. şi 2.5. În intercuspidare maximă, s-a notat ocluzie deschisă la segmentele dentare frontale 1.3.-2.3. şi 3.3.-4.3. Dinţii 1.6. şi 4.6., precum şi 2.6. şi 3.6. erau în angrenaj invers (fig. 5, 8). Pacienta prezenta o ocluzie Angle Clasa I. Având în vedere rezultatele istoricului şi examinării s-a stabilit un diagnostic de disfuncţie ocluzală.
Risc: moderat
Prognostic: acceptabil
DENTO-FACIAL: Evaluarea zâmbetului pacientei a evidenţiat o dinamică labială maxilară medie şi afişarea ţesuturilor la zâmbire (fig. 2). Nivelurile gingivale maxilare inegale, exostoza osoasă vestibulară vizibilă corespunzător 1.6., dinţii rotaţi sau malpoziţionaţi, coloraţia de pe mai mulţi dinţi frontali, o „linie a surâsului inversată” , asimetria dentară şi un plan ocluzal maxilar neregulat reprezentau puncte semnificative în cadrul evaluării dentofaciale. Dorinţa pacientei de a avea un zâmbet ideal sau „generat de media” a accentuat dificultatea cazului. Dinamica labială maxilară medie şi afişarea în consecinţă a ţesuturilor a dictat evaluarea riscului pentru acest caz.
Risc: moderat
Prognostic: acceptabil
Obiective terapeutice
Obiectivul tratamentului consta în abordarea comprehensivă adresată de riscurile de sănătate dentară ale pacientei, bolile active şi dorinţele cosmetice. Primul obiectiv terapeutic era reprezentat de gestionarea afecţiunilor şi infecţiilor active. După terapia de control a bolii, s-a recomandat tratamentul ortodontic comprehensiv pentru a idealiza poziţiile dentare cu îmbunătăţirea esteticii şi funcţiei. După finalizarea tratamentului ortodontic, autorii au reevaluat dorinţele estetice ale pacientei şi necesităţile funcţionale pentru a crea un plan restaurator comprehensiv.
ETAPE de TRATAMENT
Etapa I: TERAPIA PARODONTALĂ ACTIVĂ, ENDODONTICĂ, CONTROLUL CARIOS
Tratamentul parodontal activ s-a efectuat pentru a iniţia managementul bolii parodontale precoce a pacientei. După tratamentul activ, ea a fost programată la intervale de 6 luni pentru vizitele de terapie parodontală suportivă.
Terapia endodontică s-a realizat la nivelul molarilor devitali 1.7. şi 2.7. (fig. 9). S-a aplicat o restaurare din compozit în cavitatea de acces endodontic a coroanei din aur de la nivelul 1.7. Datorită prezenţei cariei active, coroana de aur 2.7. a fost înlocuită cu o coroană din compozit realizată prin tehnologia CAD/CAM, ce a funcţionat ca o restaurare provizorie pe termen lung până la finalizarea tratamentului ortodontic.3 Un compozit mezio-ocluzo-distal (MOD) şi un compozit vestibular s-a folosit pentru restaurarea leziunilor carioase la dinţii 4.4., respectiv 3.6. Tratamentul s-a amânat în cazul dinţilor cu restaurări îndoielnice şi compromis structural până la finalizarea tratamentului ortodontic.
S-a implementat un program de management al cariei constând în aplicaţii profesionale de lacuri fluorurate cu ocazia vizitelor de reîngrijire ale pacientei şi în utilizarea zilnică la domiciliu a clătirilor cu soluţii alcaline anticarie4. Apa de gură terapeutică cu pH ridicat a fost utilizată de două ori pe zi timp de 30 zile, urmată de utilizarea continuă a soluţiei de întreţinere de două ori pe zi.
ETAPA aII-a: ORTODONŢIE COMPREHENSIVĂ
Pacienta a fost îndrumată pentru evaluarea ortodontică comprehensivă. Aşteptările tratamentului constau în nivelarea planului ocluzal maxilar, corectarea rotaţiilor şi a angrenajelor inverse şi alinierea dinţilor, cu îmbunătăţirea nivelurilor şi funcţiilor tisulare. Obiectivul primar al terapiei ortodontice era stabilirea poziţiei dentare ideale pentru tratamentul restaurator (fig. 10- 12).
Pentru această pacientă s-a recomandat ortodonţia cu scopul de a minimiza cantitatea de preparaţie dentară necesară în cazul în care dinţii rămâneau aliniaţi în malpoziţie. Dintr-o poziţie comprehensivă de planificare a tratamentului, reducerea masivă a structurii dentare slăbeşte dintele, amplificând astfel riscul biomecanic al pacientului, cu reducerea prognosticului pe termen lung5. Un rezultat estetic acceptabil este, de asemenea, mai puţin predictibil când se restaurează dinţi malpoziţionaţi.
ETAPA aIII-a: MANAGEMENT FUNCŢIONAL, RESTAURARE MAXILARĂ, ALUNGIREA CORONARĂ CHIRURGICALĂ
Frecvenţa şi intensitatea durerilor de cap ale pacientei au scăzut semnificativ în cursul tratamentului ortodontic. La câteva luni după finalizarea terapiei ortodontice, pacienta a reînceput să acuze durere musculară, cefalee şi simptome de încleştare şi scrâşnire a dinţilor, cu o frecvenţă ascendentă.
S-au înregistrat amprente maxilare şi mandibulare din alginat şi s-au turnat modele pentru crearea unui deprogramator Kois6. Asemănându-se cu un dispozitiv ortodontic de tip Hawley, deprogramatorul Kois (fig. 13) este constituit dintr-o placă acrilică linguală şi o pantă plată în zona cingulară, care exclude toţi dinţii laterali. Scopul acestui dispozitiv este să deprogrameze musculatura masticatorie şi să permită mandibulei deplasarea într-o poziţie neutră în spaţiul articular (o relaţie centrică sau o poziţie de postură centrică adaptată). Deprogramatorul este utilizat la diagnosticarea afecţiunii ocluzale şi evaluarea simptomelor pacienţilor, întrucât acestea se corelează cu articulaţia temporomandibulară (ATM), tulburările funcţionale, încleştarea şi scrâşnitul dinţilor. Pacienţii sunt instruiţi în mod tipic să poarte dispozitivul în mod continuu (exceptând perioadele de alimentaţie) şi să revină în 2-3 săptămâni să confirme faptul că sunt “deprogramaţi” (adică să confirme că muşchii masticatori sunt relaxaţi şi ATM sunt într-o poziţie stabilă şi reproductibilă). Odată confirmată situaţia, se înregistrează ocluzia pentru montarea modelelor pacientului, în vederea planificării tratamentului şi dezvoltării opţiunilor terapeutice.
În acest caz, s-a utilizat deprogramatorul Kois pentru a evalua funcţia inacceptabilă şi tot mai simptomatică a pacientei. Simptomele s-au diminuat după purtarea deprogramatorului timp de 2 săptămâni. S-a efectuat înregistrarea interocluzală a „poziţiei deprogramate” şi modelele de studiu s-au montat în poziţia de postură centrică adaptată pe un articulator semiajustabil pentru evaluare şi planificarea tratamentului. Cu utilizarea montajului, s-au ajustat contactele premature şi deflective pe modelele articulate, stabilind o dimensiune verticală acceptabilă a ocluziei7 la care urma să se trateze acest caz. Extensiile interproximale ale deprogramatorului Kois au fost eliberate, iar deprogramatorul a fost aşezat pe modelul master. Suprafaţa ocluzală a pantei cinculare plate a fost ajustată în jos pentru a se potrivi cu dimensiunea verticală de ocluzie stabilită pentru acest caz. Această procedură a pregătit deprogramatorul pentru a oferi un ghid ocluzal stabil, repetabil, în vederea utilizării în cadrul şedinţelor clinice ulterioare.
După ajustarea modelelor master montate, acestea au fost trimise la laborator pentru wax-up-ul diagnostic al dinţilor 1.6.-2.6., cu scopul de a corecta ocluzia şi de a îmbunătăţi estetica în pregătirea pentru tratamentul restaurator. S-a solicitat ca ceara de laborator să corecteze nivelurile tisulare la molarul 1.6., ce prezenta o înălţime tisulară coronară şi exostoză osoasă pe versantul vestibular, precum şi la dintele 2.4., unde ţesutul poziţionat coronar crea o disarmonie vizuală. Planul de tratament include corecţiile cosmetice la nivelul acestor dinţi şi ţesuturile aferente şi echilibrarea ocluziei în combinaţie cu tratamentul restaurator. Cu utilizarea wax-up-ului diagnostic, s-au fabricat chei din polivinil pentru realizarea unor restaurări provizorii şi pentru a le folosi ca ghidaje de reducere în cursul preparării.
Pacienta a fost programată pentru prepararea dinţilor 1.6.-2.6., precum şi pentru corectarea chirurgicală estetică a gingiei8-10 în dreptul dinţilor 1.6. şi 2.4. S-a realizat alungirea coronară chirurgicală în câmp deschis pe versantul vestibular al dintelui 1.6., prin practicarea unei gingivectomii cu bizou intern, elevarea unui lambou parodontal cu grosime totală şi efectuarea osteotomiei şi osteoplastiei la nivel osului vestibular şi al exostozei. Apoi lamboul s-a repoziţionat şi suturat la loc. S-a realizat o procedură de elongaţie coronară estetică în câmp închis pe suprafaţa vestibulară a dintelui 2.4. Procedura a început cu gingivectomie cu bizou intern. Osteotomia s-a realizat prin utilizarea intrasulculară a dălţii Wedelstaedt. Nu au fost necesare suturi. Odată ce contururile gingivale au fost nivelate şi simetrice, s-au preparat dinţii 1.6.-2.6.
Dinţii 1.6., 1.5., 1.3.-2.3. şi 2.6. au beneficiat de restaurarea bonturilor cu compozit. Dinţii 1.6., 2.5. şi 2.6. au fost preparaţi pentru coroane din zirconia stratificată, în timp ce 1.5.-2.4. au fost preparaţi pentru restaurări mai conservatoare din porţelan feldspatic. S-au realizat restaurări provizorii cu utilizarea unor chei polivinilice create pe baza wax-up-urilor diagnostice şi un material provizoriu bis-acrilic.
Pacienta a fost reprogramată 3 săptămâni mai târziu pentru evaluarea nivelurilor tisulare, confirmarea necesităţilor estetice şi gestionarea necesităţilor funcţionale ale pacientei în perioada purtării restaurărilor provizorii.11,12 Deprogramatorul Kois a fost uşor ajustat sub nivelul pantei frontale, pentru a asigura o adaptare completă şi pasivă în jurul restaurărilor provizorii la nivelul 1.1. şi 2.1. Preparaţiile marginale s-au efectuat cu utilizarea unei freze globulare mici la turaţii mari, iar deprogramatorul a fost căptuşit în cavitatea orală cu utilizarea unui material bis-acrilic cu priză rapidă (fig. 13).
Dimensiunea verticală de ocluzie a fost confirmată în cavitatea bucală şi marcată, de asemenea, pe modelele master. Deprogramatorul a fost apoi utilizat ca un mijloc ajutător în ghidajul echilibrării ocluzale şi pentru a regla schema ocluzală a restaurărilor provizorii. S-a alocat atenţie deosebită pentru crearea unei închideri a ocluziei frontale funcţionale la restaurările provizorii. Odată ce estetica şi funcţia au fost corectate, s-au efectuat amprente ale restaurărilor provizorii din polivinil şi s-au trimis laboratorului pentru a comunica forma şi locaţia exactă a restaurărilor finale. S-au efectuat totodată înregistrarea cu arc facial, o înregistrare interocluzală (în poziţia de postură centrică adaptată confirmată) şi imagini digitale, astfel încât în crearea restaurărilor finale să fie utilizată comunicarea cu laboratorul.
După aşezarea restaurărilor, deprogramatorul Kois s-a ajustat uşor din nou pe suprafaţa frontală internă, rebazată în cavitatea bucală şi s-a confirmat pe modelele master pentru a gestiona dimensiunea verticală de ocluzie. Ocluzia restaurărilor finale a fost apoi reglată utilizând deprogramatorul Kois rebazat.
ETAPA aIV-a: RESTAURĂRI MANDIBULARE
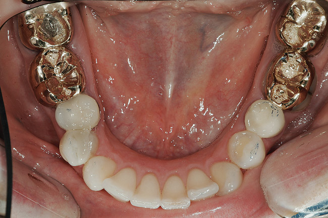
S-au finalizat restaurările mandibulare cu utilizarea coroanelor integral ceramice din disilicat de litiu pe dinţii 3.7.-3.5., 4.5. şi 4.6., precum şi o restaurare din compozit a dintelui 3.4. Mai întâi s-a restaurat partea stângă, apoi partea dreaptă a pacientei. La restaurarea fiecărui cadran inferior, s-a folosit deprogramatorul Kois ca punct de referinţă stabil şi repetabil în gestionarea ocluziei.
S-a fabricat o gutieră maxilară nocturnă pentru a proteja porţelanul în scopul gestionării pe termen lung, într-un efort de a face tot posibilul pentru a reduce riscul. Pacienta a amânat tratamentul dinţilor 1.7. şi 4.7., care încă prezintă coroane din aur vizibile şi la dintele 2.7., cu coroană provizorie din compozit.
Concluzii
Complexităţile acestui caz au fost identificate, evaluate şi gestionate prin utilizarea Kois Diagnostic Opinion Criteria (Kois Center, www.koiscenter.com). Odată ce necesităţile funcţionale, estetice şi de patologie orală au fost identificate, sistemul de management Kois în 10 etape a oferit o metodă eficientă de management şi stadializare a tratamentului impus.
Deprogramatorul Kois a servit ca un instrument convenabil pentru diagnosticul şi managementul predictibil al cererilor funcţionale prezente. A trecut peste 1 an de când s-a finalizat tratamentul pacientei. Durerile de cap nu i-au revenit şi ea raportează că încleştarea şi scrâşnitul s-au abolit. Este foarte mulţumită de estetica finală (fig. 14-17) şi de rezultatul de succes al cazului (fig. 9). Prognosticul global este îmbunătăţit datorită reducerii riscurilor funcţionale şi biomecanice.
















Referințe bibliografice:
- Maestre-Ferrin L, Galán-Gil S, Carrillo-García C, Peñarrocha-Diago M. Radiographic findings in the maxillary sinus: Comparison of panoramic radiography with computed tomography. Int J Oral Maxillofac Implants. 2011;26(2):341-346.
- Cont PC, de Azevedo LR, de Souza NV, Ferreira FV. Pain measurement in TMD patients: evaluation of precision and sensitivity of different scales. J Oral Rehabil. 2001;28(6):534-539.
- Perry RD, Magnuson B. Provisional materials: Key componentsof interim fixed restorations. Compend Cont Educ Dent. 2012;33(1):59-62.
- Young DA, Kutsch VK, Whitehouse J. A clinician’s guide to CAMBRA: a simple approach. Compend Contin Educ Dent. 2009;30(2):92-98.
- Vailati F, Belser UC. Palatal and facial veneers to treat severe dental erosion: a case report following the three-step technique and the sandwich approach. Eur J Esthet Dent. 2011;6(3):268-278.
- Jayne D. A deprogrammer for occlusal analysis and simplified accurate case mounting. J Cosmet Dent. 2006;21(4):96-102.
- Adbuo J, Lyons K. Clinical considerations for increasing occlusal vertical dimension: a review. Aust Dent J. 2012;57(1):2-10.
- Kois JC. Altering gingival levels: the restorative connection Part 1: biologic variables. Journal of Esthetic and Restorative Dentistry. 1994;6(1):3-7.
- Kois JC. The restorative-periodontal interface: biological parameters. Periodontal 2000. 1996;11:29-38.
- Bateman GJ, Karir N, Saha S. Principles of crown lengthening surgery. Dent Update. 2009;36(3):181-185.
- Gratton DG, Aquilino SA. Interim restorations. Dent Clin North Am. 2004;48(2):487-497.
- Bynum JH. Clinical case report: Testing occlusal management, previewing anterior esthetics, and staging rehabilitation with direct composite and Kois deprogrammer. Compend Contin Educ Dent. 2010;31(4):298-306.

